Suppr超能文献

当免疫细胞“叛变”——胶质瘤中的肿瘤相关小胶质细胞/巨噬细胞。

When Immune Cells Turn Bad-Tumor-Associated Microglia/Macrophages in Glioma.

机构信息

Division of Experimental Neurosurgery, Department of Neurosurgery, University Hospital Heidelberg, INF400, 69120 Heidelberg, Germany.

出版信息

Int J Mol Sci. 2018 Feb 1;19(2):436. doi: 10.3390/ijms19020436.

Abstract

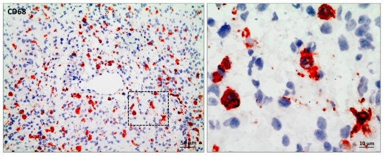
As a substantial part of the brain tumor microenvironment (TME), glioma-associated microglia/macrophages (GAMs) have an emerging role in tumor progression and in controlling anti-tumor immune responses. We review challenges and improvements of cell models and highlight the contribution of this highly plastic cell population to an immunosuppressive TME, besides their well-known functional role regarding glioma cell invasion and angiogenesis. Finally, we summarize first therapeutic interventions to target GAMs and their effect on the immunobiology of gliomas, focusing on their interaction with T cells.

摘要

作为脑肿瘤微环境(TME)的重要组成部分,神经胶质瘤相关的小胶质细胞/巨噬细胞(GAMs)在肿瘤进展和控制抗肿瘤免疫反应中具有重要作用。我们综述了细胞模型的挑战和改进,并强调了这种高度可塑性细胞群体对免疫抑制性 TME 的贡献,除了它们在神经胶质瘤细胞浸润和血管生成方面的众所周知的功能作用。最后,我们总结了靶向 GAMs 的首次治疗干预及其对神经胶质瘤免疫生物学的影响,重点关注它们与 T 细胞的相互作用。

https://cdn.ncbi.nlm.nih.gov/pmc/blobs/9320/5855658/202b330be4a4/ijms-19-00436-g001.jpg

文献AI研究员

20分钟写一篇综述,助力文献阅读效率提升50倍。

立即体验

用中文搜PubMed

大模型驱动的PubMed中文搜索引擎

马上搜索

文档翻译

学术文献翻译模型,支持多种主流文档格式。

立即体验