Suppr超能文献

儿科患者阑尾腔内和腔外微生物群:一项比较研究。

The intra- and extraluminal appendiceal microbiome in pediatric patients: A comparative study.

作者信息

Schülin Sara, Schlichting Nadine, Blod Carlotta, Opitz Sabine, Suttkus Anne, Stingu Catalina Suzana, Barry Kathryn, Lacher Martin, Bühligen Ulf, Mayer Steffi

机构信息

Department of Pediatric Surgery, University Hospital Leipzig Experimental Surgery/CardiOMICs Research Group, Department of Diagnostics and New Technologies, Fraunhofer Institute for Cell Therapy and Immunology Institute of Pathology, University Hospital Leipzig Institute for Microbiology und Epidemiology of Infectious Diseases, University Hospital Leipzig Systematic Botany and Functional Biodiversity, Institute for Biology, University of Leipzig, Leipzig, Germany.

出版信息

Medicine (Baltimore). 2017 Dec;96(52):e9518. doi: 10.1097/MD.0000000000009518.

Abstract

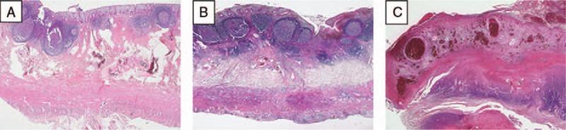
Intestinal microbiota is involved in metabolic processes and the pathophysiology of various gastrointestinal disorders. We aimed to characterize the microbiome of the appendix in acute pediatric appendicitis comparing extraluminal and intraluminal samples.Between January and June 2015, 29 children (3-17 years, mean age 10.7 ± 3.4 years, sex M:F = 2.6:1) undergoing laparoscopic appendectomy for acute appendicitis were prospectively included in the study. Samples for bacterial cultures (n = 29) and 16S ribosomal desoxyribonucleic acid (rDNA) sequencing (randomly chosen n = 16/29) were taken intracorporeally from the appendiceal surface before preparation ("extraluminal") and from the appendiceal lumen after removal ("intraluminal"). The degree of inflammation was histologically classified into catarrhal, phlegmonous, and gangrenous appendicitis.Seventeen bacterial species were cultivated in 28 of 29 intraluminal samples and 4 species were cultivated in 2 of 29 extraluminal samples. Using 16S rDNA sequencing, 267 species were detected in intraluminal but none in extraluminal samples. Abundance and diversity of detected species differed significantly between histological groups of acute appendicitis in bacterial cultures (P = .001), but not after 16S rDNA sequencing.The appendiceal microbiome showed a high diversity in acute pediatric appendicitis. The intraluminal microbial composition differed significantly depending on the degree of inflammation. As bacteria were rarely found extraluminally by culture and not at all by sequencing, the inflammation in acute appendicitis may start inside the appendix and spread transmurally.

摘要

肠道微生物群参与代谢过程以及各种胃肠道疾病的病理生理学。我们旨在比较急性小儿阑尾炎阑尾腔外和腔内样本的微生物群特征。2015年1月至6月,29名因急性阑尾炎接受腹腔镜阑尾切除术的儿童(3 - 17岁,平均年龄10.7±3.4岁,男:女 = 2.6:1)被前瞻性纳入研究。在准备前从阑尾表面体内采集细菌培养样本(n = 29)和16S核糖体脱氧核糖核酸(rDNA)测序样本(随机选择n = 16/29)(“腔外”),并在切除后从阑尾腔内采集样本(“腔内”)。炎症程度经组织学分类为卡他性、蜂窝织炎性和坏疽性阑尾炎。在29个腔内样本中的28个培养出了17种细菌,在29个腔外样本中的2个培养出了4种细菌。使用16S rDNA测序,在腔内样本中检测到267种细菌,而在腔外样本中未检测到。在细菌培养中,急性阑尾炎组织学组间检测到的细菌种类的丰度和多样性有显著差异(P = 0.001),但16S rDNA测序后无显著差异。急性小儿阑尾炎的阑尾微生物群具有高度多样性。腔内微生物组成因炎症程度不同而有显著差异。由于通过培养在腔外很少发现细菌,通过测序则完全未发现,急性阑尾炎的炎症可能始于阑尾内部并透壁扩散。

https://cdn.ncbi.nlm.nih.gov/pmc/blobs/89f2/6393148/84e30dd868a3/medi-96-e9518-g001.jpg

文献AI研究员

20分钟写一篇综述,助力文献阅读效率提升50倍。

立即体验

用中文搜PubMed

大模型驱动的PubMed中文搜索引擎

马上搜索

文档翻译

学术文献翻译模型,支持多种主流文档格式。

立即体验