Suppr超能文献

髓系细胞表达的触发受体 2 通过抑制半胱天冬酶-1 依赖性细胞焦亡促进角膜抵抗 。

Triggering Receptors Expressed on Myeloid Cells 2 Promotes Corneal Resistance Against by Inhibiting Caspase-1-Dependent Pyroptosis.

机构信息

Program of Pathobiology and Immunology, Fifth Affiliated Hospital, Zhongshan School of Medicine, Sun Yat-sen University, Guangdong, China.

Key Laboratory of Tropical Diseases Control, Ministry of Education, Sun Yat-sen University, Guangzhou, China.

出版信息

Front Immunol. 2018 May 25;9:1121. doi: 10.3389/fimmu.2018.01121. eCollection 2018.

Abstract

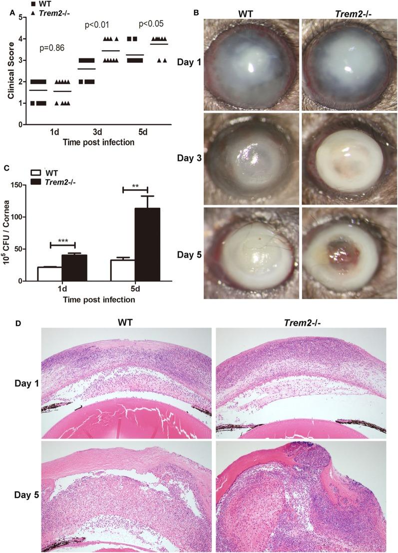
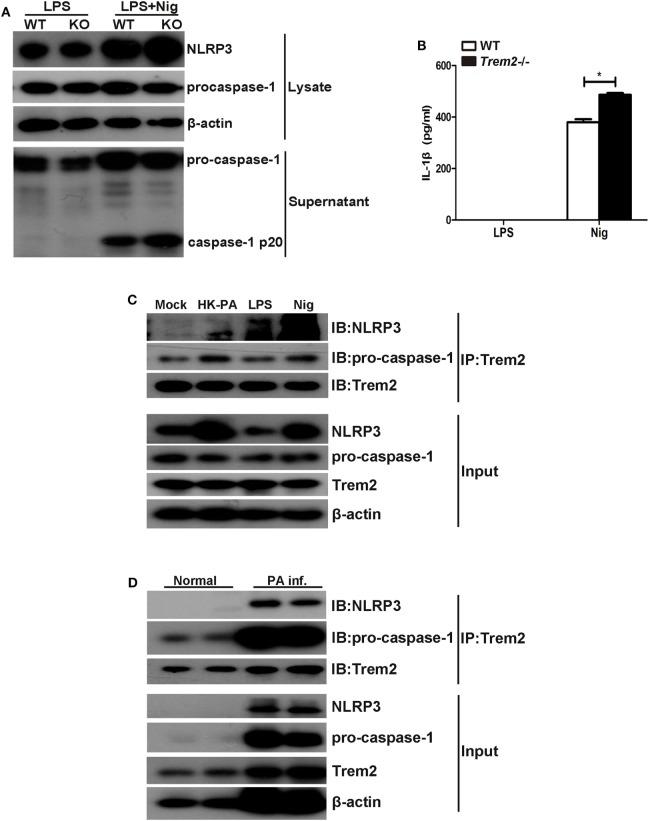
Triggering receptors expressed on myeloid cells 2 (TREM2) is a novel cell surface receptor and functions as an immunomodulatory receptor in infectious diseases. In this study, we investigated the function and regulatory mechanism of TREM2 in () keratitis. We found that keratitis was more severe in versus wild type C57BL/6 mice as indicated by the increased clinical scores, bacterial load, and cornea pathology. The exacerbated disease progression caused by TREM2 deficiency was associated with boosted activation of caspase-1 and subsequent pyroptosis as well as increased expression of IL-1β. In addition, blockage of pyroptosis by caspase-1 inhibitor not only recovered the severe cornea pathology developed in mice but also restored the clearance suppressed by TREM2 deficiency. Our study demonstrated that TREM2 promotes host resistance against keratitis by inhibiting caspase-1-dependent pyroptosis, which provides new insights of TREM2-mediated anti-bacterial immunity.

摘要

TREM2 是一种新型的细胞表面受体,作为免疫调节受体在传染病中发挥作用。在这项研究中,我们研究了 TREM2 在 ()角膜炎中的功能和调节机制。我们发现,与野生型 C57BL/6 小鼠相比,()角膜炎在 ()小鼠中更为严重,表现在临床评分、细菌负荷和角膜病理学方面均有所增加。TREM2 缺乏引起的疾病恶化与 caspase-1 的激活以及随后的细胞焦亡以及 IL-1β表达增加有关。此外,通过 caspase-1 抑制剂阻断细胞焦亡不仅恢复了 ()小鼠中严重的角膜病理学,而且恢复了由 TREM2 缺乏抑制的 ()清除。我们的研究表明,TREM2 通过抑制 caspase-1 依赖性细胞焦亡来促进宿主对 ()角膜炎的抵抗,这为 TREM2 介导的抗细菌免疫提供了新的见解。

https://cdn.ncbi.nlm.nih.gov/pmc/blobs/c2f0/5980993/1bc00bc1c95b/fimmu-09-01121-g001.jpg

文献AI研究员

20分钟写一篇综述,助力文献阅读效率提升50倍。

立即体验

用中文搜PubMed

大模型驱动的PubMed中文搜索引擎

马上搜索

文档翻译

学术文献翻译模型,支持多种主流文档格式。

立即体验