Suppr超能文献

伊朗中部利什曼原虫优势种为利什曼原虫和罕见的利什曼原虫热带种,存在单倍型变异。

Predominance of Leishmania major and rare occurrence of Leishmania tropica with haplotype variability at the center of Iran.

机构信息

Pasteur Institute of Iran, Parasitology Department, Molecular Systematics Laboratory, Tehran, Iran; Hamadan University of Medical Sciences, School of Medicine, Department of Medical Entomology, Hamadan, Iran.

Pasteur Institute of Iran, Parasitology Department, Molecular Systematics Laboratory, Tehran, Iran.

出版信息

Braz J Infect Dis. 2018 Jul-Aug;22(4):278-287. doi: 10.1016/j.bjid.2018.07.005. Epub 2018 Aug 13.

Abstract

BACKGROUND

Leishmania major is a causative agent of zoonotic cutaneous leishmaniasis in the center of Iran, Abarkouh district. Molecular characterization and precise incrimination of Leishmania species was carried out to perform controlling measurements and to design treatment programs for zoonotic cutaneous leishmaniasis.

METHODS

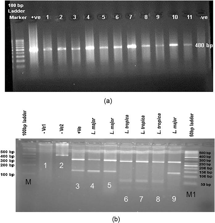
All smears isolated from ulcers of suspected patients were examined under a light microscope and graded for amastigotes frequency. Extraction of DNA, PCR, RFLP and sequencing of ITS-rDNA genotype were done to increase the efficacy of Leishmania parasites identification at their species-specific level and to detect any Leishmania infections within.

RESULTS

Humans were found to be infected with L. major with high infection frequency and also Leishmania tropica was identified with low occurrence for the first time as non-native species using molecular analyses. The rates of infections was considerable with microscopic observation (n = 65, 73%) out of 89 smears prepared from suspected patients. Molecular analyses showed that the density of L. major was significantly higher (n = 48, 53.93%) than L. tropica (n = 4, 4.49%) (Mann-Whitney U test: p < 0.05) and two samples (2.25%) remained ambiguous after several sequencing. L. major did not have diversity with two common haplotypes but L. tropica were found to exhibit high diversity with three novel haplotypes.

CONCLUSION

L. major was considered the causative agent of leishmaniasis in the region, but the identification of a non-native L. tropica revealed the importance of further isolation of Leishmania parasites following molecular analyses and confirmation, and also revealed the importance of further isolation of Leishmania parasites from patients of the field areas who do not have easily access to health care centers for specialized treatment strategies.

摘要

背景

在伊朗中部的阿巴库赫地区,利什曼原虫是一种动物源性皮肤利什曼病的病原体。对利什曼原虫进行分子特征分析和精确鉴定,以开展控制措施,并为动物源性皮肤利什曼病设计治疗方案。

方法

对疑似患者溃疡处的所有涂片均在光学显微镜下进行检查,并对其内利什曼无鞭毛体的频率进行分级。提取 DNA、PCR、RFLP 和 ITS-rDNA 基因型测序,以提高利什曼寄生虫鉴定到种特异性水平的功效,并检测其中的任何利什曼感染。

结果

首次发现人类感染利什曼原虫(L. major)的频率较高,同时还发现了利什曼原虫(L. tropica),这是一种非本地物种,利用分子分析方法进行鉴定。从 89 份疑似患者制备的涂片(n=65)中,通过显微镜观察发现感染率相当高(73%)。分子分析表明,L. major 的密度显著高于 L. tropica(n=48,53.93%比 n=4,4.49%)(Mann-Whitney U 检验:p<0.05),且两次测序后仍有两个样本(2.25%)结果不明确。L. major 没有多样性,只有两个常见单倍型,但 L. tropica 有三个新的单倍型,表现出高度多样性。

结论

L. major 被认为是该地区利什曼病的病原体,但鉴定出一种非本地的 L. tropica 表明,在进行分子分析和确认后,进一步分离利什曼寄生虫的重要性,还表明了从难以获得专业治疗的外地患者中进一步分离利什曼寄生虫的重要性。

https://cdn.ncbi.nlm.nih.gov/pmc/blobs/f588/9427796/a8f205972806/gr1.jpg

文献AI研究员

20分钟写一篇综述,助力文献阅读效率提升50倍。

立即体验

用中文搜PubMed

大模型驱动的PubMed中文搜索引擎

马上搜索

文档翻译

学术文献翻译模型,支持多种主流文档格式。

立即体验