Suppr超能文献

SKH-1小鼠及经氩等离子体射流治疗的伤口的一年随访风险评估

One Year Follow-Up Risk Assessment in SKH-1 Mice and Wounds Treated with an Argon Plasma Jet.

作者信息

Schmidt Anke, Woedtke Thomas von, Stenzel Jan, Lindner Tobias, Polei Stefan, Vollmar Brigitte, Bekeschus Sander

机构信息

Leibniz-Institute for Plasma Science and Technology (INP Greifswald), Departments of Plasma Life Science and ZIK Plasmatis, Felix-Hausdorff-Str. 2, 17489 Greifswald, Germany.

Department of Hygiene and Environmental Medicine, University Medicine Greifswald, 17475 Greifswald, Germany.

出版信息

Int J Mol Sci. 2017 Apr 19;18(4):868. doi: 10.3390/ijms18040868.

Abstract

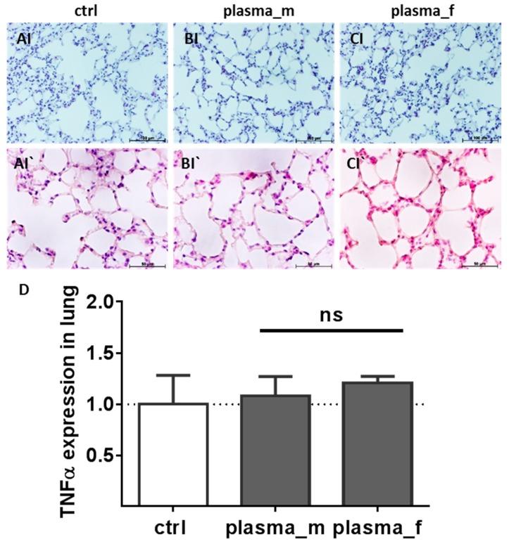
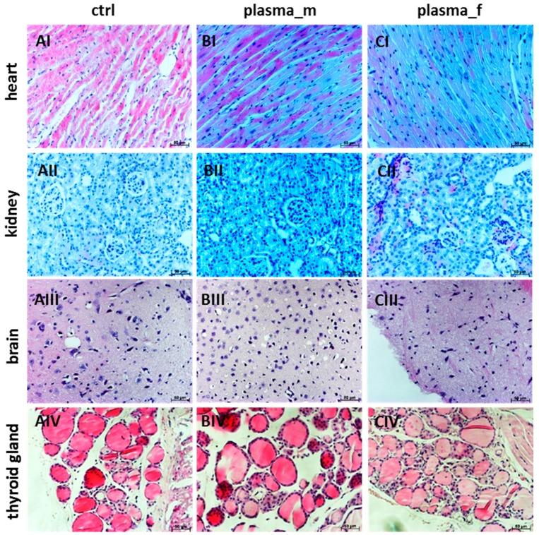
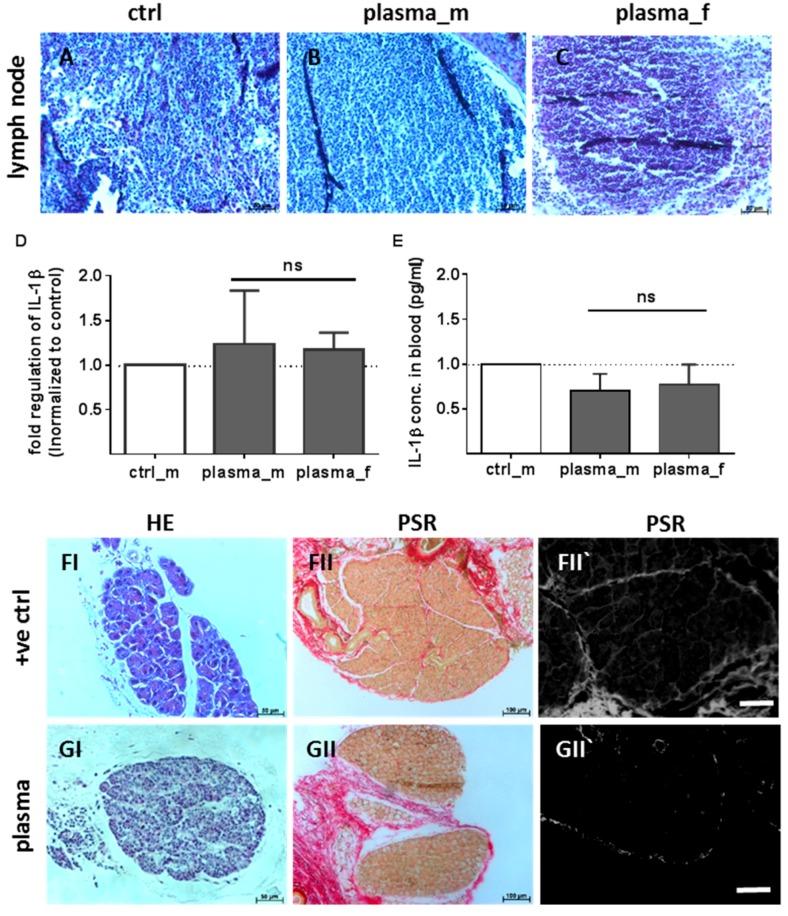
Multiple evidence in animal models and in humans suggest a beneficial role of cold physical plasma in wound treatment. Yet, risk assessment studies are important to further foster therapeutic advancement and acceptance of cold plasma in clinics. Accordingly, we investigated the longterm side effects of repetitive plasma treatment over 14 consecutive days in a rodent full-thickness ear wound model. Subsequently, animals were housed for 350 days and sacrificed thereafter. In blood, systemic changes of the proinflammatory cytokines interleukin 1β and tumor necrosis factor α were absent. Similarly, tumor marker levels of α-fetoprotein and calcitonin remained unchanged. Using quantitative PCR, the expression levels of several cytokines and tumor markers in liver, lung, and skin were found to be similar in the control and treatment group as well. Likewise, histological and immunohistochemical analysis failed to detect abnormal morphological changes and the presence of tumor markers such as carcinoembryonic antigen, α-fetoprotein, or the neighbor of . Absence of neoplastic lesions was confirmed by non-invasive imaging methods such as anatomical magnetic resonance imaging and positron emission tomography-computed tomography. Our results suggest that the beneficial effects of cold plasma in wound healing come without apparent side effects including tumor formation or chronic inflammation.

