Suppr超能文献

CNTNAP1 表型:对具有特定严重先天性轴索性神经病且存活至婴儿期后的患者的研究。

Phenotype of CNTNAP1: a study of patients demonstrating a specific severe congenital hypomyelinating neuropathy with survival beyond infancy.

机构信息

Department of Clinical Genetics, St Michaels Hospital, Bristol, UK.

School of Clinical Sciences, University of Bristol, Bristol, UK.

出版信息

Eur J Hum Genet. 2018 Jun;26(6):796-807. doi: 10.1038/s41431-018-0110-x. Epub 2018 Mar 6.

Abstract

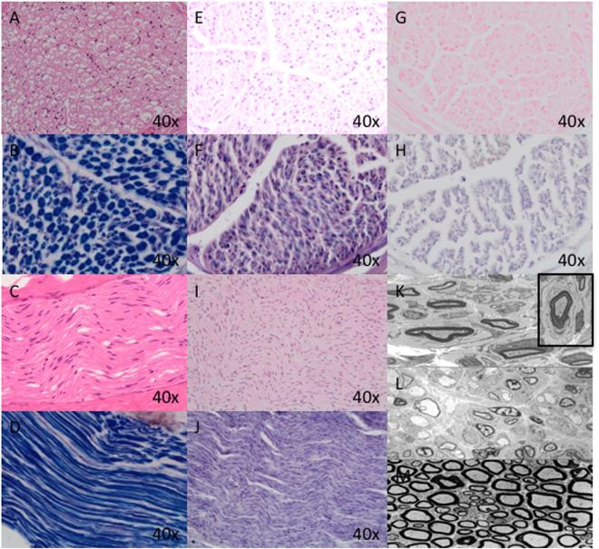
CHN is genetically heterogeneous and its genetic basis is difficult to determine on features alone. CNTNAP1 encodes CASPR, integral in the paranodal junction high molecular mass complex. Nineteen individuals with biallelic variants have been described in association with severe congenital hypomyelinating neuropathy, respiratory compromise, profound intellectual disability and death within the first year. We report 7 additional patients ascertained through exome sequencing. We identified 9 novel CNTNAP1 variants in 6 families: three missense variants, four nonsense variants, one frameshift variant and one splice site variant. Significant polyhydramnios occurred in 6/7 pregnancies. Severe respiratory compromise was seen in 6/7 (tracheostomy in 5). A complex neurological phenotype was seen in all patients who had marked brain hypomyelination/demyelination and profound developmental delay. Additional neurological findings included cranial nerve compromise: orobulbar dysfunction in 5/7, facial nerve weakness in 4/7 and vocal cord paresis in 5/7. Dystonia occurred in 2/7 patients and limb contractures in 5/7. All had severe gastroesophageal reflux, and a gastrostomy was required in 5/7. In contrast to most previous reports, only one patient died in the first year of life. Protein modelling was performed for all detected CNTNAP1 variants. We propose a genotype-phenotype correlation, whereby hypomorphic missense variants partially ameliorate the phenotype, prolonging survival. This study suggests that biallelic variants in CNTNAP1 cause a distinct recognisable syndrome, which is not caused by other genes associated with CHN. Neonates presenting with this phenotype will benefit from early genetic definition to inform clinical management and enable essential genetic counselling for their families.

摘要

CHN 具有遗传异质性,其遗传基础仅通过特征难以确定。 CNTNAP1 编码 CASPR,是节旁结高分子质量复合物的组成部分。已有 19 名具有双等位基因变异的个体与严重先天性轴索性神经病、呼吸功能障碍、严重智力残疾和一岁内死亡相关联。我们通过外显子组测序报告了另外 7 名患者。我们在 6 个家庭中鉴定了 9 个 CNTNAP1 的新变异:3 个错义变异、4 个无义变异、1 个移码变异和 1 个剪接位点变异。7 例妊娠中 6 例出现明显的羊水过多。6/7(5 例行气管切开术)例出现严重呼吸功能障碍。所有患者均存在复杂的神经表型,表现为明显的脑髓鞘发育不良/脱髓鞘和严重的发育迟缓。其他神经学发现包括颅神经受累:5/7 例球麻痹、4/7 例面神经无力和 5/7 例声带麻痹。2/7 例出现肌张力障碍,5/7 例出现肢体挛缩。所有患者均有严重的胃食管反流,5/7 例需要胃造口术。与大多数先前的报道不同,只有 1 例患者在一岁内死亡。对所有检测到的 CNTNAP1 变异进行了蛋白建模。我们提出了一种基因型-表型相关性,即功能降低的错义变异部分改善表型,延长了生存时间。这项研究表明,CNTNAP1 的双等位基因变异会导致一种独特的可识别综合征,而不是由其他与 CHN 相关的基因引起的。具有这种表型的新生儿将受益于早期的遗传定义,以告知临床管理,并为他们的家庭提供必要的遗传咨询。

https://cdn.ncbi.nlm.nih.gov/pmc/blobs/e98b/5974240/b899fb198dd2/41431_2018_110_Fig1_HTML.jpg

文献AI研究员

20分钟写一篇综述,助力文献阅读效率提升50倍。

立即体验

用中文搜PubMed

大模型驱动的PubMed中文搜索引擎

马上搜索

文档翻译

学术文献翻译模型,支持多种主流文档格式。

立即体验