Suppr超能文献

共伴侣蛋白FKBP51在胶质瘤中PD-L1表达中的调节作用。

A regulatory role for the co-chaperone FKBP51s in PD-L1 expression in glioma.

作者信息

D'Arrigo Paolo, Russo Michele, Rea Anna, Tufano Martina, Guadagno Elia, Del Basso De Caro Maria Laura, Pacelli Roberto, Hausch Felix, Staibano Stefania, Ilardi Gennaro, Parisi Silvia, Romano Maria Fiammetta, Romano Simona

机构信息

Department of Molecular Medicine and Medical Biotechnologies, Federico II University, Naples, Italy.

Department of Advanced Biomedical Sciences, Federico II University, Naples, Italy.

出版信息

Oncotarget. 2017 Jul 17;8(40):68291-68304. doi: 10.18632/oncotarget.19309. eCollection 2017 Sep 15.

Abstract

BACKGROUND

FKBP51 is a co-chaperone with isomerase activity, abundantly expressed in glioma. We previously identified a spliced isoform (FKBP51s) and highlighted a role for this protein in the upregulation of Programmed Death Ligand 1 (PD-L1) expression in melanoma. Because gliomas can express PD-L1 causing a defective host anti-tumoral immunity, we investigated whether FKBP51s was expressed in glioma and played a role in PD-L1 regulation in this tumour.

METHODS

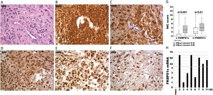
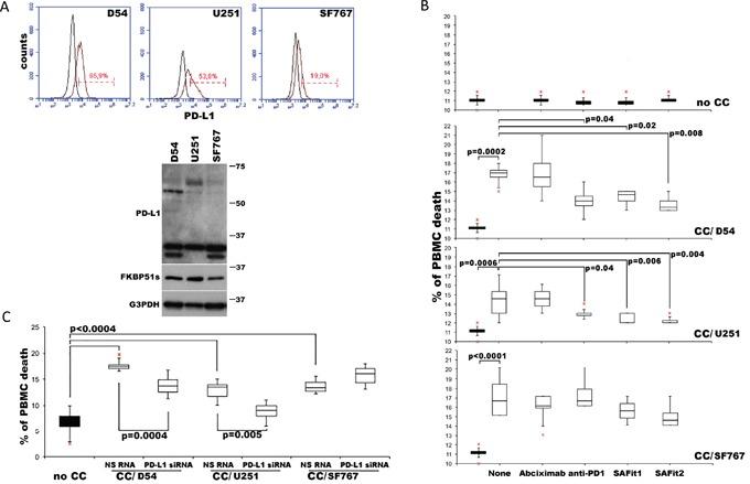
We used D54 and U251 glioblastoma cell lines that constitutively expressed PD-L1. FKBP51s was measured by immunoblot, flow cytometry and microscopy. In patient tumours, IHC and qPCR were used to measure protein and mRNA levels respectively. FKBP51s depletion was achieved by siRNAs, and its enzymatic function was inhibited using selective inhibitors (SAFit). We investigated protein maturation using N-glycosidase and cell fractionation approaches.

RESULTS

FKBP51s was expressed at high levels in glioma cells. Glycosylated-PD-L1 was increased and reduced by FKBP51s overexpression or silencing, respectively. Naïve PD-L1 was found in the endoplasmic reticulum (ER) of glioma cells complexed with FKBP51s, whereas the glycosylated form was measured in the Golgi apparatus. SAFit reduced PD-L1 levels (constitutively expressed and ionizing radiation-induced). SAFit reduced cell death of PBMC co-cultured with glioma.

CONCLUSIONS

Here we addressed the mechanism of post-translational regulation of PD-L1 protein in glioma. FKBP51s upregulated PD-L1 expression on the plasma membrane by catalysing the protein folding required for subsequent glycosylation. Inhibition of FKBP51s isomerase activity by SAFit decreased PD-L1 levels. These findings suggest that FKBP51s is a potential target of immunomodulatory strategies for glioblastoma treatment.

摘要

背景

FKBP51是一种具有异构酶活性的共伴侣蛋白,在胶质瘤中大量表达。我们之前鉴定出一种剪接异构体(FKBP51s),并强调了该蛋白在黑色素瘤中程序性死亡配体1(PD-L1)表达上调中的作用。由于胶质瘤可表达PD-L1,导致宿主抗肿瘤免疫功能缺陷,我们研究了FKBP51s是否在胶质瘤中表达,并在该肿瘤的PD-L1调节中发挥作用。

方法

我们使用了组成性表达PD-L1的D54和U251胶质母细胞瘤细胞系。通过免疫印迹、流式细胞术和显微镜检测FKBP51s。在患者肿瘤中,分别使用免疫组化和qPCR检测蛋白和mRNA水平。通过小干扰RNA实现FKBP51s的缺失,并使用选择性抑制剂(SAFit)抑制其酶活性。我们使用N-糖苷酶和细胞分级分离方法研究蛋白质成熟过程。

结果

FKBP51s在胶质瘤细胞中高水平表达。FKBP51s的过表达或沉默分别增加或降低了糖基化的PD-L1水平。在胶质瘤细胞的内质网中发现未成熟的PD-L1与FKBP51s复合,而糖基化形式则在高尔基体中检测到。SAFit降低了PD-L1水平(组成性表达的和电离辐射诱导的)。SAFit减少了与胶质瘤共培养的外周血单核细胞的细胞死亡。

结论

在此我们探讨了胶质瘤中PD-L1蛋白的翻译后调控机制。FKBP51s通过催化后续糖基化所需的蛋白质折叠,上调了质膜上的PD-L1表达。SAFit对FKBP51s异构酶活性的抑制降低了PD-L1水平。这些发现表明,FKBP51s是胶质母细胞瘤治疗免疫调节策略的一个潜在靶点。

https://cdn.ncbi.nlm.nih.gov/pmc/blobs/0cc8/5620257/ae84cad4024d/oncotarget-08-68291-g001.jpg

文献AI研究员

20分钟写一篇综述,助力文献阅读效率提升50倍。

立即体验

用中文搜PubMed

大模型驱动的PubMed中文搜索引擎

马上搜索

文档翻译

学术文献翻译模型,支持多种主流文档格式。

立即体验