Suppr超能文献

通用型/亚型特异性抗体用于定量分析三价流感疫苗中的神经氨酸酶。

Universal type/subtype-specific antibodies for quantitative analyses of neuraminidase in trivalent influenza vaccines.

机构信息

The State Key Laboratory of Cancer Biology, Department of Biochemistry and Molecular Biology, The Fourth Military Medical University, Xi'an, Shaanxi, 710032, P.R. China.

National Institutes for Food and Drug Control and WHO Collaborating Center for Standardization and Evaluation of Biologicals, Beijing, 102619, P.R. China.

出版信息

Sci Rep. 2018 Jan 18;8(1):1067. doi: 10.1038/s41598-017-18663-6.

Abstract

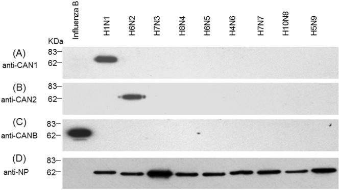
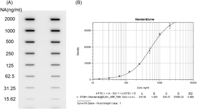
Both influenza viral hemagglutinin and neuraminidase can induce protective immune responses in humans. Although the viral hemagglutinin antigens have been quantified in influenza vaccines, the amounts of neuraminidase remain undetermined. Using comprehensive bioinformatics analyses of all neuraminidase sequences, we identified highly conserved and subtype-specific peptide epitopes within each of N1, N2 and type B neuraminidase groups. Mono-specific antibodies generated against these peptides bound to their respective subtype/type only while demonstrating remarkable specificity against the viral neuraminidase sequences without any cross-reactivity with allantoic and cellular proteins. Moreover, the subtype/type-specific antibodies were found not to interfere with one another when a mixture of vaccine samples was analysed. Importantly, immunoassay based on these antibodies can quantitatively determine neuraminidase in commercial trivalent vaccine samples. Analyses of vaccines from eight manufacturers using the same vaccine seeds revealed significant differences in neuraminidase levels. Specifically, while the ratio between neuraminidase and hemagglutinin in some products are found to be close 1/5, other products have a ratio of approximately 1/100, a level which is far below the theoretical ratio between neuraminidase and hemagglutinin in a virus. The antibody-based assays reported here could be of great value for better quality control of both monovalent and trivalent vaccines.

摘要

流感病毒的血凝素和神经氨酸酶均可在人体内诱导保护性免疫应答。虽然流感疫苗中已经对病毒血凝素抗原进行了定量,但神经氨酸酶的含量仍未确定。通过对所有神经氨酸酶序列进行全面的生物信息学分析,我们在 N1、N2 和 B 型神经氨酸酶组中每个亚型内鉴定出高度保守和亚型特异性的肽表位。针对这些肽段产生的单特异性抗体仅与其相应的亚型/类型结合,而对病毒神经氨酸酶序列具有显著的特异性,与所有antoic 和细胞蛋白无任何交叉反应。此外,当分析混合疫苗样本时,发现这些亚型/类型特异性抗体不会相互干扰。重要的是,基于这些抗体的免疫测定法可以定量测定商业三价疫苗样本中的神经氨酸酶。使用相同疫苗种子对来自 8 家制造商的疫苗进行分析表明,神经氨酸酶水平存在显著差异。具体而言,虽然一些产品中神经氨酸酶与血凝素的比例接近 1/5,但其他产品的比例约为 1/100,远低于病毒中神经氨酸酶与血凝素之间的理论比例。本研究报告的抗体检测法对于单价和三价疫苗的更好质量控制可能具有重要价值。

https://cdn.ncbi.nlm.nih.gov/pmc/blobs/4e5e/5773574/c5216137d044/41598_2017_18663_Fig1_HTML.jpg

文献AI研究员

20分钟写一篇综述,助力文献阅读效率提升50倍。

立即体验

用中文搜PubMed

大模型驱动的PubMed中文搜索引擎

马上搜索

文档翻译

学术文献翻译模型,支持多种主流文档格式。

立即体验