Suppr超能文献

流感病毒RNA与Rab11A的细胞内共定位依赖于微管丝。

Intracellular Colocalization of Influenza Viral RNA and Rab11A Is Dependent upon Microtubule Filaments.

作者信息

Nturibi Eric, Bhagwat Amar R, Coburn Stefanie, Myerburg Mike M, Lakdawala Seema S

机构信息

Department of Microbiology and Molecular Genetics, University of Pittsburgh School of Medicine, Pittsburgh, Pennsylvania, USA.

Division of Pulmonary, Allergy, and Critical Care Medicine, University of Pittsburgh, Pittsburgh, Pennsylvania, USA.

出版信息

J Virol. 2017 Sep 12;91(19). doi: 10.1128/JVI.01179-17. Print 2017 Oct 1.

Abstract

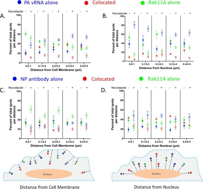
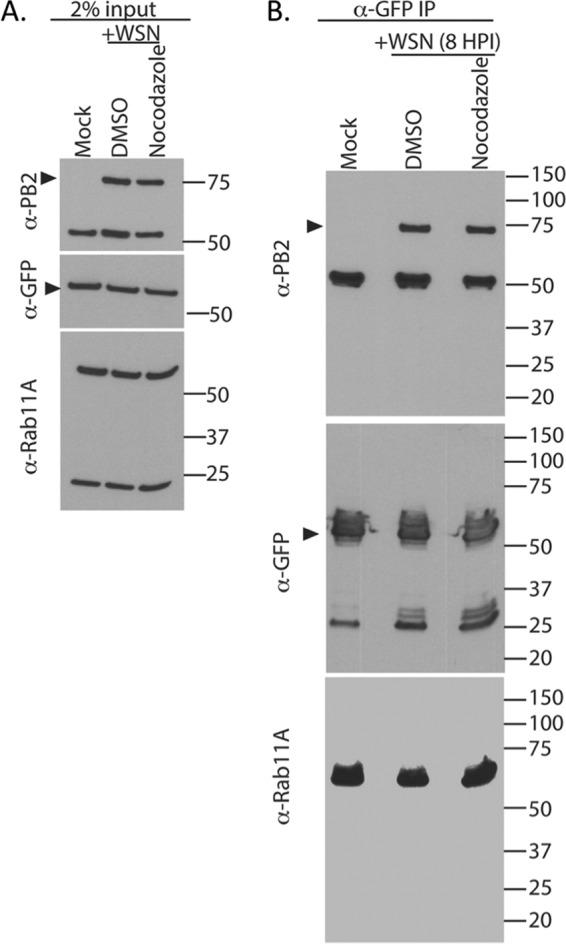
Influenza A virus (IAV) consists of eight viral RNA (vRNA) segments that are replicated in the host cell nucleus and transported to the plasma membrane for packaging into progeny virions. We have previously proposed a model where subcomplexes of vRNA are exported from the nucleus and assembled en route to the plasma membrane. However, the role of host cytoskeletal proteins in the cytoplasmic assembly of IAV vRNA segments remains unknown. Previous studies have suggested that IAV vRNA segments are transported via Rab11A-containing recycling endosomes (RE) and use both microtubules (MT) and actin. Rab11A RE transport primarily along MT; therefore, investigation of the role of MT in vRNA assembly is warranted. We explored the role of MT in vRNA assembly and replication by using multiple IAV strains in various cell types, including primary human airway epithelial cells. We observed that Rab11A localization was altered in the presence of MT-depolymerizing drugs, but growth of IAV in all of the cell types tested was unchanged. Fluorescent hybridization was performed to determine the role of MT in the assembly of multiple vRNA segments. Unexpectedly, we found that vRNA-vRNA association in cytoplasmic foci was independent of MT. Given the disparity of localization between Rab11A and vRNA segments in the absence of intact MT filaments, we analyzed the three-dimensional spatial relationship between Rab11A and vRNA in the cytoplasm of infected cells. We found that Rab11A and vRNA colocalization is dependent upon dynamic MT filaments. Taken together, our data suggest that cytoplasmic transport of influenza vRNA may include a Rab11A RE-independent mechanism. IAV infections cause a large public health burden through seasonal epidemics and sporadic pandemics. Pandemic IAVs emerge through reassortment of vRNA in animal or human hosts. Elucidation of the mechanism of intracellular dynamics of IAV assembly is necessary to understand reassortment. Our results describing the role of MT in vRNA transport and assembly expand upon previous studies characterizing vRNA assembly. This study is the first to assess the role of MT in influenza virus replication in human bronchial airway epithelial cells. In addition, we present novel data on the role of MT in facilitating the association between distinct vRNA segments. Interestingly, our results suggest that progressive assembly of vRNA segments may be cell type dependent and that vRNA may be transported through the cytoplasm without Rab11A RE in the absence of intact MT. These results enhance our understanding of vRNA assembly and the role of cytoskeletal proteins in that process.

