Suppr超能文献

放射性治疗引发的抗肿瘤免疫反应和免疫相关不良反应在一例接受抗 PD-1 免疫治疗的复发性鼻咽癌病例中。

Radiotherapy-induced anti-tumor immune response and immune-related adverse events in a case of recurrent nasopharyngeal carcinoma undergoing anti-PD-1 immunotherapy.

机构信息

Department of Radiation Oncology, University Hospital Zurich, Rämistrasse 100, 8091, Zurich, Switzerland.

Department of Oncology, University Hospital Zurich, Zurich, Switzerland.

出版信息

BMC Cancer. 2018 Apr 6;18(1):395. doi: 10.1186/s12885-018-4295-8.

Abstract

BACKGROUND

Treatment of recurrent nasopharyngeal carcinoma is a challenging clinical problem. We report the case of a 46 year old male showing excellent response and signs of immunostimulation following re-re-irradiation for recurrent nasopharyngeal carcinoma under systemic treatment with pembrolizumab.

CASE PRESENTATION

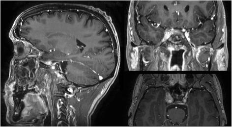
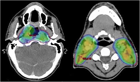
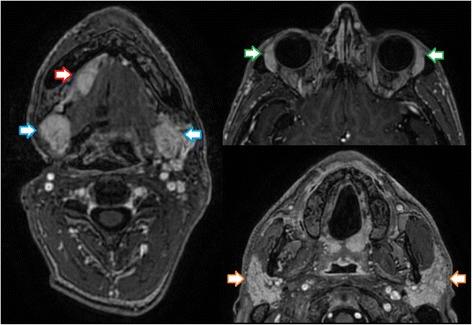
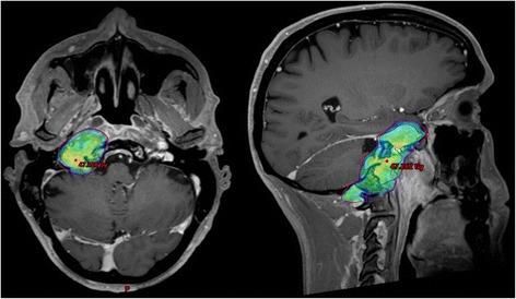
Patient was first diagnosed with locoregionally advanced, non-keratinizing nasopharyngeal carcinoma in 2010. After achieving complete remission following induction chemotherapy and concurrent curative chemoradiation, the patient subsequently developed distant and locoregionally recurrent disease. He received various treatments (neck dissection, radiotherapy to a bony metastasis, palliative chemotherapy, stereotactic re-irradiation of local recurrence) before initiation of anti- PD-1 immunotherapy with pembrolizumab in January of 2016. Following marked local progression 6 months thereafter, we performed re-re-irradiation of the recurrent tumor after careful evaluation and treatment planning. While treatment was well tolerated, the patient subsequently developed marked clinical and radiological signs of immunostimulation with mucosal irritation and swelling of lacrimal and salivary glands as described in the report. Immunotherapy with pembrolizumab was reinitiated, with re- staging showing excellent response with regression of all tumorous lesions. At the time of this report, following near complete recovery of inflammatory symptoms, the patient remains in excellent condition and free from recurrence under treatment with pembrolizumab.

CONCLUSIONS

To our knowledge, we report the first observation of a combined effect of immunotherapy and radiotherapy in a patient with recurrent nasopharyngeal carcinoma. Demonstrating distinct signs of immunostimulation as well as excellent tumor response in a heavily pretreated patient progressing under anti-PD-1 immunotherapy, the case adds to the rising paradigm of an immunostimulatory effect of radiotherapy in patients undergoing treatment with immune checkpoint inhibitors.

摘要

背景

复发性鼻咽癌的治疗是一个具有挑战性的临床问题。我们报告了一例 46 岁男性患者的病例,该患者在接受帕博利珠单抗全身治疗的情况下,再次接受复发鼻咽癌的再放疗后,表现出极好的反应和免疫刺激迹象。

病例介绍

患者于 2010 年首次诊断为局部晚期、非角化性鼻咽癌。在诱导化疗和同期根治性放化疗后达到完全缓解后,患者随后出现远处和局部复发疾病。在 2016 年 1 月开始接受抗 PD-1 免疫疗法帕博利珠单抗治疗之前,他接受了各种治疗(颈部清扫术、骨转移放疗、姑息性化疗、局部复发立体定向再放疗)。6 个月后局部进展明显,我们在仔细评估和治疗计划后对复发性肿瘤进行了再放疗。虽然治疗耐受性良好,但随后患者出现明显的免疫刺激临床和影像学迹象,如报告所述的黏膜刺激和泪腺及唾液腺肿胀。重新开始使用帕博利珠单抗免疫治疗,重新分期显示所有肿瘤病变均有极好的反应,完全消退。在本报告时,在炎症症状几乎完全恢复后,患者在帕博利珠单抗治疗下状况良好,无复发。

结论

据我们所知,我们报告了首例免疫治疗和放疗联合治疗复发性鼻咽癌的观察结果。在接受抗 PD-1 免疫治疗进展的、预处理过的患者中,表现出明显的免疫刺激迹象和极好的肿瘤反应,该病例增加了免疫检查点抑制剂治疗患者中放疗具有免疫刺激作用的不断增加的范例。

https://cdn.ncbi.nlm.nih.gov/pmc/blobs/d5fa/5889609/16bfe6076592/12885_2018_4295_Fig2_HTML.jpg

文献AI研究员

20分钟写一篇综述,助力文献阅读效率提升50倍。

立即体验

用中文搜PubMed

大模型驱动的PubMed中文搜索引擎

马上搜索

文档翻译

学术文献翻译模型,支持多种主流文档格式。

立即体验