Suppr超能文献

远上游元件结合蛋白 1 通过调节 LSD1 的可变剪接促进神经祖细胞的终末分化。

Far Upstream Element-Binding Protein 1 Regulates LSD1 Alternative Splicing to Promote Terminal Differentiation of Neural Progenitors.

机构信息

Department of Pathology and Laboratory Medicine, Weill Cornell Medicine, New York, NY 10065, USA.

Neurosurgical Immunology Laboratory, Neurosurgical Institute of Fudan University, Shanghai, China.

出版信息

Stem Cell Reports. 2018 Apr 10;10(4):1208-1221. doi: 10.1016/j.stemcr.2018.02.013. Epub 2018 Mar 29.

Abstract

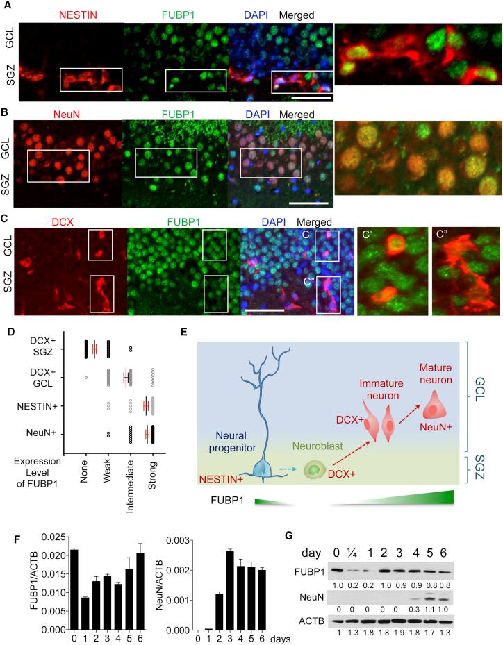
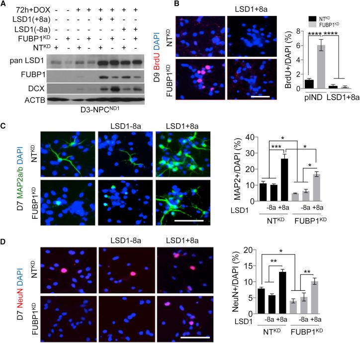
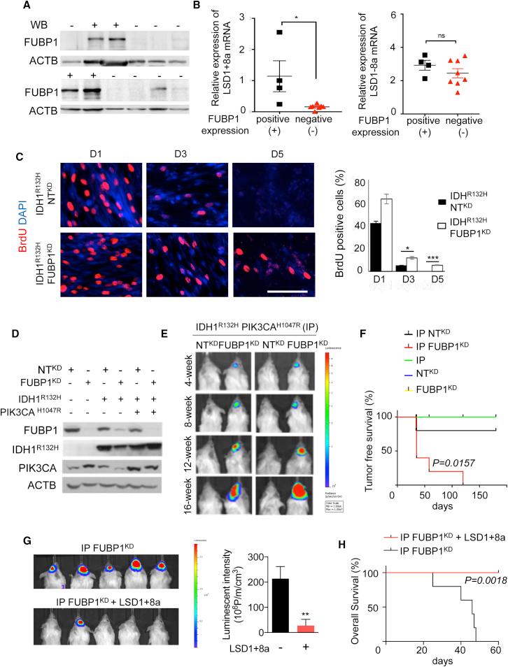
Loss of a cell's ability to terminally differentiate because of mutations is a selected genetic event in tumorigenesis. Genomic analyses of low-grade glioma have reported recurrent mutations of far upstream element-binding protein 1 (FUBP1). Here, we show that FUBP1 expression is dynamically regulated during neurogenesis and that its downregulation in neural progenitors impairs terminal differentiation and promotes tumorigenesis collaboratively with expression of IDH1. Mechanistically, collaborative action between SRRM4 and FUBP1 is necessary for mini-exon splicing of the neurospecific LSD1+8a isoform. LSD1+8a was downregulated upon loss of FUBP1 in neural progenitors, thereby impairing terminal neuronal differentiation and maturation. Reinforcing LSD1+8a expression in FUBP1-downregulated neural progenitors restored terminal differentiation and suppressed tumorigenesis; hence, LSD1+8a is an obligatory effector of FUBP1-dependent neuronal differentiation. These findings establish a direct role for FUBP1 in neuronal differentiation and also explain its tumor-suppressor function in the nervous system.

摘要

由于突变,细胞丧失终末分化能力是肿瘤发生中的一种选择遗传事件。低级别神经胶质瘤的基因组分析报告了远上游元件结合蛋白 1 (FUBP1) 的反复突变。在这里,我们表明 FUBP1 的表达在神经发生过程中是动态调节的,其在神经祖细胞中的下调会损害终末分化,并与 IDH1 的表达协同促进肿瘤发生。从机制上讲,SRRM4 和 FUBP1 的协同作用对于神经特异性 LSD1+8a 异构体的迷你外显子剪接是必要的。在神经祖细胞中 FUBP1 下调时,LSD1+8a 下调,从而损害终末神经元分化和成熟。在下调 FUBP1 的神经祖细胞中增强 LSD1+8a 的表达可恢复终末分化并抑制肿瘤发生;因此,LSD1+8a 是 FUBP1 依赖性神经元分化的必需效应物。这些发现确立了 FUBP1 在神经元分化中的直接作用,并解释了其在神经系统中的肿瘤抑制功能。

https://cdn.ncbi.nlm.nih.gov/pmc/blobs/cb9f/5998560/07d16a3049a3/fx1.jpg

文献AI研究员

20分钟写一篇综述,助力文献阅读效率提升50倍。

立即体验

用中文搜PubMed

大模型驱动的PubMed中文搜索引擎

马上搜索

文档翻译

学术文献翻译模型,支持多种主流文档格式。

立即体验