Suppr超能文献

三维运动校正敏感编码重建用于多-shot 多切片 MRI:在新生儿脑成像中的应用。

Three-dimensional motion corrected sensitivity encoding reconstruction for multi-shot multi-slice MRI: Application to neonatal brain imaging.

机构信息

Centre for the Developing Brain and Department of Biomedical Engineering, Division of Imaging Sciences and Biomedical Engineering, King's College London, King's Health Partners, St. Thomas' Hospital, London, UK.

出版信息

Magn Reson Med. 2018 Mar;79(3):1365-1376. doi: 10.1002/mrm.26796. Epub 2017 Jun 19.

Abstract

PURPOSE

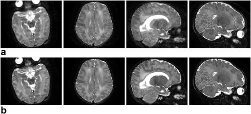
To introduce a methodology for the reconstruction of multi-shot, multi-slice magnetic resonance imaging able to cope with both within-plane and through-plane rigid motion and to describe its application in structural brain imaging.

THEORY AND METHODS

The method alternates between motion estimation and reconstruction using a common objective function for both. Estimates of three-dimensional motion states for each shot and slice are gradually refined by improving on the fit of current reconstructions to the partial k-space information from multiple coils. Overlapped slices and super-resolution allow recovery of through-plane motion and outlier rejection discards artifacted shots. The method is applied to T and T brain scans acquired in different views.

RESULTS

The procedure has greatly diminished artifacts in a database of 1883 neonatal image volumes, as assessed by image quality metrics and visual inspection. Examples showing the ability to correct for motion and robustness against damaged shots are provided. Combination of motion corrected reconstructions for different views has shown further artifact suppression and resolution recovery.

CONCLUSION

The proposed method addresses the problem of rigid motion in multi-shot multi-slice anatomical brain scans. Tests on a large collection of potentially corrupted datasets have shown a remarkable image quality improvement. Magn Reson Med 79:1365-1376, 2018. © 2017 The Authors Magnetic Resonance in Medicine published by Wiley Periodicals, Inc. on behalf of International Society for Magnetic Resonance in Medicine. This is an open access article under the terms of the Creative Commons Attribution License, which permits use, distribution and reproduction in any medium, provided the original work is properly cited.

摘要

目的

介绍一种适用于处理平面内和平面外刚性运动的多回合、多切片磁共振成像重建方法,并描述其在结构脑成像中的应用。

理论与方法

该方法在运动估计和重建之间交替使用一个共同的目标函数。通过改进当前重建与来自多个线圈的部分 k 空间信息的拟合,逐步细化每个拍摄和切片的三维运动状态估计。重叠切片和超分辨率允许恢复平面外运动,并通过剔除异常值剔除伪影拍摄。该方法应用于在不同视图下采集的 T 和 T 脑扫描。

结果

该程序大大减少了 1883 个新生儿图像体积数据库中的伪影,通过图像质量指标和视觉检查进行评估。提供了示例,展示了校正运动和对损坏拍摄具有鲁棒性的能力。对不同视图的运动校正重建进行组合,进一步显示出对伪影的抑制和分辨率的恢复。

结论

所提出的方法解决了多回合多切片解剖脑扫描中的刚性运动问题。对大量潜在损坏数据集的测试表明,图像质量得到了显著改善。磁共振医学 79:1365-1376, 2018。© 2017 作者磁共振医学由 Wiley 期刊出版公司代表国际磁共振医学学会出版。这是根据知识共享署名许可条款允许在任何媒介中使用、分发和复制原始作品的条款。

https://cdn.ncbi.nlm.nih.gov/pmc/blobs/b8d3/5811842/4c520bc11f40/MRM-79-1365-g001.jpg

文献AI研究员

20分钟写一篇综述,助力文献阅读效率提升50倍。

立即体验

用中文搜PubMed

大模型驱动的PubMed中文搜索引擎

马上搜索

文档翻译

学术文献翻译模型,支持多种主流文档格式。

立即体验