Suppr超能文献

炎症性肠病中的胃肠道神经内分泌肽/胺。

Gastrointestinal neuroendocrine peptides/amines in inflammatory bowel disease.

机构信息

Magdy El-Salhy, Division of Gastroenterology, Department of Medicine, Stord Hospital, Box 4000, 5409 Stord, Norway.

出版信息

World J Gastroenterol. 2017 Jul 28;23(28):5068-5085. doi: 10.3748/wjg.v23.i28.5068.

Abstract

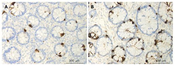
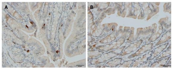
Inflammatory bowel disease (IBD) is a chronic recurrent condition whose etiology is unknown, and it includes ulcerative colitis, Crohn's disease, and microscopic colitis. These three diseases differ in clinical manifestations, courses, and prognoses. IBD reduces the patients' quality of life and is an economic burden to both the patients and society. Interactions between the gastrointestinal (GI) neuroendocrine peptides/amines (NEPA) and the immune system are believed to play an important role in the pathophysiology of IBD. Moreover, the interaction between GI NEPA and intestinal microbiota appears to play also a pivotal role in the pathophysiology of IBD. This review summarizes the available data on GI NEPA in IBD, and speculates on their possible role in the pathophysiology and the potential use of this information when developing treatments. GI NEPA serotonin, the neuropeptide Y family, and substance P are proinflammatory, while the chromogranin/secretogranin family, vasoactive intestinal peptide, somatostatin, and ghrelin are anti-inflammatory. Several innate and adaptive immune cells express these NEPA and/or have receptors to them. The GI NEPA are affected in patients with IBD and in animal models of human IBD. The GI NEPA are potentially useful for the diagnosis and follow-up of the activity of IBD, and are candidate targets for treatments of this disease.

摘要

炎症性肠病(IBD)是一种慢性复发性疾病,其病因不明,包括溃疡性结肠炎、克罗恩病和显微镜下结肠炎。这三种疾病在临床表现、病程和预后上有所不同。IBD 降低了患者的生活质量,给患者和社会都带来了经济负担。胃肠道(GI)神经内分泌肽/胺(NEPA)与免疫系统的相互作用被认为在 IBD 的病理生理学中起重要作用。此外,GI NEPA 与肠道微生物群之间的相互作用似乎也在 IBD 的病理生理学中起关键作用。本综述总结了关于 IBD 中 GI NEPA 的现有数据,并推测了它们在病理生理学中的可能作用,以及在开发治疗方法时利用这些信息的潜在用途。GI NEPA 中的血清素、神经肽 Y 家族和 P 物质是促炎的,而嗜铬粒蛋白/分泌粒蛋白家族、血管活性肠肽、生长抑素和胃饥饿素是抗炎的。一些先天和适应性免疫细胞表达这些 NEPA 并/或具有它们的受体。GI NEPA 在 IBD 患者和人类 IBD 的动物模型中受到影响。GI NEPA 可用于诊断和随访 IBD 的活动,是治疗这种疾病的候选靶点。

https://cdn.ncbi.nlm.nih.gov/pmc/blobs/ac36/5537176/eddfe4b93abb/WJG-23-5068-g001.jpg

文献AI研究员

20分钟写一篇综述,助力文献阅读效率提升50倍。

立即体验

用中文搜PubMed

大模型驱动的PubMed中文搜索引擎

马上搜索

文档翻译

学术文献翻译模型,支持多种主流文档格式。

立即体验