Suppr超能文献

高嗜酸性粒细胞综合征并发嗜酸性粒细胞性心肌炎,对类固醇治疗反应显著。

Hypereosinophilic Syndrome Complicated by Eosinophilic Myocarditis With Dramatic Response to Steroid.

作者信息

Khalid Mazin, Gayam Vijay, Dahal Sumit, Ur Rahman Ebad, Fadllala Kamal, Kaler Jaspreet, Khalid Mowyad, Dufresne Alix

机构信息

Interfaith Medical Center, Brooklyn, NY, USA.

Detroit Medical Center, Wayne State University, Detroit, MI, USA.

出版信息

J Investig Med High Impact Case Rep. 2018 Mar 19;6:2324709618764512. doi: 10.1177/2324709618764512. eCollection 2018 Jan-Dec.

Abstract

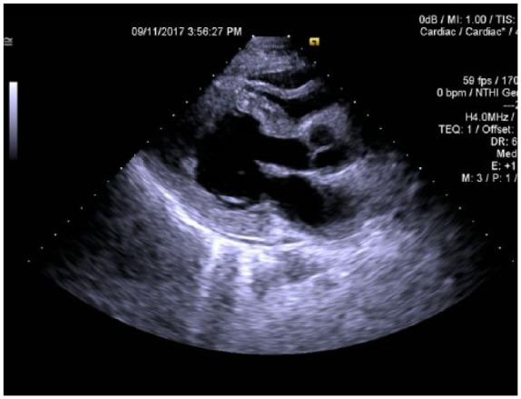
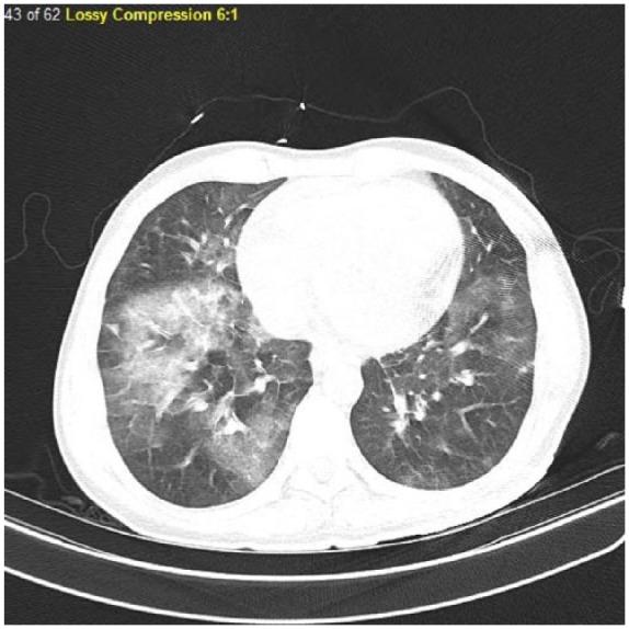
Eosinophilic myocarditis is an infiltrative disease that affects the myocardium leading to various presentations. It can be precipitated by medications, helminthiasis, or hypereosinophilic syndrome. We present the case of a young, male patient who presented with palpitations and dyspnea and was found to have heart failure with reduced ejection fracture of 12%. His past medical history was significant for recent lung problem treated with steroids. Based on his history and laboratory findings, he was started on intravenous steroids for treatment of eosinophilic myocarditis. Within 3 days, his ejection fracture improved to 35%. Given the nonspecific clinical presentations, mimicking other diseases, high index of suspicion is warranted to diagnose eosinophilic myocarditis. This is crucial as early detection and treatment with steroids can lead to a dramatic response.

摘要

嗜酸性粒细胞性心肌炎是一种浸润性疾病,可累及心肌并导致多种临床表现。它可能由药物、蠕虫感染或高嗜酸性粒细胞综合征引发。我们报告了一例年轻男性患者,该患者出现心悸和呼吸困难,经检查发现患有心力衰竭,射血分数降低至12%。他的既往病史显示近期因肺部问题接受了类固醇治疗。根据他的病史和实验室检查结果,开始给予静脉注射类固醇治疗嗜酸性粒细胞性心肌炎。3天内,他的射血分数提高到了35%。鉴于嗜酸性粒细胞性心肌炎的临床表现不具特异性,易与其他疾病混淆,因此需要高度怀疑以诊断该病。这至关重要,因为早期发现并用类固醇治疗可产生显著疗效。

https://cdn.ncbi.nlm.nih.gov/pmc/blobs/ab2a/5862364/738fdc30f815/10.1177_2324709618764512-fig1.jpg

文献AI研究员

20分钟写一篇综述,助力文献阅读效率提升50倍。

立即体验

用中文搜PubMed

大模型驱动的PubMed中文搜索引擎

马上搜索

文档翻译

学术文献翻译模型,支持多种主流文档格式。

立即体验