Suppr超能文献

血脑屏障球体作为一种用于穿透血脑屏障药物的体外筛选平台。

Blood-brain-barrier spheroids as an in vitro screening platform for brain-penetrating agents.

机构信息

Harvey Cushing Neuro-Oncology Laboratories, Department of Neurosurgery, Brigham and Women's Hospital, Harvard Medical School, Boston, Massachusetts 02115, USA.

Department of Chemistry, Massachusetts Institute of Technology, Cambridge, Massachusetts 02139, USA.

出版信息

Nat Commun. 2017 Jun 6;8:15623. doi: 10.1038/ncomms15623.

Abstract

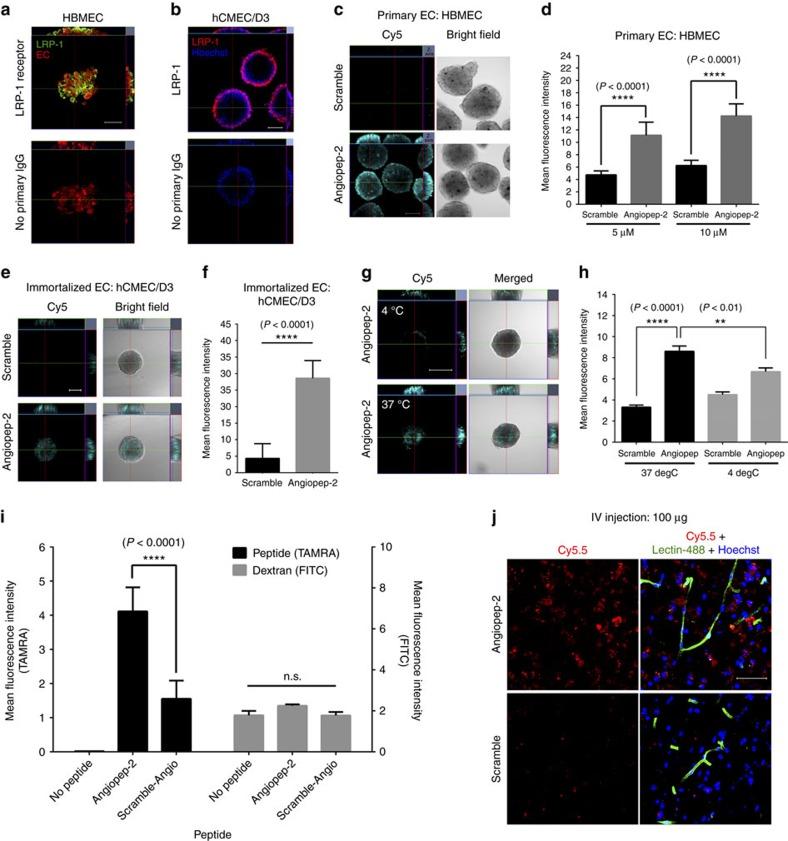
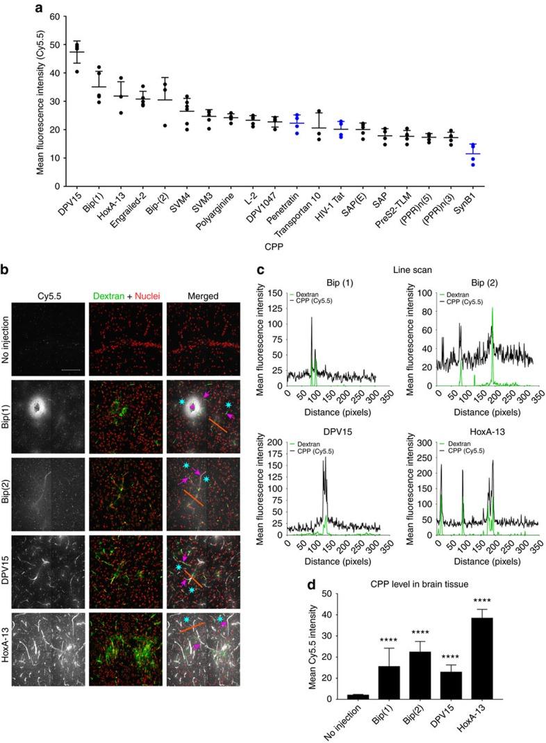
Culture-based blood-brain barrier (BBB) models are crucial tools to enable rapid screening of brain-penetrating drugs. However, reproducibility of in vitro barrier properties and permeability remain as major challenges. Here, we report that self-assembling multicellular BBB spheroids display reproducible BBB features and functions. The spheroid core is comprised mainly of astrocytes, while brain endothelial cells and pericytes encase the surface, acting as a barrier that regulates transport of molecules. The spheroid surface exhibits high expression of tight junction proteins, VEGF-dependent permeability, efflux pump activity and receptor-mediated transcytosis of angiopep-2. In contrast, the transwell co-culture system displays comparatively low levels of BBB regulatory proteins, and is unable to discriminate between the transport of angiopep-2 and a control peptide. Finally, we have utilized the BBB spheroids to screen and identify BBB-penetrant cell-penetrating peptides (CPPs). This robust in vitro BBB model could serve as a valuable next-generation platform for expediting the development of CNS therapeutics.

摘要

基于细胞的血脑屏障 (BBB) 模型是快速筛选穿透血脑屏障药物的重要工具。然而,体外屏障特性和通透性的重现性仍然是主要挑战。在这里,我们报告说,自组装的多细胞 BBB 球体显示出可重复的 BBB 特征和功能。球体核心主要由星形胶质细胞组成,而脑内皮细胞和周细胞包裹在表面,作为调节分子转运的屏障。球体表面高度表达紧密连接蛋白、VEGF 依赖性通透性、外排泵活性和血管生成肽-2 的受体介导转胞吞作用。相比之下,Transwell 共培养系统显示出相对较低水平的 BBB 调节蛋白,并且无法区分血管生成肽-2 和对照肽的转运。最后,我们利用 BBB 球体筛选和鉴定了穿透血脑屏障的细胞穿透肽 (CPP)。这种强大的体外 BBB 模型可以作为一种有价值的下一代平台,加速 CNS 治疗药物的开发。

https://cdn.ncbi.nlm.nih.gov/pmc/blobs/ee72/5467173/1b7c61214f50/ncomms15623-f1.jpg

文献AI研究员

20分钟写一篇综述,助力文献阅读效率提升50倍。

立即体验

用中文搜PubMed

大模型驱动的PubMed中文搜索引擎

马上搜索

文档翻译

学术文献翻译模型,支持多种主流文档格式。

立即体验