Suppr超能文献

皮肌炎患者出现皮下气肿、纵隔气肿和气胸

Subcutaneous Emphysema, Pneumomediastinum and Pneumothorax in a Patient with Dermatomyositis.

作者信息

Bakhshaee Mehdi, Jokar Mohammad Hassan, Mirfeizi Zahra, Atabati Elham, Tarighat Somayeh

机构信息

Sinus and Surgical EndoscopicResearch Center, Faculty of Medicine, Mashhad University of Medical Sciences, Mashhad, Iran.

Department of Otorhinolaryngology-Head & Neck Surgery, Mashhad University of Medical Sciences, Mashhad, Iran.

出版信息

Iran J Otorhinolaryngol. 2017 Mar;29(91):113-116.

Abstract

INTRODUCTION

Spontaneous pneumomediastinum, pneumothorax, and subcutaneous emphysema are rare, but serious complications of inflammatory myopathies and occur more commonly in DM than PM. complications of dermatomyositis (DM) and polymyositis (PM), both of which can be fatal.

CASE REPORT

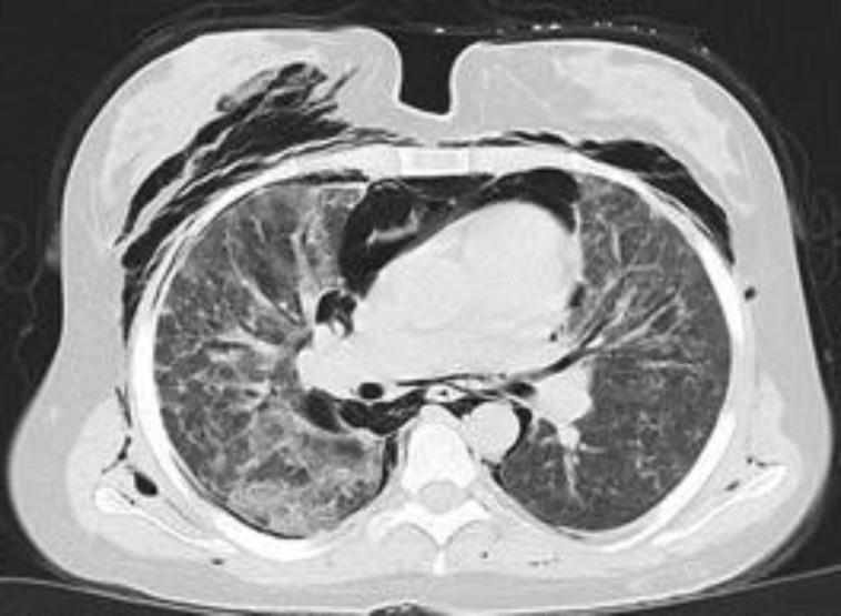
A 20-year-old woman was admitted with neck pain, dyspnea, cough, and fever. She had been diagnosed with dermatomyositis 21 months prior. A thorax computed tomography (CT) scan revealed ground glass opacities in her lungs, pneumomediastinum, pneumothorax, and subcutaneous emphysema. Despite intensive immunosuppressive therapy, clinical deterioration and radiological progression were observed, ultimately the patient died.

CONCLUSION

During the care for a patient with dermatomyositis, the otorhinolaryngologist should be cautious of rapidly progressive and fatal neck subcutaneous emphysema. For a patient with dermatomyositis and with normal bronchoscopy and esophagoscopy, the main treatment is control of dermatomyositis with medical therapy. Therefore, a tracheostomy and/or mechanical ventilation may not be necessary.

摘要

引言

自发性纵隔气肿、气胸和皮下气肿虽罕见,但却是炎性肌病的严重并发症,在皮肌炎(DM)中比多发性肌炎(PM)更常见,二者均可能致命。

病例报告

一名20岁女性因颈部疼痛、呼吸困难、咳嗽和发热入院。她在21个月前被诊断为皮肌炎。胸部计算机断层扫描(CT)显示其肺部有磨玻璃影、纵隔气肿、气胸和皮下气肿。尽管进行了强化免疫抑制治疗,但仍观察到临床恶化和影像学进展,最终患者死亡。

结论

在照顾皮肌炎患者时,耳鼻喉科医生应警惕迅速进展且致命的颈部皮下气肿。对于皮肌炎且支气管镜和食管镜检查正常的患者,主要治疗方法是用药物控制皮肌炎。因此,可能无需进行气管切开术和/或机械通气。

https://cdn.ncbi.nlm.nih.gov/pmc/blobs/0b84/5380398/1e47f9ac9b08/ijo-29-113-g001.jpg

文献AI研究员

20分钟写一篇综述,助力文献阅读效率提升50倍。

立即体验

用中文搜PubMed

大模型驱动的PubMed中文搜索引擎

马上搜索

文档翻译

学术文献翻译模型,支持多种主流文档格式。

立即体验