Suppr超能文献

聚脱氧核糖核苷酸在大鼠切口愈合模型中预防瘢痕形成及促进伤口愈合的作用

Scar Prevention and Enhanced Wound Healing Induced by Polydeoxyribonucleotide in a Rat Incisional Wound-Healing Model.

作者信息

Jeong Woonhyeok, Yang Chae Eun, Roh Tai Suk, Kim Jun Hyung, Lee Ju Hee, Lee Won Jai

机构信息

Department of Plastic and Reconstructive Surgery, School of Medicine & Institute for Medical Science, Keimyung University, Dongsan Medical Center, Daegu 41931, Korea.

Department of Plastic and Reconstructive Surgery, Institute for Human Tissue Restoration, Yonsei University Health System, Severance Hospital, Seoul 03722, Korea.

出版信息

Int J Mol Sci. 2017 Aug 3;18(8):1698. doi: 10.3390/ijms18081698.

Abstract

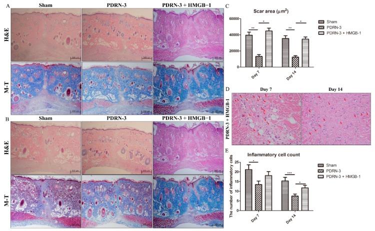
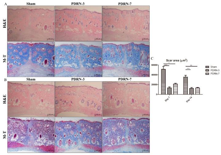
High-mobility group box protein-1 (HMGB-1) plays a central role in the inflammatory network, and uncontrolled chronic inflammation can lead to excessive scarring. The aim of this study was to evaluate the anti-inflammatory effects of polydeoxyribonucleotide (PDRN) on scar formation. Sprague-Dawley rats (n = 30) underwent dorsal excision of the skin, followed by skin repair. PDRN (8 mg/kg) was administered via intraperitoneal injection for three (PDRN-3 group, n = 8) or seven (PDRN-7 group, n = 8) days, and HMGB-1 was administered via intradermal injection in addition to PDRN treatment for three days (PDRN-3+HMGB-1 group; n = 6). The scar-reducing effects of PDRN were evaluated in the internal scar area and by inflammatory cell counts using histology and immunohistochemistry. Western blot, immunohistochemistry and immunofluorescence assays were performed to observe changes in type I and type III collagen and the expression of HMGB-1 and CD45. Treatment with PDRN significantly reduced the scar area, inflammatory cell infiltration and the number of CD45-positive cells. In addition, the increased expression of HMGB-1 observed in the sham group was significantly reduced after treatment with PDRN. Rats administered HMGB-1 in addition to PDRN exhibited scar areas with inflammatory cell infiltration similar to the sham group, and the collagen synthesis effects of PDRN were reversed. In summary, PDRN exerts anti-inflammatory and collagen synthesis effects via HMGB-1 suppression, preventing scar formation. Thus, we believe that the anti-inflammatory and collagen synthesis effects of PDRN resulted in faster wound healing and decreased scar formation.

摘要

高迁移率族蛋白B1(HMGB-1)在炎症网络中起核心作用,不受控制的慢性炎症会导致过度瘢痕形成。本研究旨在评估聚脱氧核糖核苷酸(PDRN)对瘢痕形成的抗炎作用。对30只Sprague-Dawley大鼠进行背部皮肤切除,随后进行皮肤修复。PDRN(8mg/kg)通过腹腔注射给药3天(PDRN-3组,n = 8)或7天(PDRN-7组,n = 8),除PDRN治疗3天外,还通过皮内注射给予HMGB-1(PDRN-3+HMGB-1组;n = 6)。使用组织学和免疫组织化学在内脏瘢痕区域和通过炎症细胞计数评估PDRN的瘢痕减轻效果。进行蛋白质免疫印迹、免疫组织化学和免疫荧光分析以观察I型和III型胶原蛋白的变化以及HMGB-1和CD45的表达。PDRN治疗显著减少了瘢痕面积、炎症细胞浸润和CD45阳性细胞数量。此外,假手术组中观察到的HMGB-1表达增加在PDRN治疗后显著降低。除PDRN外还给予HMGB-1的大鼠表现出与假手术组相似的有炎症细胞浸润的瘢痕区域,并且PDRN的胶原蛋白合成作用被逆转。总之,PDRN通过抑制HMGB-1发挥抗炎和胶原蛋白合成作用,防止瘢痕形成。因此,我们认为PDRN的抗炎和胶原蛋白合成作用导致伤口愈合加快和瘢痕形成减少。

https://cdn.ncbi.nlm.nih.gov/pmc/blobs/c484/5578088/cf2fcb1b159e/ijms-18-01698-g001.jpg

文献AI研究员

20分钟写一篇综述,助力文献阅读效率提升50倍。

立即体验

用中文搜PubMed

大模型驱动的PubMed中文搜索引擎

马上搜索

文档翻译

学术文献翻译模型,支持多种主流文档格式。

立即体验