Suppr超能文献

使用无饲养层扩增和悬浮培养分化方法,从大鼠胚胎和诱导多能干细胞中生成功能性心肌细胞。

Generation of functional cardiomyocytes from rat embryonic and induced pluripotent stem cells using feeder-free expansion and differentiation in suspension culture.

机构信息

Clinic of Cardiothoracic Surgery, Otto-von-Guericke University Magdeburg, Magdeburg, Germany.

Clinic of Cardiology and Angiology, Otto-von-Guericke University Magdeburg, Magdeburg, Germany.

出版信息

PLoS One. 2018 Mar 7;13(3):e0192652. doi: 10.1371/journal.pone.0192652. eCollection 2018.

Abstract

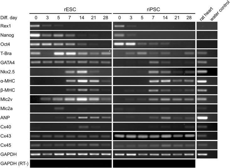
The possibility to generate cardiomyocytes from pluripotent stem cells in vitro has enormous significance for basic research, disease modeling, drug development and heart repair. The concept of heart muscle reconstruction has been studied and optimized in the rat model using rat primary cardiovascular cells or xenogeneic pluripotent stem cell derived-cardiomyocytes for years. However, the lack of rat pluripotent stem cells (rPSCs) and their cardiovascular derivatives prevented the establishment of an authentic clinically relevant syngeneic or allogeneic rat heart regeneration model. In this study, we comparatively explored the potential of recently available rat embryonic stem cells (rESCs) and induced pluripotent stem cells (riPSCs) as a source for cardiomyocytes (CMs). We developed feeder cell-free culture conditions facilitating the expansion of undifferentiated rPSCs and initiated cardiac differentiation by embryoid body (EB)-formation in agarose microwell arrays, which substituted the robust but labor-intensive hanging drop (HD) method. Ascorbic acid was identified as an efficient enhancer of cardiac differentiation in both rPSC types by significantly increasing the number of beating EBs (3.6 ± 1.6-fold for rESCs and 17.6 ± 3.2-fold for riPSCs). These optimizations resulted in a differentiation efficiency of up to 20% cTnTpos rPSC-derived CMs. CMs showed spontaneous contractions, expressed cardiac markers and had typical morphological features. Electrophysiology of riPSC-CMs revealed different cardiac subtypes and physiological responses to cardio-active drugs. In conclusion, we describe rPSCs as a robust source of CMs, which is a prerequisite for detailed preclinical studies of myocardial reconstruction in a physiologically and immunologically relevant small animal model.

摘要

体外多能干细胞生成心肌细胞的可能性对于基础研究、疾病建模、药物开发和心脏修复具有巨大的意义。多年来,人们一直在使用大鼠原代心血管细胞或异基因多能干细胞衍生的心肌细胞,在大鼠模型中研究和优化心肌重建的概念。然而,由于缺乏大鼠多能干细胞(rPSCs)及其心血管衍生物,阻止了建立真正具有临床相关性的同基因或同种异体大鼠心脏再生模型。在这项研究中,我们比较了最近获得的大鼠胚胎干细胞(rESCs)和诱导多能干细胞(riPSCs)作为心肌细胞(CMs)来源的潜力。我们开发了无饲养细胞的培养条件,促进了未分化 rPSC 的扩增,并通过在琼脂糖微井阵列中形成胚状体(EB)启动心脏分化,替代了强大但繁琐的悬滴(HD)方法。通过显著增加搏动 EB 的数量,鉴定出抗坏血酸是两种 rPSC 类型中有效增强心脏分化的增强剂(rESCs 为 3.6±1.6 倍,riPSCs 为 17.6±3.2 倍)。这些优化使 rPSC 衍生的 CM 的分化效率高达 20% cTnTpos。CMs 表现出自发性收缩,表达心脏标志物,具有典型的形态特征。riPSC-CMs 的电生理学显示出不同的心脏亚型和对心脏活性药物的生理反应。总之,我们描述 rPSCs 是 CM 的强大来源,这是在生理和免疫相关的小动物模型中进行心肌重建的详细临床前研究的前提。

https://cdn.ncbi.nlm.nih.gov/pmc/blobs/a726/5841662/f85e2ddc48f1/pone.0192652.g001.jpg

文献AI研究员

20分钟写一篇综述,助力文献阅读效率提升50倍。

立即体验

用中文搜PubMed

大模型驱动的PubMed中文搜索引擎

马上搜索

文档翻译

学术文献翻译模型,支持多种主流文档格式。

立即体验