Suppr超能文献

囊性纤维化和非囊性纤维化支气管扩张症的发病机制、影像学表现和临床特征。

Pathogenesis, imaging and clinical characteristics of CF and non-CF bronchiectasis.

机构信息

Department of Radiology, Division of Pediatric Radiology, University of Tübingen, Tübingen, Germany.

Children's Hospital, University of Munich, Munich, Germany.

出版信息

BMC Pulm Med. 2018 May 22;18(1):79. doi: 10.1186/s12890-018-0630-8.

Abstract

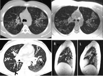
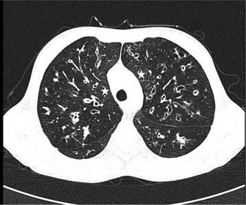
Bronchiectasis is a common feature of severe inherited and acquired pulmonary disease conditions. Among inherited diseases, cystic fibrosis (CF) is the major disorder associated with bronchiectasis, while acquired conditions frequently featuring bronchiectasis include post-infective bronchiectasis and chronic obstructive pulmonary disease (COPD). Mechanistically, bronchiectasis is driven by a complex interplay of inflammation and infection with neutrophilic inflammation playing a predominant role. The clinical characterization and management of bronchiectasis should involve a precise diagnostic workup, tailored therapeutic strategies and pulmonary imaging that has become an essential tool for the diagnosis and follow-up of bronchiectasis. Prospective future studies are required to optimize the diagnostic and therapeutic management of bronchiectasis, particularly in heterogeneous non-CF bronchiectasis populations.

摘要

支气管扩张症是严重遗传性和获得性肺部疾病的常见特征。在遗传性疾病中,囊性纤维化(CF)是与支气管扩张症相关的主要疾病,而获得性疾病常伴有支气管扩张症,包括感染后支气管扩张症和慢性阻塞性肺疾病(COPD)。从机制上讲,支气管扩张症是由炎症和感染的复杂相互作用驱动的,中性粒细胞炎症起着主要作用。支气管扩张症的临床特征和管理应包括精确的诊断性检查、量身定制的治疗策略和肺部成像,这已成为支气管扩张症诊断和随访的重要工具。需要前瞻性的未来研究来优化支气管扩张症的诊断和治疗管理,特别是在异质性非 CF 支气管扩张症人群中。

https://cdn.ncbi.nlm.nih.gov/pmc/blobs/8bdb/5964733/3563e55e856c/12890_2018_630_Fig1_HTML.jpg

文献AI研究员

20分钟写一篇综述,助力文献阅读效率提升50倍。

立即体验

用中文搜PubMed

大模型驱动的PubMed中文搜索引擎

马上搜索

文档翻译

学术文献翻译模型,支持多种主流文档格式。

立即体验