Suppr超能文献

前列腺素A抑制牛病毒性腹泻病毒的复制。

Prostaglandin A inhibits the replication of bovine viral diarrhea virus.

作者信息

Caldas Lúcio Ayres, Freitas Tânia Rosária Pereira, Azevedo Renata Campos, de Souza Wanderley

机构信息

Instituto Nacional de Metrologia, Qualidade e Tecnologia (INMETRO), Rio de Janeiro, RJ, Brazil.

Ministério da Agricultura, Pecuária e Abastecimento, Laboratório Nacional Agropecuário - LANAGRO - MG, Pedro Leopoldo, MG, Brazil.

出版信息

Braz J Microbiol. 2018 Oct-Dec;49(4):785-789. doi: 10.1016/j.bjm.2017.12.010. Epub 2018 Mar 1.

Abstract

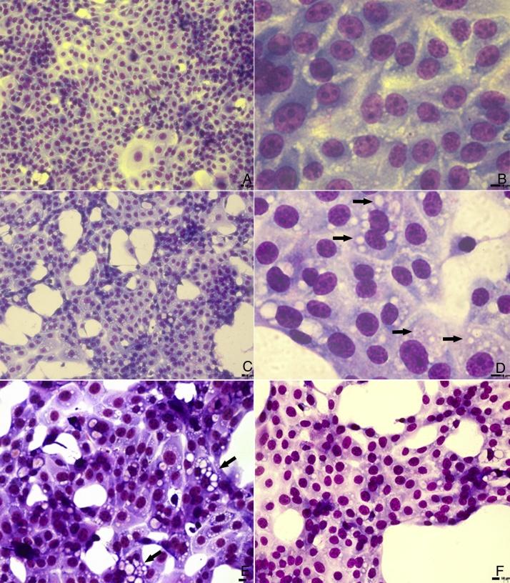
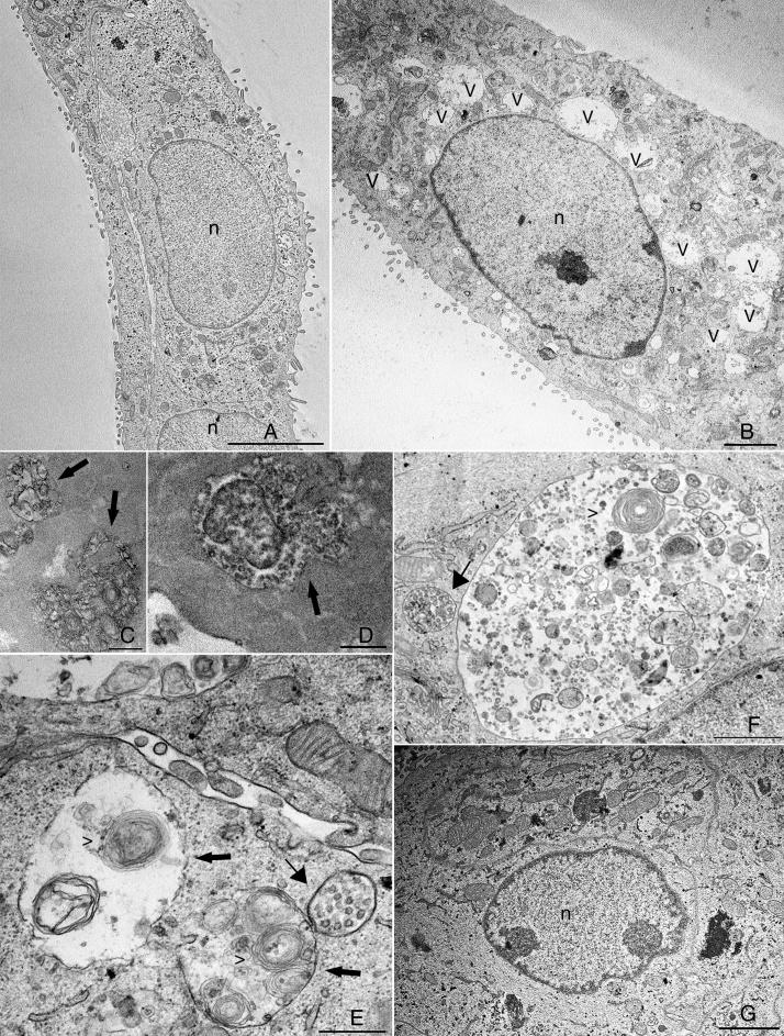
Bovine viral diarrhea virus can cause acute disease in livestock, leading to economic losses. We show that Prostaglandin A inhibits bovine viral diarrhea virus replication in Madin-Darby bovine kidney cells (94% inhibition using 5μg/mL). Light and electron microscopy of infected cells shows that Prostaglandin A also prevents virus-induced vacuolization, but at higher concentrations (10μg/mL).

摘要

牛病毒性腹泻病毒可导致家畜患急性疾病,造成经济损失。我们发现,前列腺素A可抑制牛病毒性腹泻病毒在马-达二氏牛肾细胞中的复制(5μg/mL时抑制率达94%)。对受感染细胞进行光学显微镜和电子显微镜观察发现,前列腺素A还可防止病毒诱导的空泡化,但需要更高的浓度(10μg/mL)。

https://cdn.ncbi.nlm.nih.gov/pmc/blobs/3f52/6175701/5a712aeddb64/gr1.jpg

文献AI研究员

20分钟写一篇综述,助力文献阅读效率提升50倍。

立即体验

用中文搜PubMed

大模型驱动的PubMed中文搜索引擎

马上搜索

文档翻译

学术文献翻译模型,支持多种主流文档格式。

立即体验