Suppr超能文献

与葡甲胺锑酸盐相比,BALB/c小鼠长期暴露于环氧乙烷治疗后的组织毒性证据。

Evidence for Tissue Toxicity in BALB/c Exposed to a Long-Term Treatment with Oxiranes Compared to Meglumine Antimoniate.

作者信息

Oliveira Luiz Filipe Gonçalves, Souza-Silva Franklin, Cysne-Finkelstein Léa, Rabelo Kíssila, Amorim Juliana Fernandes, Azevedo Adriana de Souza, Bourguignon Saulo Cabral, Ferreira Vitor Francisco, Paes Marciano Viana, Alves Carlos Roberto

机构信息

Laboratório de Biologia Molecular e Doenças Endêmicas, Instituto Oswaldo Cruz, Fundação Oswaldo Cruz, Avenida Brasil 4365, Manguinhos, 21040-900 Rio de Janeiro, RJ, Brazil.

Laboratório de Imunoparasitologia, Instituto Oswaldo Cruz, Fundação Oswaldo Cruz (Fiocruz), Avenida Brasil 4365, Manguinhos, 21040-900 Rio de Janeiro, RJ, Brazil.

出版信息

Biomed Res Int. 2017;2017:9840210. doi: 10.1155/2017/9840210. Epub 2017 Jul 17.

Abstract

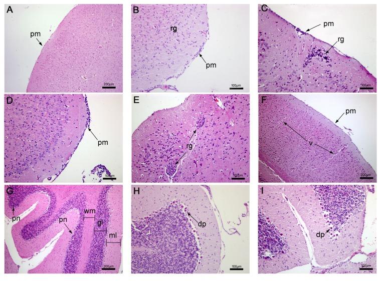
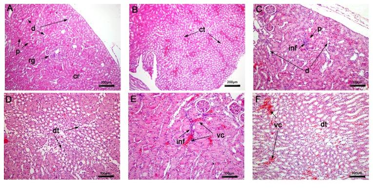
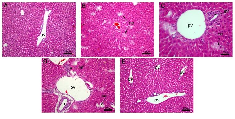
Leishmaniasis remains a serious public health problem in developing countries without effective control, whether by vaccination or chemotherapy. Part of the failure of leishmaniasis control is due to the lack of new less toxic and more effective drugs able to eliminate both the lesions and the parasite. Oxiranes derived from naphthoquinones now being assayed are promising drugs for the treatment of this group of diseases. The predicted pharmacokinetic properties and toxicological profiles of epoxy--lapachone and epoxymethoxy-lawsone have now been compared to those of meglumine antimoniate, and histological changes induced by these drugs in noninfected BALB/c mice tissues are described. Effects of these compounds on liver, kidney, lung, heart, and cerebral tissues of healthy mice were examined. The data presented show that both these oxiranes and meglumine antimoniate induce changes in all BALB/c mice tissues, with the lung, heart, and brain being the most affected. Epoxymethoxy-lawsone was the most toxic to lung tissue, while most severe damage was caused in the heart by epoxy--lapachone. Meglumine antimoniate caused mild-to-moderate changes in heart and lung tissues.

摘要

在缺乏有效控制手段(无论是通过疫苗接种还是化疗)的发展中国家,利什曼病仍然是一个严重的公共卫生问题。利什曼病控制失败的部分原因在于缺乏毒性较低且更有效的新型药物,这些药物需能够消除病灶和寄生虫。目前正在进行试验的源自萘醌的环氧乙烷类化合物有望成为治疗这类疾病的药物。现已将环氧拉帕醌和环氧甲氧基紫铆因的预测药代动力学特性和毒理学特征与葡甲胺锑酸盐进行了比较,并描述了这些药物在未感染的BALB/c小鼠组织中引起的组织学变化。研究了这些化合物对健康小鼠肝脏、肾脏、肺、心脏和脑组织的影响。所呈现的数据表明,这些环氧乙烷类化合物和葡甲胺锑酸盐均会在所有BALB/c小鼠组织中引起变化,其中肺、心脏和大脑受影响最为严重。环氧甲氧基紫铆因对肺组织毒性最大,而环氧拉帕醌对心脏造成的损伤最为严重。葡甲胺锑酸盐在心脏和肺组织中引起轻度至中度变化。

https://cdn.ncbi.nlm.nih.gov/pmc/blobs/59bc/5535747/996b90d21c62/BMRI2017-9840210.001.jpg

文献AI研究员

20分钟写一篇综述,助力文献阅读效率提升50倍。

立即体验

用中文搜PubMed

大模型驱动的PubMed中文搜索引擎

马上搜索

文档翻译

学术文献翻译模型,支持多种主流文档格式。

立即体验