Suppr超能文献

乳香黄连木叶和果实提取物的保肝和降血糖作用。

Hepatoprotective and antidiabetic effects of Pistacia lentiscus leaf and fruit extracts.

机构信息

Laboratoire de Biochimie Appliquée, Faculté des Sciences de la Nature et de la Vie, Université de Bejaia, Bejaia 06000, Algeria.

Laboratoire d'Etudes et de Recherches sur le Matériau Bois-IFR 110, Nancy-Université, Faculté des Sciences et Techniques, Vandoeuvre-lès-Nancy, France.

出版信息

J Food Drug Anal. 2016 Jul;24(3):653-669. doi: 10.1016/j.jfda.2016.03.002. Epub 2016 Apr 29.

Abstract

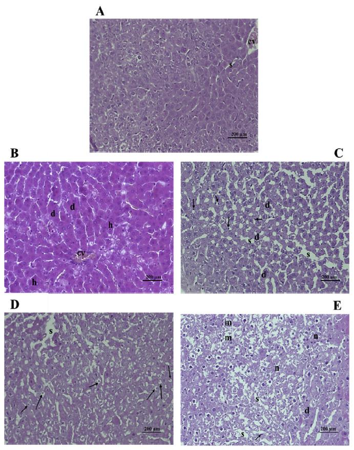
Pistacia lentiscus (Anacardiaceae) is commonly used in folk medicine to treat various diseases. The aim of the present study was to evaluate the hepatoprotective and antioxidant activities of extracts of P. lentiscus leaves (PL) and fruits (PF) against experimentally induced liver damage. Furthermore, characterization of extracts was attempted by a spectroscopic methodology (Fourier transform infrared spectroscopy) and high-performance liquid chromatography with diode array detection analysis. A hepatoprotective potential against paracetamol [165 mg/kg body weight (b.w.)] toxicity was noticed in mice pretreated with the same dose of PL or PF extract (125 mg/kg b.w.) or a combination of both (PL/PF 63/63 mg/kg b.w.), as revealed by an analysis of biochemical parameters (alanine aminotransferase, aspartate aminotransferase, and alkaline phosphatase activities and total bilirubin). These results were confirmed by histological examination of the liver, which revealed significant protection against paracetamol-induced hepatic necrosis. Furthermore, PF extract exhibited a promising antidiabetic activity in streptozotocin-induced diabetic rats, similar to the reference drug glibenclamide (0.91 g/L), a result confirmed by in vitro inhibition of α-amylase. We demonstrated that the leaf crude extract showed the best effect in all tested methods, compared to its fruit counterpart, probably due to the presence of higher amounts of phenolic compounds, as determined by phytochemical and Fourier transform infrared spectroscopy analyses. Moreover, high-performance liquid chromatography with diode array detection led to the identification of six compounds for each part of the plant. Gallic acid, a characteristic compound of Pistacia species, was most abundant in leaves and fruits, while luteolin was detected for the first time in fruits. Obtained activities of P. lentiscus extracts may well be due, at least in part, to the presence of the above compounds.

摘要

乳香黄连木(漆树科)在民间医学中常用于治疗各种疾病。本研究旨在评估乳香黄连木叶(PL)和果实(PF)提取物对实验性肝损伤的保肝和抗氧化活性。此外,还尝试通过光谱方法(傅里叶变换红外光谱)和高效液相色谱-二极管阵列检测分析对提取物进行表征。用相同剂量的 PL 或 PF 提取物(125mg/kg 体重[b.w.])或两者的混合物(PL/PF 63/63mg/kg b.w.)预处理的小鼠,对扑热息痛[165mg/kg b.w.]毒性表现出保肝潜力,通过分析生化参数(丙氨酸氨基转移酶、天冬氨酸氨基转移酶和碱性磷酸酶活性和总胆红素)得到证实。这些结果通过肝脏组织学检查得到了证实,结果表明对扑热息痛诱导的肝坏死有显著的保护作用。此外,PF 提取物在链脲佐菌素诱导的糖尿病大鼠中表现出有希望的抗糖尿病活性,与参考药物格列本脲(0.91g/L)相似,这一结果通过体外抑制α-淀粉酶得到证实。我们证明,与果实提取物相比,叶粗提取物在所有测试方法中表现出最好的效果,这可能是由于存在更多量的酚类化合物,这通过植物化学和傅里叶变换红外光谱分析得到了证实。此外,高效液相色谱-二极管阵列检测导致在植物的每个部分都鉴定出六种化合物。没食子酸是黄连木属植物的特征化合物,在叶和果实中含量最高,而木犀草素则首次在果实中被检测到。乳香黄连木提取物的活性可能至少部分归因于上述化合物的存在。

https://cdn.ncbi.nlm.nih.gov/pmc/blobs/16cd/9336671/846c5dfa30a5/jfda-24-03-653f1.jpg

文献AI研究员

20分钟写一篇综述,助力文献阅读效率提升50倍。

立即体验

用中文搜PubMed

大模型驱动的PubMed中文搜索引擎

马上搜索

文档翻译

学术文献翻译模型,支持多种主流文档格式。

立即体验