摘要

甲型流感病毒(IAV)由八个病毒RNA(vRNA)片段组成,这些片段在宿主细胞核中复制,然后转运到质膜上包装成子代病毒粒子。我们之前提出了一个模型,即vRNA亚复合物从细胞核输出,并在转运到质膜的途中进行组装。然而,宿主细胞骨架蛋白在IAV vRNA片段的细胞质组装中的作用仍然未知。先前的研究表明,IAV vRNA片段通过含有Rab11A的循环内体(RE)进行转运,并利用微管(MT)和肌动蛋白。Rab11A RE主要沿MT运输;因此,有必要研究MT在vRNA组装中的作用。我们通过在包括原代人气道上皮细胞在内的多种细胞类型中使用多种IAV毒株,探索了MT在vRNA组装和复制中的作用。我们观察到,在存在MT解聚药物的情况下,Rab11A的定位发生了改变,但IAV在所有测试细胞类型中的生长均未改变。进行荧光杂交以确定MT在多个vRNA片段组装中的作用。出乎意料的是,我们发现细胞质病灶中的vRNA-vRNA缔合与MT无关。鉴于在没有完整MT细丝的情况下Rab11A和vRNA片段之间定位的差异,我们分析了感染细胞细胞质中Rab11A和vRNA之间的三维空间关系。我们发现Rab11A和vRNA的共定位取决于动态MT细丝。综上所述,我们的数据表明流感vRNA的细胞质运输可能包括一种不依赖Rab11A RE的机制。IAV感染通过季节性流行和偶发大流行造成了巨大的公共卫生负担。大流行性IAV通过动物或人类宿主中vRNA的重配而出现。阐明IAV组装的细胞内动力学机制对于理解重配是必要的。我们描述MT在vRNA运输和组装中作用的结果扩展了先前表征vRNA组装的研究。本研究首次评估了MT在人支气管气道上皮细胞中流感病毒复制中的作用。此外,我们提供了关于MT在促进不同vRNA片段之间缔合作用的新数据。有趣的是,我们的结果表明vRNA片段的逐步组装可能取决于细胞类型,并且在没有完整MT的情况下,vRNA可能在没有Rab11A RE的情况下穿过细胞质进行运输。这些结果加深了我们对vRNA组装以及细胞骨架蛋白在该过程中作用的理解。

https://cdn.ncbi.nlm.nih.gov/pmc/blobs/ca74/5599730/27ce898ba1f4/zjv9991829400001.jpg

文献AI研究员

20分钟写一篇综述,助力文献阅读效率提升50倍。

立即体验

用中文搜PubMed

大模型驱动的PubMed中文搜索引擎

马上搜索

文档翻译

学术文献翻译模型,支持多种主流文档格式。

立即体验