Suppr超能文献

锌转运蛋白 8 异二聚体的原核表达与鉴定及其在糖尿病自身抗体检测中的应用。

Prokaryotic expression and characterization of the heterodimeric construction of ZnT8 and its application for autoantibodies detection in diabetes mellitus.

机构信息

Universidad de Buenos Aires, Facultad de Farmacia y Bioquímica, Departamento de Microbiología, Inmunología, Biotecnología y Genética, Cátedra de Inmunología, Buenos Aires, Argentina.

CONICET-Universidad de Buenos Aires, Instituto de Estudios de la Inmunidad Humoral "Prof. Ricardo A. Margni" (IDEHU), Buenos Aires, Argentina.

出版信息

Microb Cell Fact. 2017 Nov 13;16(1):196. doi: 10.1186/s12934-017-0816-4.

Abstract

BACKGROUND

In the present work we described the recombinant production and characterization of heterodimeric construction ZnT8-Arg-Trp325 fused to thioredoxin using a high-performance expression system such as Escherichia coli. In addition, we apply this novel recombinant antigen in a non-radiometric method, with high sensitivity, low operational complexity and lower costs.

RESULTS

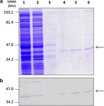
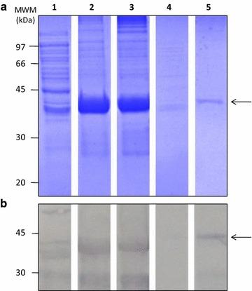
ZnT8 was expressed in E. coli as a fusion protein with thioredoxin (TrxZnT8). After 3 h for induction, recombinant protein was obtained from the intracellular soluble fraction and from inclusion bodies and purified by affinity chromatography. The expression and purification steps, analyzed by SDS-PAGE and western blot, revealed a band compatible with TrxZnT8 expected theoretical molecular weight (≈ 36.8 kDa). The immunochemical ability of TrxZnT8 to compete with [S]ZnT8 (synthesized with rabbit reticulocyte lysate system) was assessed qualitatively by incubating ZnT8A positive patient sera in the presence of 0.2-0.3 μM TrxZnT8. Results were expressed as standard deviation scores (SDs). All sera became virtually negative under antigen excess (19.26-1.29 for TrxZnT8). Also, radiometric quantitative competition assays with ZnT8A positive patient sera were performed by adding TrxZnT8 (37.0 pM-2.2 µM), using [S]ZnT8. All dose-response curves showed similar protein concentration that caused 50% inhibition (14.9-0.15 nM for TrxZnT8). On the other hand, preincubated bridge ELISA for ZnT8A detection was developed. This assay showed 51.7% of sensitivity and 97.1% of specificity.

CONCLUSIONS

It was possible to obtain with high-yield purified heterodimeric construction of ZnT8 in E. coli and it was applied in cost-effective immunoassay for ZnT8A detection.

摘要

背景

本研究采用高效表达系统大肠杆菌,描述了融合硫氧还蛋白(Trx)的异二聚体结构 ZnT8-Arg-Trp325 的重组生产和特性。此外,我们还将这种新型重组抗原应用于非放 射性方法,该方法具有高灵敏度、低操作复杂性和低成本的特点。

结果

ZnT8 在大肠杆菌中作为硫氧还蛋白(Trx)融合蛋白表达。诱导 3 小时后,重组蛋白从细胞内可溶性部分和包涵体中获得,并通过亲和层析纯化。SDS-PAGE 和 Western blot 分析显示,表达和纯化步骤得到了与 TrxZnT8 预期理论分子量(≈36.8 kDa)相符的条带。通过在 0.2-0.3 μM TrxZnT8 存在下孵育 ZnT8A 阳性患者血清,评估了 TrxZnT8 与 [S]ZnT8(用兔网织红细胞裂解物系统合成)竞争的免疫化学能力。结果表示为标准偏差分数(SD)。在抗原过量的情况下(TrxZnT8 为 19.26-1.29),所有血清几乎都呈阴性。此外,还使用 [S]ZnT8 对 ZnT8A 阳性患者血清进行放射性定量竞争测定,加入 TrxZnT8(37.0 pM-2.2 μM)。所有剂量反应曲线显示出相似的蛋白浓度,引起 50%抑制(TrxZnT8 为 14.9-0.15 nM)。另一方面,开发了用于 ZnT8A 检测的预孵育桥 ELISA。该测定法的灵敏度为 51.7%,特异性为 97.1%。

结论

可以在大肠杆菌中获得高产纯化的 ZnT8 异二聚体结构,并将其应用于具有成本效益的 ZnT8A 检测免疫测定。

https://cdn.ncbi.nlm.nih.gov/pmc/blobs/c460/5683521/52596e835fad/12934_2017_816_Fig1_HTML.jpg

文献AI研究员

20分钟写一篇综述,助力文献阅读效率提升50倍。

立即体验

用中文搜PubMed

大模型驱动的PubMed中文搜索引擎

马上搜索

文档翻译

学术文献翻译模型,支持多种主流文档格式。

立即体验