Suppr超能文献

采用SP142和22C3单克隆抗体的免疫组织化学检测法,用于检测已知 和 基因状态的非小细胞肺癌患者中PD-L1的表达。 (原文中“and genes”处信息缺失)

Immunohistochemical assays incorporating SP142 and 22C3 monoclonal antibodies for detection of PD-L1 expression in NSCLC patients with known status of and genes.

作者信息

Krawczyk Paweł, Jarosz Bożena, Kucharczyk Tomasz, Grenda Anna, Reszka Katarzyna, Pankowski Juliusz, Wojas-Krawczyk Kamila, Nicoś Marcin, Szumiło Justyna, Trojanowski Tomasz, Milanowski Janusz

机构信息

Department of Pneumonology, Oncology and Allergology, Medical University of Lublin, Lublin, Poland.

Department of Neurosurgery and Pediatric Neurosurgery, Medical University of Lublin, Lublin, Poland.

出版信息

Oncotarget. 2017 Jul 31;8(38):64283-64293. doi: 10.18632/oncotarget.19724. eCollection 2017 Sep 8.

Abstract

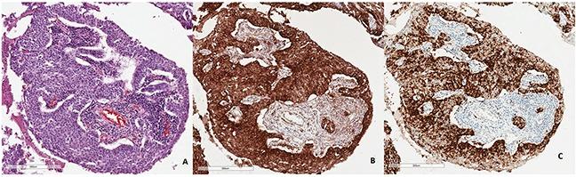
Different immunohistochemical (IHC) assays were approved for PD-L1 expression examination on tumor cells in qualification to immune-checkpoint inhibitors therapy in NSCLC patients. These assays have some similarities, but also very serious differences. We assessed 2 IHC tests for PD-L1 expression evaluation in NSCLC tumors with different pathological diagnoses and genetic abnormalities. We enrolled 48 NSCLC patients (median age: 65 years) with known status of and genes. We compared the effectiveness of PD-L1 expression examination of two IHC assays with 22C3 (Dako) and SP142 antibodies (Ventana). IHC tests were performed in resected tissue samples and in cellblocks from bronchoscopy biopsies (formalin-fixed paraffin-embedded). IHC staining was carried out on Dako Autostainer Link 48 and Ventana Benchmark GX. The percentage of tumors with PD-L1 expression of ≥5% and ≥50% on tumor cells was significantly (p<0.05) higher in assay with 22C3 (66.7% and 45.8%) than with SP142 antibody (39.6% and 22.9%). The median percentage of tumor cells with PD-L1 expression was significantly (p<0.0001) higher in test with 22C3 than with SP142 antibody. Percentage of squamous cell carcinoma (SCC) patients with PD-L1 expression was significantly higher than of non-SCC patients. Large group of patients without PD-L1 expression on tumor cells was identified among patients with common mutations and rearrangement. Our results support that the highest PD-L1 expression on tumor cells occurs in SCC patients and in adenocarcinoma patients without common, druggable genetic abnormalities. The above mentioned results were clearly visible in IHC assay with 22C3 (strong cell staining).

摘要

不同的免疫组织化学(IHC)检测方法已被批准用于非小细胞肺癌(NSCLC)患者免疫检查点抑制剂治疗资格的肿瘤细胞上程序性死亡受体配体1(PD-L1)表达检测。这些检测方法有一些相似之处,但也存在非常显著的差异。我们评估了两种IHC检测方法用于不同病理诊断和基因异常的NSCLC肿瘤中PD-L1表达评估的效果。我们纳入了48例已知 和 基因状态的NSCLC患者(中位年龄:65岁)。我们比较了使用22C3(达科)和SP142抗体(文塔纳)的两种IHC检测方法检测PD-L1表达的有效性。IHC检测在切除的组织样本和支气管镜活检的细胞块(福尔马林固定石蜡包埋)中进行。IHC染色在达科自动染色仪Link 48和文塔纳Benchmark GX上进行。使用22C3检测时,肿瘤细胞上PD-L1表达≥5%和≥50%的肿瘤百分比(分别为66.7%和45.8%)显著(p<0.05)高于使用SP142抗体检测时(分别为39.6%和22.9%)。使用22C3检测时,PD-L1表达的肿瘤细胞的中位百分比显著(p<0.0001)高于使用SP142抗体检测时。鳞状细胞癌(SCC)患者中PD-L1表达的百分比显著高于非SCC患者。在具有常见 突变和 重排的患者中发现了一大组肿瘤细胞上无PD-L1表达的患者。我们的结果支持,肿瘤细胞上最高的PD-L1表达出现在SCC患者以及没有常见的、可靶向治疗的基因异常的腺癌患者中。上述结果在使用22C3的IHC检测(细胞强染色)中清晰可见。

https://cdn.ncbi.nlm.nih.gov/pmc/blobs/4aa5/5610002/652298896a43/oncotarget-08-64283-g001.jpg

文献AI研究员

20分钟写一篇综述,助力文献阅读效率提升50倍。

立即体验

用中文搜PubMed

大模型驱动的PubMed中文搜索引擎

马上搜索

文档翻译

学术文献翻译模型,支持多种主流文档格式。

立即体验