Suppr超能文献

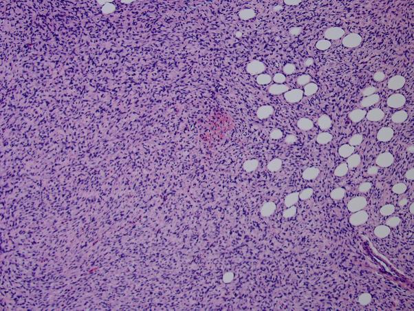
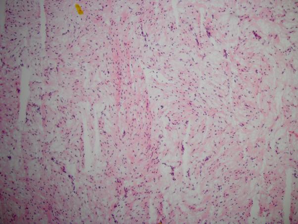
Recurrent dermatofibrosarcoma protuberans treated with neoadjuvant imatinib mesylate followed by Mohs micrographic surgery.

作者信息

Fontecilla Natalia M, Kittler Nicole W, Geskin Larisa, Samie Faramarz H, Niedt George, Imahiyerobo Thomas, Schwartz Gary, Ingham Matt, Lewin Jesse M

机构信息

Columbia University College of Physicians and Surgeons, New York, New York.

Department of Dermatology, Columbia University Medical Center, New York, New York.

出版信息

JAAD Case Rep. 2017 Sep 23;3(6):467-469. doi: 10.1016/j.jdcr.2017.06.019. eCollection 2017 Nov.

Abstract
摘要
https://cdn.ncbi.nlm.nih.gov/pmc/blobs/9112/5614636/57319fa59a29/gr1.jpg

文献AI研究员

20分钟写一篇综述,助力文献阅读效率提升50倍。

立即体验

用中文搜PubMed

大模型驱动的PubMed中文搜索引擎

马上搜索

文档翻译

学术文献翻译模型,支持多种主流文档格式。

立即体验