Suppr超能文献

鸡伤寒和 H9N2 感染鸡的二价疫苗:鸡沙门氏菌递送 M2e-CD40L 蛋白和 DNA 形式。

Salmonella Gallinarum delivering M2eCD40L in protein and DNA formats acts as a bivalent vaccine against fowl typhoid and H9N2 infection in chickens.

机构信息

College of Veterinary Medicine, Chonbuk National University, Iksan, 54596, Republic of Korea.

出版信息

Vet Res. 2018 Oct 1;49(1):99. doi: 10.1186/s13567-018-0593-z.

Abstract

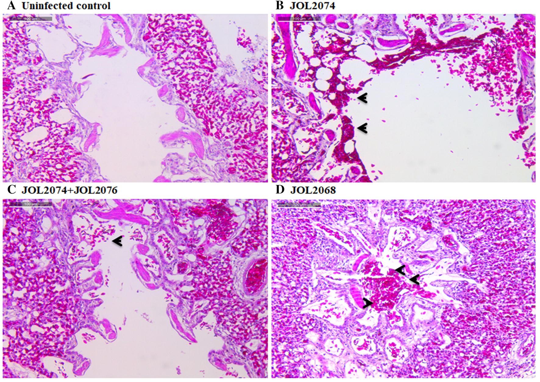
Fowl typhoid (FT), a septicemic disease caused by Salmonella Gallinarum (SG), and H9N2 influenza infection are two economically important diseases that affect poultry industry worldwide. Herein, we exploited a live attenuated SG mutant (JOL967) to deliver highly conserved extracellular domains of H9N2 M2 (M2e) to induce protective immunity against both H9N2 infection and FT. To increase the immunogenicity of M2e, we physically linked it with CD40L and cloned the fusion gene into either prokaryotic constitutive expression vector pJHL65 or mammalian expression vector pcDNA3.1+. Then pJHL65-M2eCD40L or pcDNA-M2eCD40L recombinant plasmid was electroporated into JOL967 strain and the resultant clones were designated as JOL2074 and JOL2076, respectively. We demonstrated that the chickens vaccinated once orally with a co-mix of JOL2074 and JOL2076 strains elicited significantly (p < 0.05) higher M2e-specific humoral and cell-mediated immunity compared to JOL2074 alone vaccinated group. However, SG-specific immune responses were comparable in both the vaccination groups. On challenge with the virulent H9N2 virus (10TCID) at 28 day post-vaccination, chickens that received a co-mix of JOL2074 plus JOL2076 strains exhibited significantly (p < 0.05) lower lung inflammation and viral load in both lungs and cloacal samples than JOL2074 alone vaccinated group. Against challenge with the lethal wild-type SG, both the vaccination groups exhibited only 12.5% mortality compared to 75% mortality observed in the control group. In conclusion, we show that SG delivering M2eCD40L can act as a bivalent vaccine against FT and H9N2 infection and further studies are warranted to develop this SG-M2eCD40L vaccine as a broadly protective vaccine against avian influenza virus subtypes.

摘要

禽伤寒(FT)是由鸡白痢沙门氏菌(SG)引起的败血性疾病,H9N2 流感感染是两种影响全球家禽业的具有经济重要性的疾病。在此,我们利用一种减毒的 SG 突变株(JOL967)来递呈 H9N2 M2 的高度保守的细胞外结构域(M2e),以诱导针对 H9N2 感染和 FT 的保护性免疫。为了提高 M2e 的免疫原性,我们将其与 CD40L 物理连接,并将融合基因克隆到原核组成型表达载体 pJHL65 或哺乳动物表达载体 pcDNA3.1+中。然后,将 pJHL65-M2eCD40L 或 pcDNA-M2eCD40L 重组质粒电穿孔到 JOL967 菌株中,得到的克隆分别命名为 JOL2074 和 JOL2076。我们证明,一次口服接种 JOL2074 和 JOL2076 菌株混合物的鸡,与单独接种 JOL2074 的组相比,M2e 特异性体液和细胞介导免疫显著(p<0.05)提高。然而,两种疫苗接种组的 SG 特异性免疫反应相当。在接种后 28 天用强毒 H9N2 病毒(10TCID)攻毒时,接受 JOL2074 加 JOL2076 菌株混合物接种的鸡在肺部和泄殖腔样本中的肺部炎症和病毒载量均显著(p<0.05)低于单独接种 JOL2074 的组。在对致死性野生型 SG 的攻毒中,与对照组 75%的死亡率相比,两组接种组的死亡率仅为 12.5%。总之,我们表明,递送 M2eCD40L 的 SG 可以作为禽伤寒(FT)和 H9N2 感染的二价疫苗,进一步的研究有必要开发这种 SG-M2eCD40L 疫苗作为针对禽流感病毒亚型的广泛保护疫苗。

https://cdn.ncbi.nlm.nih.gov/pmc/blobs/fb7e/6389227/9cd78b412184/13567_2018_593_Fig1_HTML.jpg

文献AI研究员

20分钟写一篇综述,助力文献阅读效率提升50倍。

立即体验

用中文搜PubMed

大模型驱动的PubMed中文搜索引擎

马上搜索

文档翻译

学术文献翻译模型,支持多种主流文档格式。

立即体验