摘要

动物模型和人体中的多项证据表明,冷物理等离子体在伤口治疗中具有有益作用。然而,风险评估研究对于进一步推动冷等离子体在临床治疗中的进展和应用接受度至关重要。因此,我们在啮齿动物全层耳部伤口模型中研究了连续14天重复进行等离子体治疗的长期副作用。随后,将动物饲养350天,之后处死。血液中促炎细胞因子白细胞介素1β和肿瘤坏死因子α没有出现全身性变化。同样,甲胎蛋白和降钙素的肿瘤标志物水平也保持不变。通过定量PCR发现,对照组和治疗组肝脏、肺和皮肤中几种细胞因子和肿瘤标志物的表达水平也相似。同样,组织学和免疫组化分析未能检测到异常形态变化以及癌胚抗原、甲胎蛋白或……的邻居等肿瘤标志物的存在。通过解剖磁共振成像和正电子发射断层扫描-计算机断层扫描等非侵入性成像方法证实没有肿瘤病变。我们的结果表明,冷等离子体在伤口愈合中的有益作用没有明显的副作用,包括肿瘤形成或慢性炎症。

https://cdn.ncbi.nlm.nih.gov/pmc/blobs/df76/5412449/4dc6d35ea1e5/ijms-18-00868-g001.jpg

文献AI研究员

20分钟写一篇综述,助力文献阅读效率提升50倍。

立即体验

用中文搜PubMed

大模型驱动的PubMed中文搜索引擎

马上搜索

文档翻译

学术文献翻译模型,支持多种主流文档格式。

立即体验