Suppr超能文献

来自保守模型系统的早期人类发育和生殖细胞程序的原理

Principles of early human development and germ cell program from conserved model systems.

作者信息

Kobayashi Toshihiro, Zhang Haixin, Tang Walfred W C, Irie Naoko, Withey Sarah, Klisch Doris, Sybirna Anastasiya, Dietmann Sabine, Contreras David A, Webb Robert, Allegrucci Cinzia, Alberio Ramiro, Surani M Azim

机构信息

Wellcome Trust/Cancer Research UK Gurdon Institute, University of Cambridge, Tennis Court Road, Cambridge CB2 1QN, UK.

Department of Physiology, Development and Neuroscience, University of Cambridge, Downing Street, Cambridge CB2 3DY, UK.

出版信息

Nature. 2017 Jun 15;546(7658):416-420. doi: 10.1038/nature22812. Epub 2017 Jun 7.

Abstract

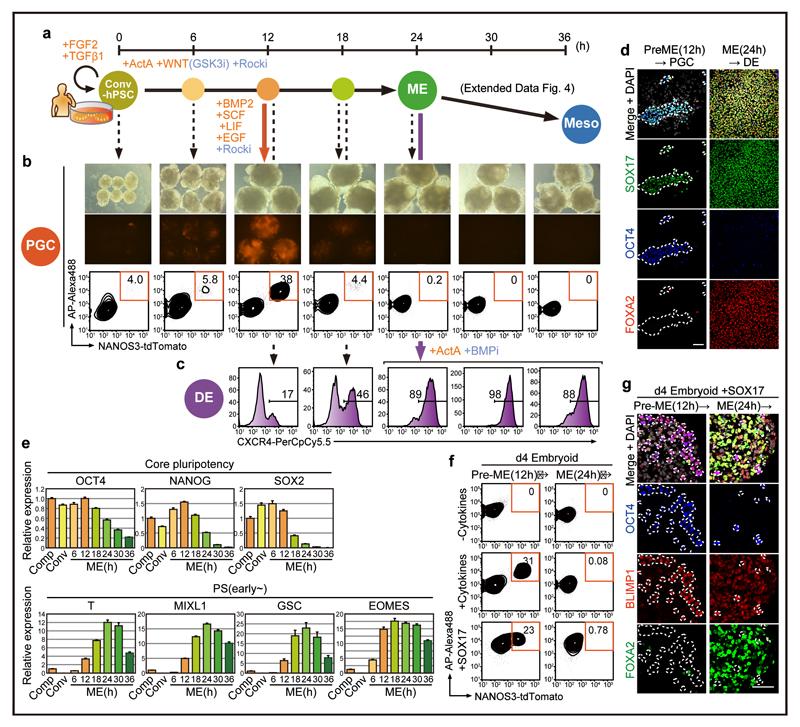
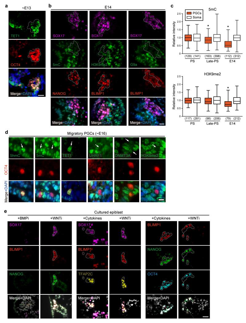
Human primordial germ cells (hPGCs), the precursors of sperm and eggs, originate during weeks 2-3 of early post-implantation development. Using in vitro models of hPGC induction, recent studies have suggested that there are marked mechanistic differences in the specification of human and mouse PGCs. This may be due in part to the divergence in their pluripotency networks and early post-implantation development. As early human embryos are not accessible for direct study, we considered alternatives including porcine embryos that, as in humans, develop as bilaminar embryonic discs. Here we show that porcine PGCs originate from the posterior pre-primitive-streak competent epiblast by sequential upregulation of SOX17 and BLIMP1 in response to WNT and BMP signalling. We use this model together with human and monkey in vitro models simulating peri-gastrulation development to show the conserved principles of epiblast development for competency for primordial germ cell fate. This process is followed by initiation of the epigenetic program and regulated by a balanced SOX17-BLIMP1 gene dosage. Our combinatorial approach using human, porcine and monkey in vivo and in vitro models provides synthetic insights into early human development.

摘要

人类原始生殖细胞(hPGCs)是精子和卵子的前体,在植入后早期发育的第2 - 3周产生。利用hPGC诱导的体外模型,最近的研究表明,人类和小鼠PGC的特化在机制上存在显著差异。这可能部分归因于它们多能性网络和植入后早期发育的差异。由于早期人类胚胎无法直接用于研究,我们考虑了其他替代方案,包括猪胚胎,其与人类一样,发育为双胚层胚胎盘。在这里,我们表明猪PGC通过响应WNT和BMP信号依次上调SOX17和BLIMP1,起源于原始条纹前能干的上胚层后部。我们将这个模型与模拟原肠胚形成期发育的人类和猴子体外模型一起使用,以展示上胚层发育对于原始生殖细胞命运能力的保守原则。这个过程随后是表观遗传程序的启动,并由平衡的SOX17 - BLIMP1基因剂量调节。我们使用人类、猪和猴子体内及体外模型的组合方法,为早期人类发育提供了综合见解。

https://cdn.ncbi.nlm.nih.gov/pmc/blobs/f495/5473469/7505c3adcded/emss-72662-f005.jpg

文献AI研究员

20分钟写一篇综述,助力文献阅读效率提升50倍。

立即体验

用中文搜PubMed

大模型驱动的PubMed中文搜索引擎

马上搜索

文档翻译

学术文献翻译模型,支持多种主流文档格式。

立即体验