Suppr超能文献

两个糖酵解标志物 GLUT1 和 MCT1 与透明细胞肾细胞癌的肿瘤分级和生存相关。

The two glycolytic markers GLUT1 and MCT1 correlate with tumor grade and survival in clear-cell renal cell carcinoma.

机构信息

Nice University Hospital, Department of Pathology, Nice, France.

UCA, Université Côte d'Azur, Nice-Sophia-Antipolis, Institute for Research on Cancer and Aging of Nice, CNRS-UMR 7284-Inserm U1081, Nice, France.

出版信息

PLoS One. 2018 Feb 26;13(2):e0193477. doi: 10.1371/journal.pone.0193477. eCollection 2018.

Abstract

BACKGROUND

Clear-cell renal cell carcinoma (ccRCC) is the most common type of kidney cancer. Although ccRCC is characterized by common recurrent genetic abnormalities, including inactivation of the von Hippel-Lindau (vhl) tumor suppressor gene resulting in stabilization of hypoxia-inducible factors (HIFs), the tumor aggressiveness and outcome of ccRCC is variable. New biomarkers are thus required to improve ccRCC diagnosis, prognosis and therapeutic options. This work aims to investigate the expression of HIF and proteins involved in metabolism and pH regulation. Their correlation to histoprognostic parameters and survival was analyzed.

METHODS

ccRCC of 45 patients were analyzed. HIF-1α, HIF-2α, HAF, GLUT1, MCT1, MCT4, CAIX and CAXII expression was assessed by immunohistochemistry in a semi-quantitative and qualitative manner. The GLUT1, MCT1, MCT4, CAIX and CAXII mRNA levels were analyzed in an independent cohort of 43 patients.

RESULTS

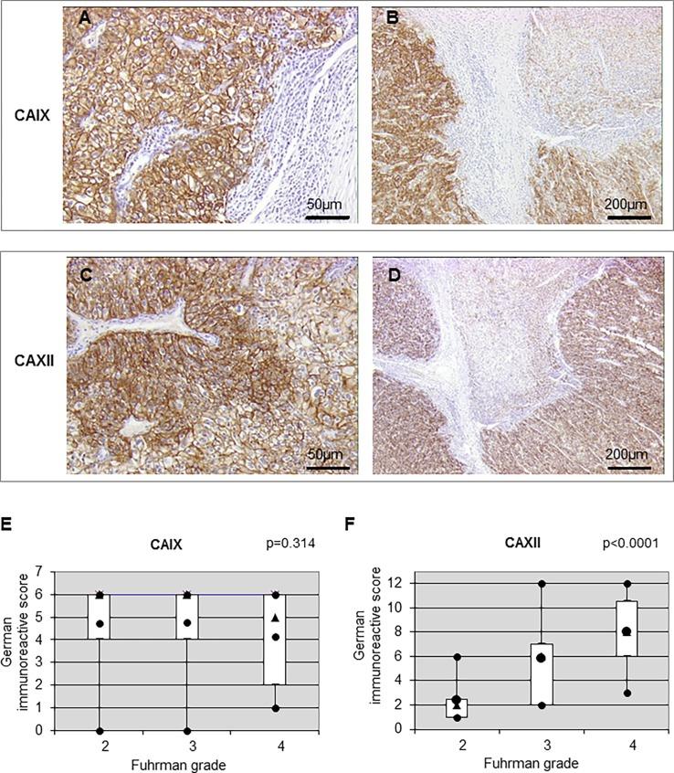
A significant correlation was observed between increased GLUT1, MCT1, CAXII protein expression and a high Fuhrman grade in ccRCC patients. Moreover, while HIF-1α, HIF-2α and HAF expression was heterogenous within tumors, we observed and confirmed that HIF-2α co-localized with HAF. We confirmed, in an independent cohort, that GLUT1, MCT1 and CAXII mRNA levels correlated with the Fuhrman grade. Moreover, we demonstrated that the high mRNA level of both MCT1 and GLUT1 correlated with poor prognosis.

CONCLUSIONS

This study demonstrates for the first time a link between the aggressiveness of high- Fuhrman grade ccRCC and metabolic reprogramming. It also confirms the role of HIF-2α and HAF in tumor invasiveness. Finally, these results demonstrate that MCT1 and GLUT1 are strong prognostic markers and promising therapeutic targets.

摘要

背景

透明细胞肾细胞癌(ccRCC)是最常见的肾癌类型。尽管 ccRCC 的特征是常见的复发性遗传异常,包括抑癌基因 von Hippel-Lindau(vhl)失活导致缺氧诱导因子(HIFs)稳定,但 ccRCC 的肿瘤侵袭性和结局是可变的。因此,需要新的生物标志物来改善 ccRCC 的诊断、预后和治疗选择。本研究旨在探讨 HIF 及其参与代谢和 pH 调节的蛋白的表达。分析了它们与组织预后参数和生存的相关性。

方法

分析了 45 例 ccRCC 患者。采用免疫组织化学半定量和定性方法检测 HIF-1α、HIF-2α、HAF、GLUT1、MCT1、MCT4、CAIX 和 CAXII 的表达。在一个独立的 43 例患者队列中分析了 GLUT1、MCT1、MCT4、CAIX 和 CAXII 的 mRNA 水平。

结果

在 ccRCC 患者中,GLUT1、MCT1、CAXII 蛋白表达增加与 Fuhrman 分级高显著相关。此外,虽然 HIF-1α、HIF-2α 和 HAF 的表达在肿瘤内是异质的,但我们观察并证实了 HIF-2α 与 HAF 共定位。我们在一个独立的队列中证实,GLUT1、MCT1 和 CAXII 的 mRNA 水平与 Fuhrman 分级相关。此外,我们还表明,MCT1 和 GLUT1 的高 mRNA 水平与预后不良相关。

结论

本研究首次证明了高 Fuhrman 分级 ccRCC 的侵袭性与代谢重编程之间存在联系。它还证实了 HIF-2α 和 HAF 在肿瘤侵袭性中的作用。最后,这些结果表明 MCT1 和 GLUT1 是强有力的预后标志物和有前途的治疗靶点。

https://cdn.ncbi.nlm.nih.gov/pmc/blobs/54e3/5826688/3d8fcc09b5d9/pone.0193477.g001.jpg

文献AI研究员

20分钟写一篇综述,助力文献阅读效率提升50倍。

立即体验

用中文搜PubMed

大模型驱动的PubMed中文搜索引擎

马上搜索

文档翻译

学术文献翻译模型,支持多种主流文档格式。

立即体验