Suppr超能文献

激活信号转导和转录激活因子 3 的过度表达预示着上尿路尿路上皮癌预后不良。

Over-expression of Activated Signal Transducer and Activator of Transcription 3 Predicts Poor Prognosis in Upper Tract Urothelial Carcinoma.

机构信息

Department of Urology, Kaohsiung Medical University Hospital, Kaohsiung Medical University, Kaohsiung, Taiwan.

Graduate Institute of Medicine, College of Medicine, Kaohsiung Medical University, Kaohsiung, Taiwan.

出版信息

Int J Med Sci. 2017 Oct 15;14(13):1360-1367. doi: 10.7150/ijms.17367. eCollection 2017.

Abstract

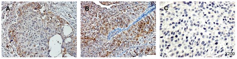
Signal transducer and activator of transcription proteins (STATs) play important roles in gene regulation, cell proliferation, and cell differentiation. We aimed to establish the relationship between phosphorylated STAT3 (p-Ser-STAT3) expression and the prognosis of upper tract urothelial carcinoma (UTUC). This study retrospectively reviewed 100 patients with pathologically confirmed UTUC at Kaohsiung Medical University Hospital. We quantified the expression of p-Ser-STAT3 in cancer cells by immunohistochemistry, and determined the clinicopathological significance of p-Ser-STAT3 expression and prognostic outcomes in patients with UTUC. High p-Ser-STAT3 expression was detected in 52% of UTUC patients. High p-Ser-STAT3 expression was associated with poor recurrence-free survival ( = 0.018) and overall survival ( = 0.026). In advanced cancer samples (stage T3/T4), p-Ser-STAT3 expression is the only independent prognostic factor for recurrence-free survival (hazard ratio = 5.91, = 0.01) and cancer-specific survival (hazard ratio = 8.83, = 0.039). The expression of p-Ser-STAT3 can be a potential prognostic marker for cancer recurrence and survival in UTUC, especially in advanced stage cases.

摘要

信号转导子和转录激活子蛋白(STATs)在基因调控、细胞增殖和细胞分化中发挥重要作用。我们旨在建立磷酸化 STAT3(p-Ser-STAT3)表达与上尿路上皮癌(UTUC)预后之间的关系。本研究回顾性分析了高雄医学大学附属医院经病理证实的 100 例 UTUC 患者。我们通过免疫组织化学定量检测癌细胞中 p-Ser-STAT3 的表达,并确定了 p-Ser-STAT3 表达与 UTUC 患者临床病理特征和预后结局的相关性。在 52%的 UTUC 患者中检测到高 p-Ser-STAT3 表达。高 p-Ser-STAT3 表达与无复发生存率(=0.018)和总生存率(=0.026)较差相关。在晚期癌症样本(T3/T4 期)中,p-Ser-STAT3 表达是无复发生存率(风险比=5.91,=0.01)和癌症特异性生存率(风险比=8.83,=0.039)的唯一独立预后因素。p-Ser-STAT3 的表达可能是 UTUC 中癌症复发和生存的潜在预后标志物,尤其是在晚期病例中。

https://cdn.ncbi.nlm.nih.gov/pmc/blobs/095c/5707752/ce35a8534229/ijmsv14p1360g001.jpg

文献AI研究员

20分钟写一篇综述,助力文献阅读效率提升50倍。

立即体验

用中文搜PubMed

大模型驱动的PubMed中文搜索引擎

马上搜索

文档翻译

学术文献翻译模型,支持多种主流文档格式。

立即体验