Suppr超能文献

核层蛋白 A/C 利用核周顶端肌动蛋白缆线来保护核形态。

Nuclear lamin A/C harnesses the perinuclear apical actin cables to protect nuclear morphology.

机构信息

KU-KIST Graduate School of Converging Science and Technology, Korea University, Seoul, 02841, South Korea.

Department of Civil and Environmental Engineering, University of Massachusetts Dartmouth, Dartmouth, MA, 02747, USA.

出版信息

Nat Commun. 2017 Dec 14;8(1):2123. doi: 10.1038/s41467-017-02217-5.

Abstract

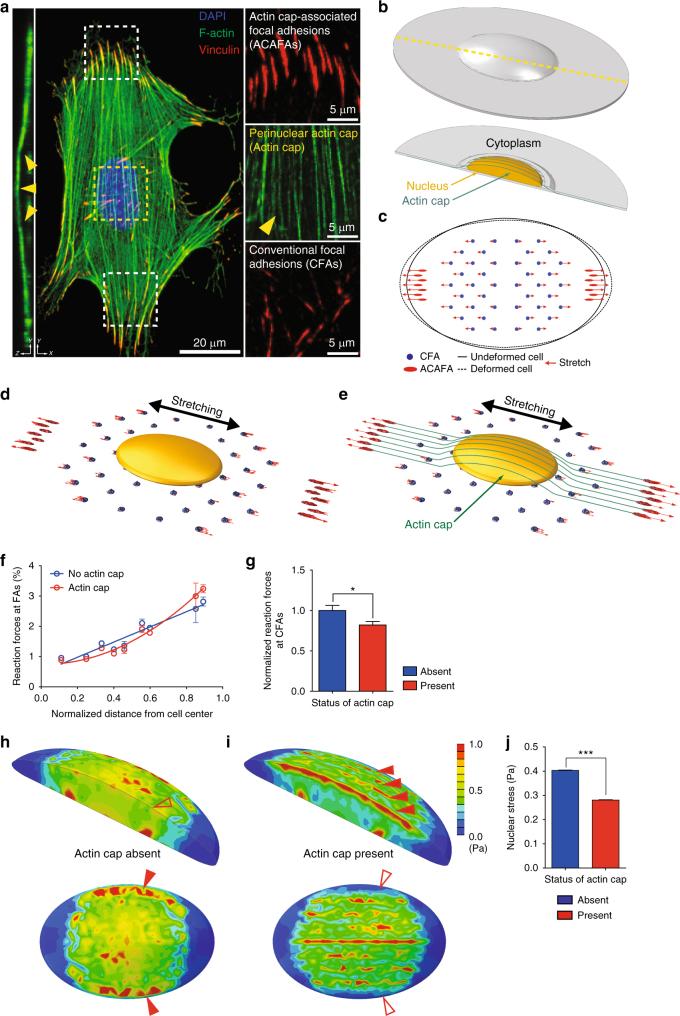
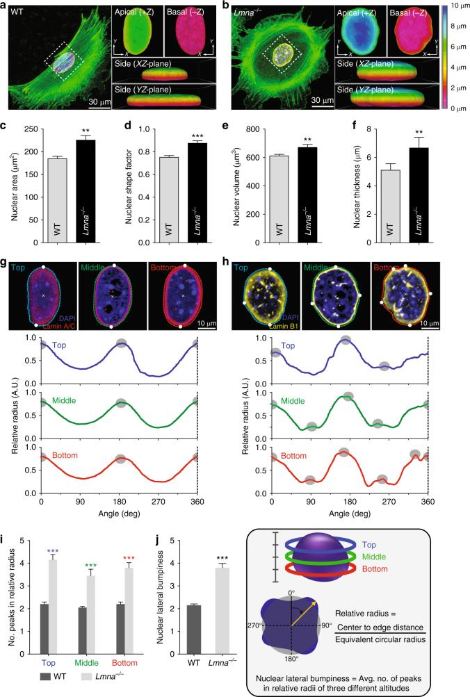
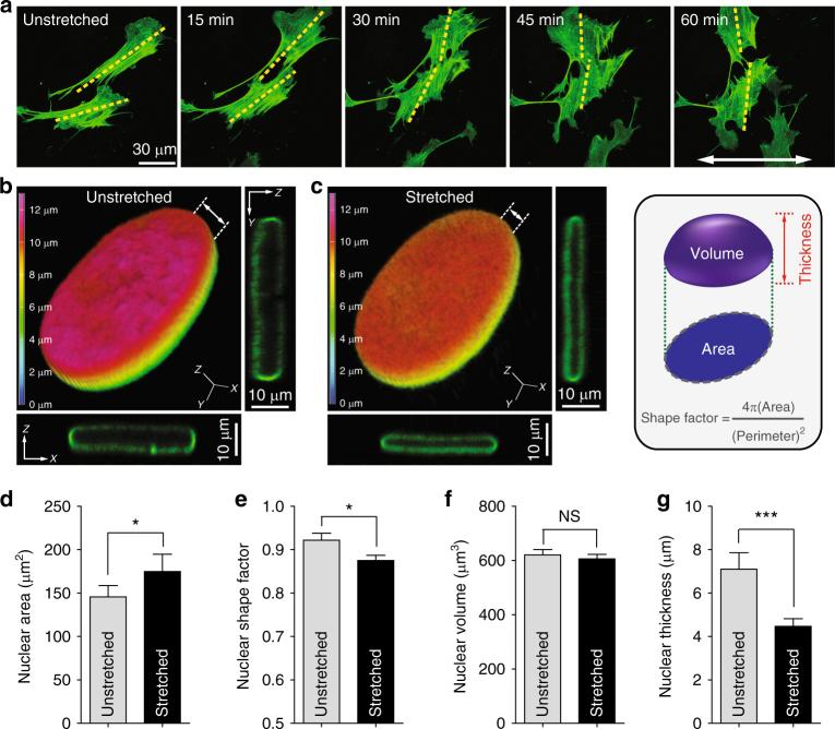
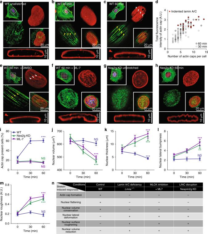
The distinct spatial architecture of the apical actin cables (or actin cap) facilitates rapid biophysical signaling between extracellular mechanical stimuli and intracellular responses, including nuclear shaping, cytoskeletal remodeling, and the mechanotransduction of external forces into biochemical signals. These functions are abrogated in lamin A/C-deficient mouse embryonic fibroblasts that recapitulate the defective nuclear organization of laminopathies, featuring disruption of the actin cap. However, how nuclear lamin A/C mediates the ability of the actin cap to regulate nuclear morphology remains unclear. Here, we show that lamin A/C expressing cells can form an actin cap to resist nuclear deformation in response to physiological mechanical stresses. This study reveals how the nuclear lamin A/C-mediated formation of the perinuclear apical actin cables protects the nuclear structural integrity from extracellular physical disturbances. Our findings highlight the role of the physical interactions between the cytoskeletal network and the nucleus in cellular mechanical homeostasis.

