Suppr超能文献

缬氨酸-朊蛋白对牛海绵状脑病有保护作用,但对变异型克雅氏病没有保护作用。

Protective Effect of Val-PrP against Bovine Spongiform Encephalopathy but not Variant Creutzfeldt-Jakob Disease.

作者信息

Fernández-Borges Natalia, Espinosa Juan Carlos, Marín-Moreno Alba, Aguilar-Calvo Patricia, Asante Emmanuel A, Kitamoto Tetsuyuki, Mohri Shirou, Andréoletti Olivier, Torres Juan María

出版信息

Emerg Infect Dis. 2017 Sep;23(9):1522-1530. doi: 10.3201/eid2309.161948.

Abstract

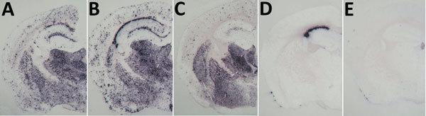
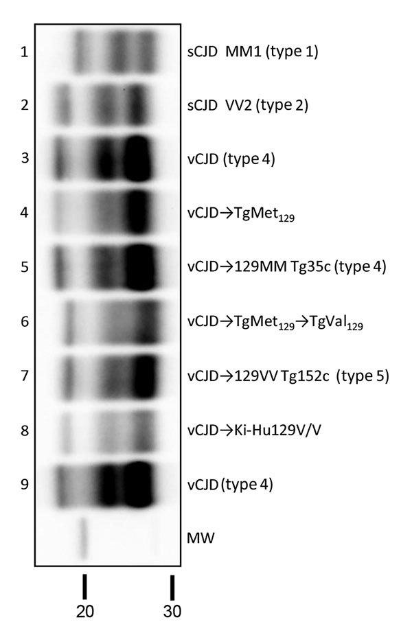
Bovine spongiform encephalopathy (BSE) is the only known zoonotic prion that causes variant Creutzfeldt-Jakob disease (vCJD) in humans. The major risk determinant for this disease is the polymorphic codon 129 of the human prion protein (Hu-PrP), where either methionine (Met) or valine (Val) can be encoded. To date, all clinical and neuropathologically confirmed vCJD cases have been Met homozygous, with the exception of 1 recently reported Met/Val heterozygous case. Here, we found that transgenic mice homozygous for Val Hu-PrP show severely restricted propagation of the BSE prion strain, but this constraint can be partially overcome by adaptation of the BSE agent to the Met Hu-PrP. In addition, the transmission of vCJD to transgenic mice homozygous for Val Hu-PrP resulted in a prion with distinct strain features. These observations may indicate increased risk for vCJD secondary transmission in Val Hu-PrP-positive humans with the emergence of new strain features.

摘要

牛海绵状脑病(BSE)是唯一已知的可导致人类变异型克雅氏病(vCJD)的人畜共患朊病毒。该疾病的主要风险决定因素是人类朊病毒蛋白(Hu-PrP)的多态性密码子129,其中可编码甲硫氨酸(Met)或缬氨酸(Val)。迄今为止,除1例最近报告的Met/Val杂合病例外,所有临床和神经病理学确诊的vCJD病例均为Met纯合子。在此,我们发现Val Hu-PrP纯合的转基因小鼠显示BSE朊病毒株的传播受到严重限制,但通过使BSE病原体适应Met Hu-PrP,这种限制可部分得到克服。此外,将vCJD传播给Val Hu-PrP纯合的转基因小鼠会产生具有独特毒株特征的朊病毒。这些观察结果可能表明,随着新毒株特征的出现,Val Hu-PrP阳性人类发生vCJD二次传播的风险增加。

https://cdn.ncbi.nlm.nih.gov/pmc/blobs/9a08/5572891/b8c147496afb/16-1948-F1.jpg

文献AI研究员

20分钟写一篇综述,助力文献阅读效率提升50倍。

立即体验

用中文搜PubMed

大模型驱动的PubMed中文搜索引擎

马上搜索

文档翻译

学术文献翻译模型,支持多种主流文档格式。

立即体验