Suppr超能文献

一组新型的α-突触核蛋白抗体揭示了突触核蛋白病中独特的染色模式。

A novel panel of α-synuclein antibodies reveal distinctive staining profiles in synucleinopathies.

作者信息

Dhillon Jess-Karan S, Riffe Cara, Moore Brenda D, Ran Yong, Chakrabarty Paramita, Golde Todd E, Giasson Benoit I

机构信息

Department of Neuroscience, Center for Translational Research in Neurodegenerative Disease, and McKnight Brain Institute, College of Medicine University of Florida, Gainesville, Florida, United States of America.

出版信息

PLoS One. 2017 Sep 14;12(9):e0184731. doi: 10.1371/journal.pone.0184731. eCollection 2017.

Abstract

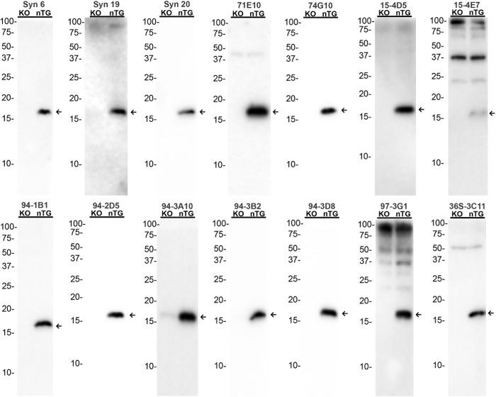
Synucleinopathies are a spectrum of neurodegenerative diseases characterized by the intracellular deposition of the protein α-synuclein leading to multiple outcomes, including dementia and Parkinsonism. Recent findings support the notion that across the spectrum of synucleinopathies there exist diverse but specific biochemical modifications and/or structural conformations of α-synuclein, which would give rise to protein strain specific prion-like intercellular transmission, a proposed model that could explain synucleinopathies disease progression. Herein, we characterized a panel of antibodies with epitopes within both the C- and N- termini of α-synuclein. A comprehensive analysis of human pathological tissue and mouse models of synucleinopathy with these antibodies support the notion that α-synuclein exists in distinct modified forms and/or structural variants. Furthermore, these well-characterized and specific tools allow the investigation of biochemical changes associated with α-synuclein inclusion formation. We have identified several antibodies of interest with diverse staining and epitope properties that will prove useful in future investigations of strain specific disease progression and the development of targeted immunotherapeutic approaches to synucleinopathies.

摘要

突触核蛋白病是一系列神经退行性疾病,其特征是蛋白质α-突触核蛋白在细胞内沉积,导致多种后果,包括痴呆和帕金森综合征。最近的研究结果支持这样一种观点,即在整个突触核蛋白病谱系中,α-突触核蛋白存在多种但特定的生化修饰和/或结构构象,这将导致蛋白质毒株特异性的朊病毒样细胞间传播,这是一种可以解释突触核蛋白病疾病进展的模型。在此,我们鉴定了一组表位位于α-突触核蛋白C端和N端的抗体。用这些抗体对人类病理组织和突触核蛋白病小鼠模型进行的全面分析支持了α-突触核蛋白以不同修饰形式和/或结构变体存在的观点。此外,这些特征明确的特异性工具可用于研究与α-突触核蛋白包涵体形成相关的生化变化。我们已经鉴定出几种具有不同染色和表位特性的有意义的抗体,这些抗体将在未来对毒株特异性疾病进展的研究以及针对突触核蛋白病的靶向免疫治疗方法的开发中发挥作用。

https://cdn.ncbi.nlm.nih.gov/pmc/blobs/e3e9/5599040/7c90fe9d66ad/pone.0184731.g001.jpg

文献AI研究员

20分钟写一篇综述,助力文献阅读效率提升50倍。

立即体验

用中文搜PubMed

大模型驱动的PubMed中文搜索引擎

马上搜索

文档翻译

学术文献翻译模型,支持多种主流文档格式。

立即体验