摘要

顶端肌动蛋白纤维(或肌动蛋白帽)独特的空间结构促进了细胞外机械刺激和细胞内反应之间的快速生物物理信号传递,包括核形状的改变、细胞骨架的重塑以及外力向生化信号的机械转导。这些功能在层粘连蛋白 A/C 缺陷型小鼠胚胎成纤维细胞中被废除,这些细胞再现了层粘连蛋白病的缺陷核组织,表现出肌动蛋白帽的破坏。然而,核层粘连蛋白 A/C 如何介导肌动蛋白帽调节核形态的能力仍不清楚。在这里,我们表明,表达层粘连蛋白 A/C 的细胞可以形成肌动蛋白帽,以抵抗生理机械应力引起的核变形。这项研究揭示了核层粘连蛋白 A/C 介导的核周顶端肌动蛋白纤维的形成如何保护核结构的完整性免受细胞外物理干扰。我们的研究结果强调了细胞骨架网络和核之间的物理相互作用在细胞机械动态平衡中的作用。

https://cdn.ncbi.nlm.nih.gov/pmc/blobs/6011/5730574/6af05abadca9/41467_2017_2217_Fig1_HTML.jpg

文献AI研究员

20分钟写一篇综述,助力文献阅读效率提升50倍。

立即体验

用中文搜PubMed

大模型驱动的PubMed中文搜索引擎

马上搜索

文档翻译

学术文献翻译模型,支持多种主流文档格式。

立即体验