Suppr超能文献

miR-23b 和 miR-218 的沉默可增加肌肉盲样蛋白的表达并减轻哺乳动物模型中的肌强直性营养不良表型。

miR-23b and miR-218 silencing increase Muscleblind-like expression and alleviate myotonic dystrophy phenotypes in mammalian models.

机构信息

Interdisciplinary Research Structure for Biotechnology and Biomedicine (ERI BIOTECMED), University of Valencia, Dr. Moliner 50, E46100, Burjassot, Valencia, Spain.

Translational Genomics Group, Incliva Health Research Institute, Dr. Moliner 50, E46100, Burjassot, Valencia, Spain.

出版信息

Nat Commun. 2018 Jun 26;9(1):2482. doi: 10.1038/s41467-018-04892-4.

Abstract

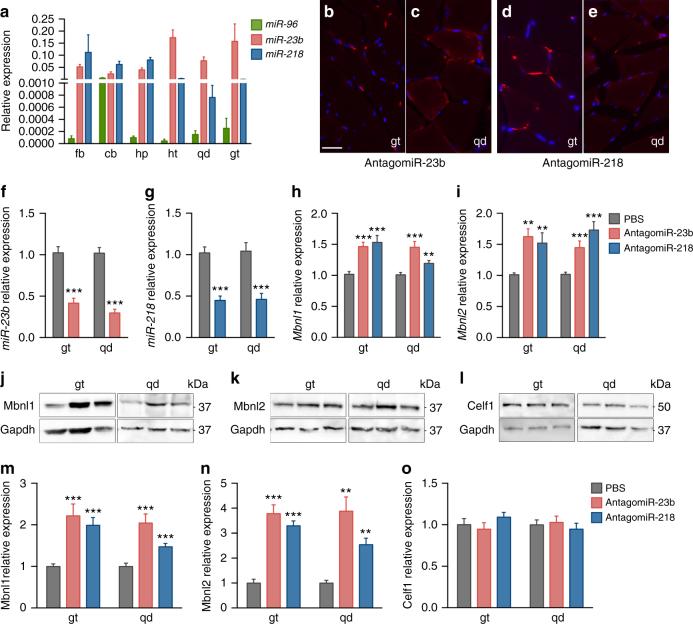
Functional depletion of the alternative splicing factors Muscleblind-like (MBNL 1 and 2) is at the basis of the neuromuscular disease myotonic dystrophy type 1 (DM1). We previously showed the efficacy of miRNA downregulation in Drosophila DM1 model. Here, we screen for miRNAs that regulate MBNL1 and MBNL2 in HeLa cells. We thus identify miR-23b and miR-218, and confirm that they downregulate MBNL proteins in this cell line. Antagonists of miR-23b and miR-218 miRNAs enhance MBNL protein levels and rescue pathogenic missplicing events in DM1 myoblasts. Systemic delivery of these "antagomiRs" similarly boost MBNL expression and improve DM1-like phenotypes, including splicing alterations, histopathology, and myotonia in the HSA DM1 model mice. These mammalian data provide evidence for therapeutic blocking of the miRNAs that control Muscleblind-like protein expression in myotonic dystrophy.

摘要

功能性缺失肌萎缩蛋白样(MBNL1 和 MBNL2)是导致肌强直性营养不良 1 型(DM1)的基础。我们之前在果蝇 DM1 模型中证明了 miRNA 下调的疗效。在这里,我们在 HeLa 细胞中筛选调控 MBNL1 和 MBNL2 的 miRNA。因此,我们鉴定出 miR-23b 和 miR-218,并证实它们在该细胞系中下调 MBNL 蛋白。miR-23b 和 miR-218 的拮抗剂可增强 MBNL 蛋白水平,并可挽救 DM1 成肌细胞中的致病剪接事件。这些“antagomiRs”的系统递送同样可以提高 MBNL 的表达,并改善 DM1 样表型,包括 HSA DM1 模型小鼠中的剪接改变、组织病理学和肌强直。这些哺乳动物数据为治疗性阻断控制肌强直性营养不良中肌萎缩蛋白样蛋白表达的 miRNA 提供了证据。

https://cdn.ncbi.nlm.nih.gov/pmc/blobs/e564/6018771/ec6290e83eaa/41467_2018_4892_Fig1_HTML.jpg

文献AI研究员

20分钟写一篇综述,助力文献阅读效率提升50倍。

立即体验

用中文搜PubMed

大模型驱动的PubMed中文搜索引擎

马上搜索

文档翻译

学术文献翻译模型,支持多种主流文档格式。

立即体验