Suppr超能文献

β-抑制蛋白1在肺腺癌中的亚细胞定位及其预后价值

Subcellular localization of β-arrestin1 and its prognostic value in lung adenocarcinoma.

作者信息

Li Xiaowei, Che Keying, Wang Liguang, Zhang Tiehong, Wang Guanghui, Pang Zhaofei, Shen Hongchang, Du Jiajun

机构信息

Institute of Oncology Department of Anesthesiology Department of Oncology Department of Thoracic Surgery, Shandong Provincial Hospital Affiliated to Shandong University, Jinan, P.R. China.

出版信息

Medicine (Baltimore). 2017 Nov;96(45):e8450. doi: 10.1097/MD.0000000000008450.

Abstract

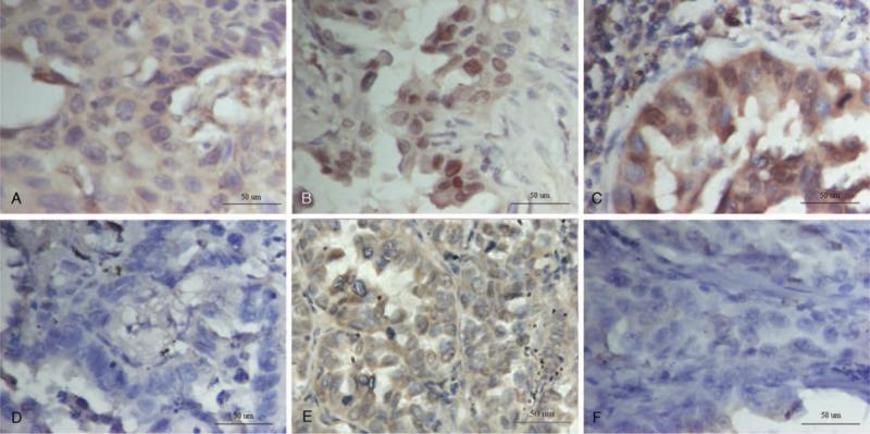
β-Arrestins play important roles in cancer progression, and the subcellular localization of β-arrestin1 has been receiving increasingly more attention. Intriguingly, several studies, including some of our previous work, showed that the effects of β-arrestin1 on outcomes of cancer patients were controversial.Specimens were obtained from 133 patients with lung adenocarcinoma. Immunohistochemistry was used to detect the expression of β-arrestin1 and p300 in the collected tissues. The Kaplan-Meier analysis and Cox proportional hazards regression were used to examine the relationship between β-arrestin1 and patient survival.We found no significant association between β-arrestin1 and clinicopathological variables. The Kaplan-Meier plot showed that patients with high expression of β-arrestin1 (especially in the nucleus) had a poorer overall survival (OS) and shorter disease-free survival (DFS) (P = .026, P = .015). Additionally, high p300 expression also resulted in worse OS (P = .039). Following the univariate analysis, high expressions of nuclear β-arrestin1 and p300 were classed as poor prognostic factors for both OS (P = .016) and DFS (P = .025).The expression of β-arrestin1 in the nucleus is associated with increased malignant tendency of lung adenocarcinoma, and the predictive value of β-arrestin1 may be optimized by combining information about the expression of p300 acetyltransferase.

摘要

β - 抑制蛋白在癌症进展中发挥重要作用,β - 抑制蛋白1的亚细胞定位越来越受到关注。有趣的是,包括我们之前的一些工作在内的多项研究表明,β - 抑制蛋白1对癌症患者预后的影响存在争议。从133例肺腺癌患者中获取标本。采用免疫组织化学法检测收集组织中β - 抑制蛋白1和p300的表达。采用Kaplan - Meier分析和Cox比例风险回归分析来研究β - 抑制蛋白1与患者生存率之间的关系。我们发现β - 抑制蛋白1与临床病理变量之间无显著关联。Kaplan - Meier曲线显示,β - 抑制蛋白1高表达(尤其是在细胞核中)的患者总生存期(OS)较差,无病生存期(DFS)较短(P = 0.026,P = 0.015)。此外,p300高表达也导致OS较差(P = 0.039)。单因素分析后,细胞核β - 抑制蛋白1和p300的高表达被归类为OS(P = 0.016)和DFS(P = 0.025)的不良预后因素。细胞核中β - 抑制蛋白1的表达与肺腺癌恶性倾向增加有关,结合p300乙酰转移酶表达信息可能会优化β - 抑制蛋白1的预测价值。

https://cdn.ncbi.nlm.nih.gov/pmc/blobs/3789/5690724/d29de9ded419/medi-96-e8450-g002.jpg

文献AI研究员

20分钟写一篇综述,助力文献阅读效率提升50倍。

立即体验

用中文搜PubMed

大模型驱动的PubMed中文搜索引擎

马上搜索

文档翻译

学术文献翻译模型,支持多种主流文档格式。

立即体验