Suppr超能文献

儿童多关节炎作为自身免疫性多内分泌腺病合并念珠菌病和外胚层营养不良综合征的早期表现

Childhood Polyarthritis As Early Manifestation of Autoimmune Polyendocrinopathy with Candidiasis and Ectodermal Dystrophy Syndrome.

作者信息

Gutierrez Maria J, Gilson Julieta, Zacharias Jamie, Ishmael Faoud, Bingham C April

机构信息

Division of Pediatric Allergy Immunology, Johns Hopkins University School of Medicine, Baltimore, MD, USA.

Naples Community Hospital, Naples, FL, USA.

出版信息

Front Immunol. 2017 Apr 18;8:377. doi: 10.3389/fimmu.2017.00377. eCollection 2017.

Abstract

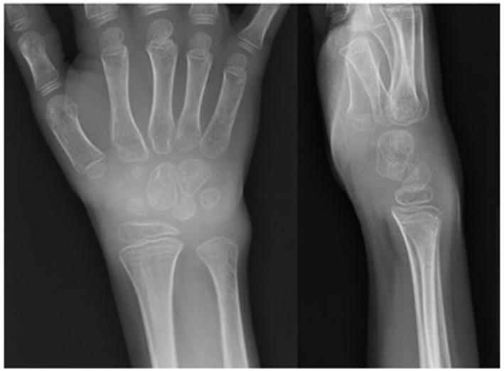
Autoimmune polyendocrinopathy with candidiasis and ectodermal dystrophy (APECED) is a rare disorder of immune dysregulation caused by mutations in the autoimmune regulator () gene. Individuals affected with APECED develop a clinical syndrome characterized by ectodermal abnormalities, autoantibody production, and organ-specific autoimmune manifestations. Inflammatory arthritis is usually not described as a part of the syndrome, and only sporadic cases are reported. We describe the case of a preschool-age girl who presented with hypoparathyroidism, hepatitis, interstitial pneumonitis, and chronic polyarthritis at 4 years of age and was found to have two compound heterozygous disease-associated mutations in the gene. We also conducted a literature review of the main characteristics of inflammatory arthritis in APECED patients. Our case and review demonstrate that (1) inflammatory arthritis, although rare, can be an early manifestation of APECED; (2) the diagnosis of APECED should be considered if mucocutaneous candidiasis, multiple organ-specific autoimmune manifestations, polyendocrinopathy, especially hypoparathyroidism or adrenal failure, or ectodermal dystrophy accompany joint symptoms; and (3) genotyping interpretation should take into account that mutations are found in the 14 exons of the gene, compound heterozygosity is common, and in some cases, only one or no mutated alleles are found.

摘要

自身免疫性多内分泌腺病合并念珠菌病和外胚层营养不良(APECED)是一种由自身免疫调节因子(AIRE)基因突变引起的罕见免疫调节紊乱疾病。患有APECED的个体出现一种临床综合征,其特征为外胚层异常、自身抗体产生以及器官特异性自身免疫表现。炎性关节炎通常未被描述为该综合征的一部分,仅报道过散发病例。我们描述了一名学龄前女童的病例,该女童在4岁时出现甲状旁腺功能减退、肝炎、间质性肺炎和慢性多关节炎,并且在AIRE基因中发现了两个复合杂合性疾病相关突变。我们还对APECED患者炎性关节炎的主要特征进行了文献综述。我们的病例及综述表明:(1)炎性关节炎虽然罕见,但可能是APECED的早期表现;(2)如果黏膜皮肤念珠菌病、多种器官特异性自身免疫表现、多内分泌腺病,尤其是甲状旁腺功能减退或肾上腺功能衰竭,或外胚层营养不良伴有关节症状,则应考虑APECED的诊断;(3)基因分型解释应考虑到在该基因的14个外显子中发现突变、复合杂合性很常见,并且在某些情况下,仅发现一个或未发现突变等位基因。

https://cdn.ncbi.nlm.nih.gov/pmc/blobs/dd0d/5394715/30f356656fbf/fimmu-08-00377-g001.jpg

文献AI研究员

20分钟写一篇综述,助力文献阅读效率提升50倍。

立即体验

用中文搜PubMed

大模型驱动的PubMed中文搜索引擎

马上搜索

文档翻译

学术文献翻译模型,支持多种主流文档格式。

立即体验