Suppr超能文献

端粒长度与多发性骨髓瘤骨髓间充质干细胞中IL-6和MIP-1α的表达呈正相关。

Telomere length is positively associated with the expression of IL‑6 and MIP‑1α in bone marrow mesenchymal stem cells of multiple myeloma.

作者信息

Li Shengli, Jiang Yang, Li Ai, Liu Xiaoli, Xing Xiangling, Guo Yanan, Xu Yaqi, Hao Yunliang, Zheng Chengyun

机构信息

Department of Hematology, The Second Hospital, Institute of Biotherapy for Hematological Malignancies, Shandong University, Jinan, Shandong 250033, P.R. China.

Department of Hematology, Jining No. 1 People's Hospital, Jining, Shandong 272100, P.R. China.

出版信息

Mol Med Rep. 2017 Sep;16(3):2497-2504. doi: 10.3892/mmr.2017.6885. Epub 2017 Jun 29.

Abstract

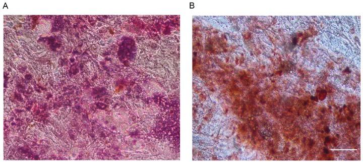
Potential roles of mesenchymal stem cells (MSCs) in the pathogenesis of multiple myeloma (MM) are largely unknown. In the current study, the authors analyzed telomere length and the expressions of interleukin (IL)‑6 and macrophage inflammatory protein (MIP)‑1α in MSCs derived from the bone marrow (BM) of MM patients and controls. The current results demonstrated that there was no significant difference in cell surface expression of CD73 and CD90, and the capacity to differentiate into bone tissue were identified between the BM MSCs derived from MM patients and controls. Interestingly, telomere length (TL) and mRNA expressions of IL‑6 and MIP‑1α were significantly longer or higher in BM MSCs of MM than those of controls. Moreover, TL is positively associated with the expressions of IL‑6 and MIP‑1α at the mRNA level in BM MSCs of MM. Additionally, IL‑6 and MIP‑1α expression were significantly upregulated when MSCs from MM patients were cultured in the myeloma associated condition medium. The present study indicated that myeloma‑associated elongation of TL of BM MSCs may be a key element contributing to the increased IL‑6 and MIP‑1α expression, by which MSCs in the tumor microenvironment may facilitate MM and/or MM bone disease development.

摘要

间充质干细胞(MSCs)在多发性骨髓瘤(MM)发病机制中的潜在作用在很大程度上尚不清楚。在当前研究中,作者分析了多发性骨髓瘤患者和对照组骨髓(BM)来源的间充质干细胞中端粒长度以及白细胞介素(IL)-6和巨噬细胞炎性蛋白(MIP)-1α的表达。当前结果表明,多发性骨髓瘤患者和对照组来源的骨髓间充质干细胞在CD73和CD90的细胞表面表达以及分化为骨组织的能力方面没有显著差异。有趣的是,多发性骨髓瘤患者骨髓间充质干细胞的端粒长度(TL)以及IL-6和MIP-1α的mRNA表达明显长于或高于对照组。此外,在多发性骨髓瘤患者骨髓间充质干细胞中,端粒长度在mRNA水平上与IL-6和MIP-1α的表达呈正相关。另外,当将多发性骨髓瘤患者的间充质干细胞在骨髓瘤相关条件培养基中培养时,IL-6和MIP-1α表达显著上调。本研究表明,骨髓瘤相关的骨髓间充质干细胞端粒长度延长可能是导致IL-6和MIP-1α表达增加的关键因素,肿瘤微环境中的间充质干细胞可能通过这一机制促进多发性骨髓瘤和/或多发性骨髓瘤骨病的发展。

https://cdn.ncbi.nlm.nih.gov/pmc/blobs/1b1d/5547952/fdb2e8039904/MMR-16-03-2497-g00.jpg

文献AI研究员

20分钟写一篇综述,助力文献阅读效率提升50倍。

立即体验

用中文搜PubMed

大模型驱动的PubMed中文搜索引擎

马上搜索

文档翻译

学术文献翻译模型,支持多种主流文档格式。

立即体验