Suppr超能文献

飞燕草素通过 ERK/p38 MAPK 信号通路诱导人骨肉瘤细胞系凋亡并抑制上皮间质转化。

Delphinidin induces apoptosis and inhibits epithelial-to-mesenchymal transition via the ERK/p38 MAPK-signaling pathway in human osteosarcoma cell lines.

机构信息

Department of Oral Anatomy, School of Dentistry, Pusan National University, Busandaehak-ro, 49, Mulguem-eup, Yangsan-si, Gyeongsangnam-do, 50612, South Korea.

BK21 PLUS Project, School of Dentistry, Pusan National University, Busandaehak-ro, 49, Mulguem-eup, Yangsan-si, Gyeongsangnam-do, 50612, South Korea.

出版信息

Environ Toxicol. 2018 Jun;33(6):640-649. doi: 10.1002/tox.22548. Epub 2018 Feb 16.

Abstract

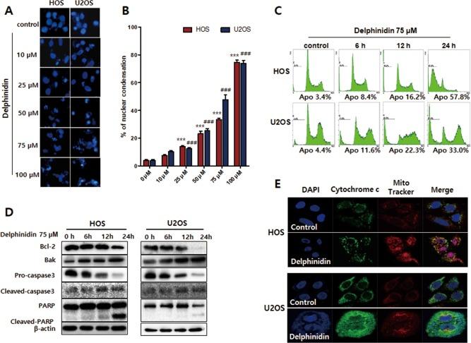
Delphinidin is major anthocyanidin that is extracted from many pigmented fruits and vegetables. This substance has anti-oxidant, anti-inflammatory, anti-angiogenic, and anti-cancer properties. In addition, delphinidin strongly suppresses the migration and invasion of various cancer cells during tumorigenesis. Although delphinidin has anti-cancer effects, little is known about its functional roles in osteosarcoma (OS). For these reasons, we have demonstrated the effects of delphinidin on OS cell lines. The effects of delphinidin on cell viability and growth of OS cells were assessed using the MTT assay and colony formation assays. Hoechst staining indicated that the delphinidin-treated OS cells were undergoing apoptosis. Flow cytometry, confocal microscopy, and a western blot analysis also indicated evidence of apoptosis. Inhibition of cell migration and invasion was found to be associated with epithelial-to-mesenchymal transition (EMT), observed by using a wound healing assay, an invasion assay, and a western blot analysis. Furthermore, delphinidin treatment resulted in a profound reduction of phosphorylated forms of ERK and p38. These findings demonstrate that delphinidin treatment suppressed EMT through the mitogen-activated protein kinase (MAPK) signaling pathway in OS cell lines. Taken together, our results suggest that delphinidin strongly inhibits cell proliferation and induces apoptosis. Delphinidin treatment also suppresses cell migration and prevents EMT via the MAPK-signaling pathway in OS cell lines. For these reasons, delphinidin has anti-cancer effects and can suppress metastasis in OS cell lines, and it might be worth using as an OS therapeutic agent.

摘要

飞燕草素是从许多有色水果和蔬菜中提取的主要花色苷。这种物质具有抗氧化、抗炎、抗血管生成和抗癌特性。此外,飞燕草素强烈抑制肿瘤发生过程中各种癌细胞的迁移和侵袭。尽管飞燕草素有抗癌作用,但对其在骨肉瘤(OS)中的功能作用知之甚少。基于这些原因,我们已经证明了飞燕草素对 OS 细胞系的影响。使用 MTT 分析和集落形成分析评估飞燕草素对 OS 细胞活力和生长的影响。Hoechst 染色表明飞燕草素处理的 OS 细胞正在发生细胞凋亡。流式细胞术、共聚焦显微镜和 Western blot 分析也表明存在细胞凋亡的证据。抑制细胞迁移和侵袭与上皮间质转化(EMT)有关,通过划痕愈合试验、侵袭试验和 Western blot 分析观察到 EMT。此外,发现细胞迁移和侵袭的抑制与 ERK 和 p38 的磷酸化形式有关。这些发现表明,飞燕草素通过丝裂原活化蛋白激酶(MAPK)信号通路抑制 EMT 在 OS 细胞系中。综上所述,我们的研究结果表明,飞燕草素强烈抑制细胞增殖并诱导细胞凋亡。飞燕草素处理还通过 MAPK 信号通路抑制 OS 细胞系中的细胞迁移并阻止 EMT。基于这些原因,飞燕草素有抗癌作用,可以抑制 OS 细胞系中的转移,可能值得用作 OS 治疗剂。

https://cdn.ncbi.nlm.nih.gov/pmc/blobs/fb7c/5969316/1f6dd71be9f4/TOX-33-640-g001.jpg

文献AI研究员

20分钟写一篇综述,助力文献阅读效率提升50倍。

立即体验

用中文搜PubMed

大模型驱动的PubMed中文搜索引擎

马上搜索

文档翻译

学术文献翻译模型,支持多种主流文档格式。

立即体验