Suppr超能文献

人乳头瘤病毒可能是喉癌生存的一个潜在因素:对墨西哥患者的初步研究

HPV Could be a Potential Factor of Survival in Laryngeal Cancer: a Preliminary Study in Mexican Patients.

作者信息

Peralta Raul, Garcia Paola, Valdivia Alejandra, Lopez Arianna, Apresa Teresa, Hernandez Dulce M, Gallegos Francisco, Alvarado-Cabrero Isabel, Vargas-De-Leon Cruz, Davila Sonia, Romero Pablo, Salcedo Mauricio

机构信息

Centro de Investigación en Dinamica Celular, Universidad Autonoma del Estado de Morelos, Cuernavaca , Mexico. Email:

出版信息

Asian Pac J Cancer Prev. 2018 Jun 25;19(6):1711-1716. doi: 10.22034/APJCP.2018.19.6.1711.

Abstract

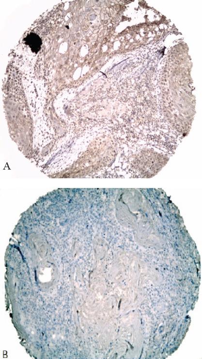
Introduction: In Head and Neck (HN) cancer, the High-Risk Human Papillomavirus (hr HPV) infection has been associated in about 40% of these tumors. The hr HPV infection is one of the etiological factors of several epithelial tumors; however, its association with the prognosis has not yet been established for patients with Laryngeal Squamous Cell Carcinoma (LSCC). On the other hand, Epidermal Growth Factor Receptor (EGFR) is a molecular marker widely studied in cancer and its overexpression has been associated with poor prognosis in some types of cancer, including the HN cancer. In the present study, we analyzed EGFR expression and HPV detection in a cohort of Mexican patients with LSCC and define their association with clinical-pathological and survival parameters. Methods: EGFR expression analysis was performed by immunohistochemistry assay. A tissue array was constructed based on 30 paraffin-embedded tissue samples. HPV detection was performed by PCR. The results were then compared with the clinical-pathological variables and outcome measures (Kaplan Meier and Cox analysis). Results: High expression of EGFR was observed in 43% of the samples and 20% of HPV detection. The statistical analyses provided evidence of disassociation between clinical-pathological parameters and EGFR expression, but there was an association with poor prognosis. Interestingly, HPV detection is slightly associated with good prognosis. Conclusion: Both, EGFR overexpression and HPV presence could be associated with an unfavorable prognosis in patients with LSCC, independently of other clinical-pathological factors.

摘要

引言

在头颈癌(HN)中,约40%的此类肿瘤与高危型人乳头瘤病毒(hr HPV)感染有关。hr HPV感染是几种上皮性肿瘤的病因之一;然而,其与喉鳞状细胞癌(LSCC)患者预后的关联尚未确立。另一方面,表皮生长因子受体(EGFR)是一种在癌症中广泛研究的分子标志物,其过表达与包括头颈癌在内的某些类型癌症的不良预后有关。在本研究中,我们分析了一组墨西哥LSCC患者的EGFR表达和HPV检测情况,并确定它们与临床病理及生存参数的关联。方法:通过免疫组织化学分析进行EGFR表达分析。基于30个石蜡包埋组织样本构建组织芯片。通过PCR进行HPV检测。然后将结果与临床病理变量和结局指标(Kaplan Meier和Cox分析)进行比较。结果:43%的样本中观察到EGFR高表达,20%检测到HPV。统计分析提供了临床病理参数与EGFR表达之间无关联的证据,但与不良预后有关。有趣的是,HPV检测与良好预后略有相关。结论:EGFR过表达和HPV存在均可能与LSCC患者的不良预后相关,独立于其他临床病理因素。

https://cdn.ncbi.nlm.nih.gov/pmc/blobs/ec94/6103592/bca02b8d0010/APJCP-19-1711-g001.jpg

文献AI研究员

20分钟写一篇综述,助力文献阅读效率提升50倍。

立即体验

用中文搜PubMed

大模型驱动的PubMed中文搜索引擎

马上搜索

文档翻译

学术文献翻译模型,支持多种主流文档格式。

立即体验