Suppr超能文献

骨髓间充质基质细胞衍生物在糖尿病小鼠皮肤伤口愈合中的作用。

The role of bone marrow mesenchymal stromal cell derivatives in skin wound healing in diabetic mice.

作者信息

de Mayo Tomas, Conget Paulette, Becerra-Bayona Silvia, Sossa Claudia L, Galvis Virgilio, Arango-Rodríguez Martha L

机构信息

School of Medicine Clínica Alemana Universidad del Desarrollo, Lo Barnechea, Santiago, Chile.

Center for Regenerative Medicine, School of Medicine Clínica Alemana Universidad del Desarrollo, Lo Barnechea, Santiago, Chile.

出版信息

PLoS One. 2017 Jun 8;12(6):e0177533. doi: 10.1371/journal.pone.0177533. eCollection 2017.

Abstract

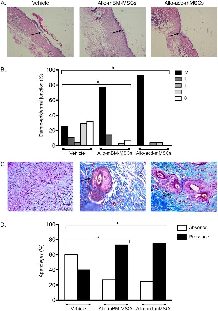
Mesenchymal stromal cells (MSCs) have shown to be a promising tool in cell therapies to treat different conditions. Several pre-clinical and clinical studies have proved that the transplantation of MSCs improves wound healing. Here, we compare the beneficial effects of mouse bone marrow-derived allogeneic MSCs (allo-mBM-MSCs) and their acelullar derivatives (allo-acd-mMSCs) on skin wound healing in Non-Obese Diabetic (NOD) mice. One dose of allo-mBM-MSCs (1×106 cells) or one dose of allo-acd-mMSCs (1X) were intradermally injected around wounds in 8-10 week old female NOD mice. Wound healing was evaluated macroscopically (wound closure) every two days, and microscopically (reepithelialization, dermoepidermal junction, skin appendage regeneration, leukocyte infiltration, vascularization, granulation tissue formation, and density of collagen fibers in the dermis) after 16 days of MSC injection. In addition, we measured growth factors and specific proteins that were present in the allo-acd-mMSCs. Results showed significant differences in the wound healing kinetics of lesions that received allo-acd-mMSCs compared to lesions that received vehicle or allo-mBM-MSCs. In particular, mice treated with allo-acd-mMSCs reached significantly higher percentages of wound closure at day 4, 6 and 8, relative to the allo-mBM-MSCs and vehicle groups (p < 0.05), while wound closure percentages could not be statistically distinguished between the allo-mBM-MSCs and vehicle groups. Also, allo-acd-mMSCs had a greater influence in the skin would healing process. Specifically, they caused a less pronounced inflammatory severe response (p < 0.0001), more granulation tissue formation at an advanced stage (p < 0.0001), and higher density of collagen fibers (p < 0.05) compared to the other groups. Nevertheless, at day 16, both allo-mBM-MSCs and allo-acd-mMSCs revealed a higher effect on the recovery of the quality skin (continuous epidermis; regular dermoepidermal junction and skin appendages) relative to untreated lesions (p < 0.0001), but not between them. On the other hand, ELISA analyses indicated that the allo-acd-mMSCs contained growth factors and proteins relevant to wound healing such as IGF-1, KGF, HGF, VEGF, ANG-2, MMP-1, CoL-1 and PGE2. Compared to allo-acd-mMSCs, the administration of allo-mBM-MSCs is insufficient for wound healing in diabetic mice and delays the therapeutic effect, which maybe explained by the fact that trophic factors secreted by MSCs are critical for skin regeneration, and not the cells per se, suggesting that MSCs may require some time to secrete these factors after their administration.

摘要

间充质基质细胞(MSCs)已被证明是细胞治疗中治疗不同病症的一种有前景的工具。多项临床前和临床研究已证明,MSCs的移植可改善伤口愈合。在此,我们比较了小鼠骨髓来源的同种异体MSCs(allo - mBM - MSCs)及其无细胞衍生物(allo - acd - mMSCs)对非肥胖糖尿病(NOD)小鼠皮肤伤口愈合的有益作用。将一剂allo - mBM - MSCs(1×10⁶个细胞)或一剂allo - acd - mMSCs(1X)皮内注射到8 - 10周龄雌性NOD小鼠伤口周围。每两天宏观评估伤口愈合情况(伤口闭合),并在注射MSCs 16天后进行微观评估(再上皮化、真皮表皮连接、皮肤附属器再生、白细胞浸润、血管生成、肉芽组织形成以及真皮中胶原纤维密度)。此外,我们测量了allo - acd - mMSCs中存在的生长因子和特定蛋白质。结果显示,与接受载体或allo - mBM - MSCs的损伤相比,接受allo - acd - mMSCs的损伤在伤口愈合动力学方面存在显著差异。特别是,与allo - mBM - MSCs和载体组相比,用allo - acd - mMSCs治疗的小鼠在第4、6和8天达到了显著更高的伤口闭合百分比(p < 0.05),而allo - mBM - MSCs和载体组之间的伤口闭合百分比在统计学上无显著差异。此外,allo - acd - mMSCs对皮肤伤口愈合过程有更大影响。具体而言,与其他组相比,它们引起的炎症严重反应较轻(p < 0.0001),在晚期形成更多的肉芽组织(p < 0.0001),以及更高的胶原纤维密度(p < 0.05)。然而,在第16天,相对于未治疗的损伤,allo - mBM - MSCs和allo - acd - mMSCs对优质皮肤(连续表皮;规则的真皮表皮连接和皮肤附属器)的恢复均显示出更高的效果(p < 0.0001),但它们之间无显著差异。另一方面,ELISA分析表明,allo - acd - mMSCs含有与伤口愈合相关的生长因子和蛋白质,如IGF - 1、KGF、HGF、VEGF、ANG - 2、MMP - 1、CoL - 1和PGE2。与allo - acd - mMSCs相比,allo - mBM - MSCs对糖尿病小鼠伤口愈合不足并延迟治疗效果,这可能是因为MSCs分泌的营养因子对皮肤再生至关重要,而不是细胞本身,这表明MSCs在给药后可能需要一些时间来分泌这些因子。

https://cdn.ncbi.nlm.nih.gov/pmc/blobs/4f72/5464535/10f9924040a1/pone.0177533.g001.jpg

文献AI研究员

20分钟写一篇综述,助力文献阅读效率提升50倍。

立即体验

用中文搜PubMed

大模型驱动的PubMed中文搜索引擎

马上搜索

文档翻译

学术文献翻译模型,支持多种主流文档格式。

立即体验