Suppr超能文献

KCC2-GABAA 通路与电针对 CCI 大鼠的镇痛作用相关。

KCC2-GABAA pathway correlates with the analgesic effect of electro-acupuncture in CCI rats.

机构信息

Department of Physical Medicine and Rehabilitation, The Second Affiliated Hospital and Yuying Children's Hospital of Wenzhou Medical University, Wenzhou, Zhejiang 325027, P.R. China.

Integrative and Optimized Medicine Research Center, China‑US Institute for Acupuncture and Rehabilitation of Wenzhou Medical University, Wenzhou, Zhejiang 325027, P.R. China.

出版信息

Mol Med Rep. 2018 May;17(5):6961-6968. doi: 10.3892/mmr.2018.8766. Epub 2018 Mar 16.

Abstract

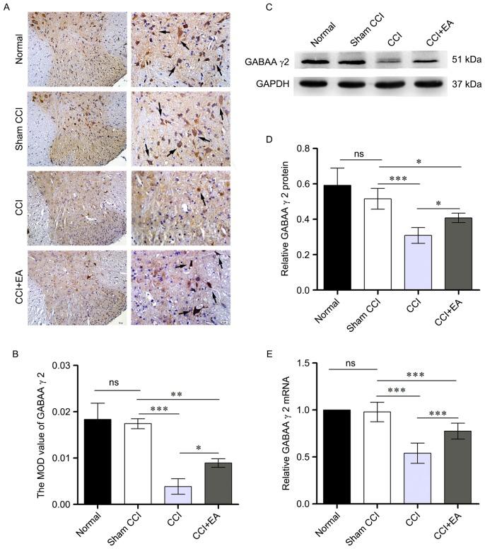
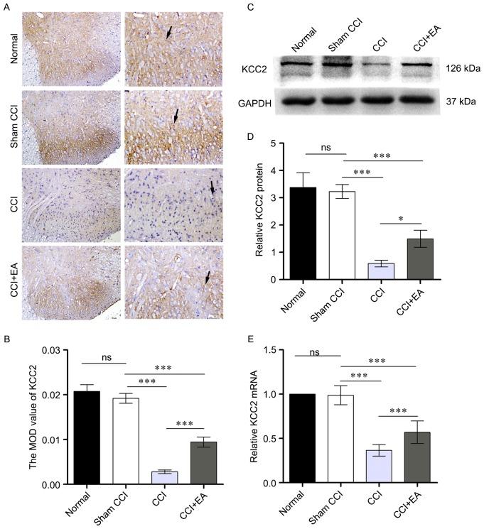
Potassium-chloride cotransporter 2 (KCC2) has been indicated to serve a crucial role during chronic neuropathic pain (NP). Following the emergence of NP, γ‑aminobutyric acid (GABA) A receptor‑mediated signaling may be further impaired by the changes of KCC2 chloride anion gradient. In the present study, the authors investigate the effect of electro-acupuncture (EA) on the behavior and the expression of KCC2 and GABAA receptor γ2 subunit in the spinal cord of chronic constriction injury (CCI) model rats. A total of 60 adult male Sprague‑Dawley rats were divided into four groups: Normal group, sham‑CCI group, CCI group and CCI+EA group. The effect of EA was assessed via the values of mechanical withdrawal threshold and thermal withdrawal latency, which were significantly improved upon stimulation of the ST‑36 and GB‑34 acupoints. In addition, a marked reduction in both the mRNA and protein levels of KCC2 and GABAA receptor γ2 subunit was observed in the spinal cord following loose ligation of the sciatic nerve. The reductions in KCC2 and GABAA receptor γ2 subunit expression were reversed by EA treatment. These results support the notion that KCC2 and GABAA receptor γ2 subunit contribute to NP following peripheral nerve injury and extend the understanding of the analgesic effects of EA on NP.

摘要

钾氯协同转运蛋白 2(KCC2)在慢性神经性疼痛(NP)中发挥着至关重要的作用。NP 出现后,KCC2 氯离子梯度的变化可能进一步损害γ-氨基丁酸(GABA)A 受体介导的信号转导。在本研究中,作者研究了电针(EA)对慢性缩窄性损伤(CCI)模型大鼠脊髓中 KCC2 和 GABAA 受体γ2 亚基表达和行为的影响。将 60 只成年雄性 Sprague-Dawley 大鼠分为四组:正常组、假手术组、CCI 组和 CCI+EA 组。通过 ST-36 和 GB-34 穴位刺激评估 EA 的效果,机械退缩阈值和热退缩潜伏期的值显著提高。此外,坐骨神经松解结扎后,脊髓中 KCC2 和 GABAA 受体γ2 亚基的 mRNA 和蛋白水平均显著降低。EA 治疗可逆转 KCC2 和 GABAA 受体γ2 亚基的表达降低。这些结果支持 KCC2 和 GABAA 受体γ2 亚基在外周神经损伤后导致 NP 的观点,并扩展了对 EA 治疗 NP 的镇痛作用的理解。

https://cdn.ncbi.nlm.nih.gov/pmc/blobs/6c56/5928653/c213a358a238/MMR-17-05-6961-g00.jpg

文献AI研究员

20分钟写一篇综述,助力文献阅读效率提升50倍。

立即体验

用中文搜PubMed

大模型驱动的PubMed中文搜索引擎

马上搜索

文档翻译

学术文献翻译模型,支持多种主流文档格式。

立即体验