Suppr超能文献

E14.5 缺乏 RYR1 或 Cav1.1 的小鼠骨骼肌肉的转录组变化在 E18.5 时趋于一致。

Distinct transcriptomic changes in E14.5 mouse skeletal muscle lacking RYR1 or Cav1.1 converge at E18.5.

机构信息

Institute of Vegetative Physiology, Center of Physiology and Pathophysiology, University of Cologne, Cologne, Germany.

Institute of Neurophysiology and Center for Molecular Medicine Cologne (CMMC), University of Cologne, Cologne, Germany.

出版信息

PLoS One. 2018 Mar 15;13(3):e0194428. doi: 10.1371/journal.pone.0194428. eCollection 2018.

Abstract

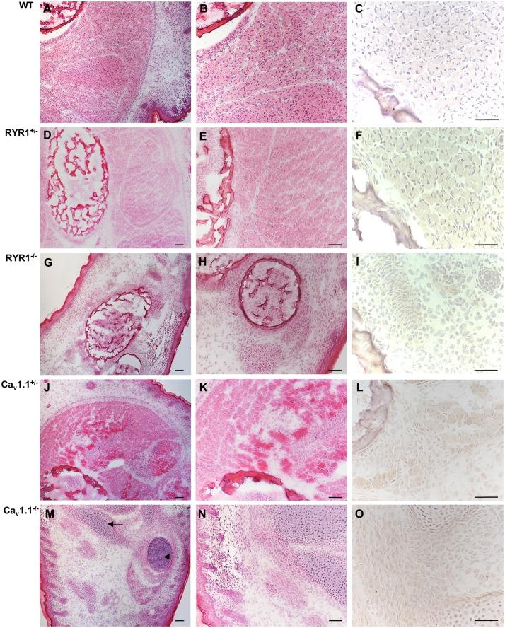
In skeletal muscle the coordinated actions of two mechanically coupled Ca2+ channels-the 1,4-dihydropyridine receptor (Cav1.1) and the type 1 ryanodine receptor (RYR1)-underlie the molecular mechanism of rapid cytosolic [Ca2+] increase leading to contraction. While both [Ca2+]i and contractile activity have been implicated in the regulation of myogenesis, less is known about potential specific roles of Cav1.1 and RYR1 in skeletal muscle development. In this study, we analyzed the histology and the transcriptomic changes occurring at E14.5 -the end of primary myogenesis and around the onset of intrauterine limb movement, and at E18.5 -the end of secondary myogenesis, in WT, RYR1-/-, and Cav1.1-/- murine limb skeletal muscle. At E14.5 the muscle histology of both mutants exhibited initial alterations, which became much more severe at E18.5. Immunohistological analysis also revealed higher levels of activated caspase-3 in the Cav1.1-/- muscles at E14.5, indicating an increase in apoptosis. With WT littermates as controls, microarray analyses identified 61 and 97 differentially regulated genes (DEGs) at E14.5, and 493 and 1047 DEGs at E18.5, in RYR1-/- and Cav1.1-/- samples, respectively. Gene enrichment analysis detected no overlap in the affected biological processes and pathways in the two mutants at E14.5, whereas at E18.5 there was a significant overlap of DEGs in both mutants, affecting predominantly processes linked to muscle contraction. Moreover, the E18.5 vs. E14.5 comparison revealed multiple genotype-specific DEGs involved in contraction, cell cycle and miRNA-mediated signaling in WT, neuronal and bone development in RYR1-/-, and lipid metabolism in Cav1.1-/- samples. Taken together, our study reveals discrete changes in the global transcriptome occurring in limb skeletal muscle from E14.5 to E18.5 in WT, RYR1-/- and Cav1.1-/- mice. Our results suggest distinct functional roles for RYR1 and Cav1.1 in skeletal primary and secondary myogenesis.

摘要

在骨骼肌中,两种机械偶联的 Ca2+ 通道——1,4-二氢吡啶受体(Cav1.1)和 1 型兰尼碱受体(RYR1)——的协调作用,构成了细胞质中快速 Ca2+ 增加导致收缩的分子机制。虽然 [Ca2+]i 和收缩活性都与肌发生的调节有关,但对于 Cav1.1 和 RYR1 在骨骼肌发育中的潜在特定作用知之甚少。在这项研究中,我们分析了 E14.5 时——初级肌发生结束和宫内肢体运动开始时,以及 E18.5 时——次级肌发生结束时,WT、RYR1-/-和 Cav1.1-/-小鼠肢体骨骼肌肉的组织学和转录组变化。在 E14.5 时,两种突变体的肌肉组织学都表现出最初的改变,而在 E18.5 时则变得更加严重。免疫组织化学分析还显示,Cav1.1-/- 肌肉在 E14.5 时的激活型 caspase-3 水平更高,表明细胞凋亡增加。以 WT 同窝仔鼠为对照,微阵列分析分别在 RYR1-/-和 Cav1.1-/-样本中鉴定出 E14.5 时 61 个和 97 个差异表达基因(DEGs),E18.5 时 493 个和 1047 个 DEGs。基因富集分析显示,在 E14.5 时,两种突变体受影响的生物学过程和途径没有重叠,而在 E18.5 时,两种突变体的 DEGs 有显著重叠,主要影响与肌肉收缩相关的过程。此外,E18.5 与 E14.5 的比较显示,WT 中涉及收缩、细胞周期和 miRNA 介导信号的多个基因特异性 DEGs,RYR1-/-中的神经元和骨骼发育,以及 Cav1.1-/-中的脂质代谢。综上所述,我们的研究揭示了 E14.5 至 E18.5 期间 WT、RYR1-/-和 Cav1.1-/-小鼠肢体骨骼肌肉中全局转录组的离散变化。我们的结果表明,RYR1 和 Cav1.1 在骨骼肌的初级和次级肌发生中具有不同的功能作用。

https://cdn.ncbi.nlm.nih.gov/pmc/blobs/861e/5854361/d51a517a1fbf/pone.0194428.g001.jpg

文献AI研究员

20分钟写一篇综述,助力文献阅读效率提升50倍。

立即体验

用中文搜PubMed

大模型驱动的PubMed中文搜索引擎

马上搜索

文档翻译

学术文献翻译模型,支持多种主流文档格式。

立即体验