Suppr超能文献

患者来源异种移植作为神经母细胞瘤的临床前模型。

Patient-derived xenografts as preclinical neuroblastoma models.

机构信息

Translational Cancer Research, Department of Laboratory Medicine, Lund University, Medicon Village 404:C3, SE-223 81, Lund, Sweden.

出版信息

Cell Tissue Res. 2018 May;372(2):233-243. doi: 10.1007/s00441-017-2687-8. Epub 2017 Sep 19.

Abstract

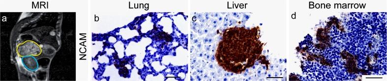
The prognosis for children with high-risk neuroblastoma is often poor and survivors can suffer from severe side effects. Predictive preclinical models and novel therapeutic strategies for high-risk disease are therefore a clinical imperative. However, conventional cancer cell line-derived xenografts can deviate substantially from patient tumors in terms of their molecular and phenotypic features. Patient-derived xenografts (PDXs) recapitulate many biologically and clinically relevant features of human cancers. Importantly, PDXs can closely parallel clinical features and outcome and serve as excellent models for biomarker and preclinical drug development. Here, we review progress in and applications of neuroblastoma PDX models. Neuroblastoma orthotopic PDXs share the molecular characteristics, neuroblastoma markers, invasive properties and tumor stroma of aggressive patient tumors and retain spontaneous metastatic capacity to distant organs including bone marrow. The recent identification of genomic changes in relapsed neuroblastomas opens up opportunities to target treatment-resistant tumors in well-characterized neuroblastoma PDXs. We highlight and discuss the features and various sources of neuroblastoma PDXs, methodological considerations when establishing neuroblastoma PDXs, in vitro 3D models, current limitations of PDX models and their application to preclinical drug testing.

摘要

高危神经母细胞瘤患儿的预后通常较差,幸存者可能会遭受严重的副作用。因此,预测高危疾病的临床前模型和新的治疗策略是当务之急。然而,传统的癌细胞系衍生的异种移植在分子和表型特征方面与患者肿瘤有很大的不同。患者来源的异种移植(PDX)重现了许多与人类癌症相关的生物学和临床特征。重要的是,PDX 可以很好地模拟临床特征和结果,并成为生物标志物和临床前药物开发的优秀模型。在这里,我们回顾神经母细胞瘤 PDX 模型的进展和应用。神经母细胞瘤的原位 PDX 具有侵袭性患者肿瘤的分子特征、神经母细胞瘤标志物、侵袭性和肿瘤基质,并保留自发转移到包括骨髓在内的远处器官的能力。复发性神经母细胞瘤中基因组改变的最新发现为在经过良好特征描述的神经母细胞瘤 PDX 中靶向治疗耐药肿瘤提供了机会。我们强调和讨论了神经母细胞瘤 PDX 的特征和各种来源、建立神经母细胞瘤 PDX 时的方法学考虑因素、体外 3D 模型、PDX 模型的当前限制及其在临床前药物测试中的应用。

https://cdn.ncbi.nlm.nih.gov/pmc/blobs/143b/5915499/59057ffb887f/441_2017_2687_Fig1_HTML.jpg

文献AI研究员

20分钟写一篇综述,助力文献阅读效率提升50倍。

立即体验

用中文搜PubMed

大模型驱动的PubMed中文搜索引擎

马上搜索

文档翻译

学术文献翻译模型,支持多种主流文档格式。

立即体验