Suppr超能文献

胰腺导管腺癌与神经内分泌肿瘤的碰撞:一例报告并文献复习

Collision of ductal adenocarcinoma and neuroendocrine tumor of the pancreas: a case report and review of the literature.

作者信息

Serafini Simone, Da Dalt Gianfranco, Pozza Gioia, Blandamura Stella, Valmasoni Michele, Merigliano Stefano, Sperti Cosimo

机构信息

Department of Surgery, Oncology and Gastroenterology, 3rd Surgical Clinic, University of Padua, via Giustiniani 2, 35128, Padua, Italy.

Department of Pathology, University of Padua, Padua, Italy.

出版信息

World J Surg Oncol. 2017 May 2;15(1):93. doi: 10.1186/s12957-017-1157-9.

Abstract

BACKGROUND

Simultaneous occurrence of exocrine and neuroendocrine tumors of the pancreas is very infrequent. We report a patient with an endocrine tumor in the pancreatic-duodenal area and extensive exocrine carcinoma involving the whole pancreas.

CASE PRESENTATION

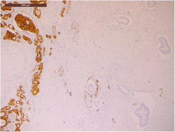
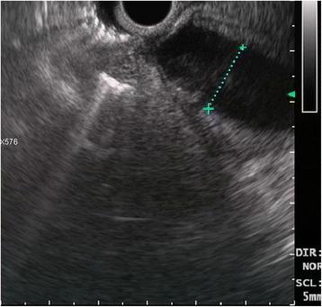
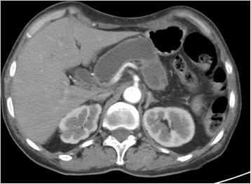
A 69-year-old woman was hospitalized in May 2016 for epigastric pain and weight loss. Her past medical history revealed an undefined main pancreatic duct dilation that was subsequently confirmed at CT scan (23 mm) and endoscopic ultrasound. There was no evidence of pancreatic masses, but the cephalic portion of the main pancreatic duct presented hypoechoic nodules. A diagnosis of the main-duct intraductal papillary mucinous neoplasm was made, and the patient underwent total pancreatectomy. Pathological examination showed a collision tumor constituted by a ductal adenocarcinoma involving the whole pancreas and a neuroendocrine tumor located in the duodenal peripancreatic wall and the head of the pancreas. There was one peripancreatic lymph node metastasis from the ductal adenocarcinoma and eight node metastases from the neuroendocrine tumor. These findings suggested a diagnosis of collision of neuroendocrine and ductal adenocarcinomas of the pancreas. The postoperative course was uneventful.

CONCLUSIONS

The coexistence of pancreatic endocrine and exocrine tumors is very uncommon. When present, problems in differential diagnosis may arise between mixed exocrine-endocrine carcinoma or the collision of separate tumors.

摘要

背景

胰腺外分泌肿瘤和神经内分泌肿瘤同时发生的情况非常罕见。我们报告一例患者,其胰腺十二指肠区域存在内分泌肿瘤,同时整个胰腺广泛存在外分泌癌。

病例介绍

一名69岁女性于2016年5月因上腹部疼痛和体重减轻入院。她的既往病史显示有未明确的主胰管扩张,随后CT扫描(23毫米)和内镜超声证实了这一情况。没有胰腺肿块的证据,但主胰管头部出现低回声结节。诊断为主胰管内乳头状黏液性肿瘤,患者接受了全胰切除术。病理检查显示为碰撞瘤,由累及整个胰腺的导管腺癌和位于十二指肠胰周壁及胰头的神经内分泌肿瘤组成。导管腺癌有1个胰周淋巴结转移,神经内分泌肿瘤有8个淋巴结转移。这些发现提示胰腺神经内分泌癌与导管腺癌碰撞的诊断。术后过程顺利。

结论

胰腺内分泌肿瘤和外分泌肿瘤同时存在非常罕见。当出现这种情况时,在鉴别诊断方面可能会出现混合性外分泌-内分泌癌或独立肿瘤碰撞的问题。

https://cdn.ncbi.nlm.nih.gov/pmc/blobs/7e58/5414360/c25ee258c70a/12957_2017_1157_Fig1_HTML.jpg

文献AI研究员

20分钟写一篇综述,助力文献阅读效率提升50倍。

立即体验

用中文搜PubMed

大模型驱动的PubMed中文搜索引擎

马上搜索

文档翻译

学术文献翻译模型,支持多种主流文档格式。

立即体验