Suppr超能文献

冠状动脉 CT 血管造影的预后价值和治疗展望:文献综述。

Prognostic Value and Therapeutic Perspectives of Coronary CT Angiography: A Literature Review.

机构信息

Department of Cardiology, Santissima Trinita' Hospital, Borgomanero, Novara, Italy.

Cardiology Institute, Department of Emergency and Organ Transplantation, University Hospital Policlinico Consorziale of Bari, Bari, Italy.

出版信息

Biomed Res Int. 2018 Sep 16;2018:6528238. doi: 10.1155/2018/6528238. eCollection 2018.

Abstract

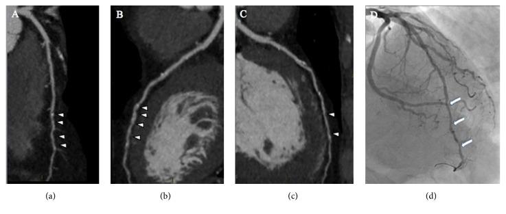
Coronary stenosis severity is both a powerful and a still debated predictor of prognosis in coronary artery disease. Coronary computed tomographic angiography (CCTA) has emerged as a noninvasive technique that enables anatomic visualization of coronary artery disease (CAD). CCTA with newer applications, plaque characterization and physiologic/functional evaluation, allows a comprehensive diagnostic and prognostic assessment of otherwise low-intermediate subjects for primary prevention. CCTA measures the overall plaque burden, differentiates plaque subtypes, and identifies high-risk plaque with good reproducibility. Research in this field may also advance towards an era of personalized risk prediction and individualized medical therapy. It has been demonstrated that statins may delay plaque progression and change some plaque features. The potential effects on plaque modifications induced by other medical therapies have also been investigated. Although it is not currently possible to recommend routinely serial scans to monitor the therapeutic efficacy of medical interventions, the plaque modulation, as a part of risk modification, appears a feasible strategy. In this review we summarize the current evidence regarding vulnerable plaque and effects of lipid lowering therapy on morphological features of CAD. We also discuss the potential ability of CCTA to characterize coronary atherosclerosis, stratify prognosis of asymptomatic subjects, and guide medical therapy.

摘要

冠状动脉狭窄严重程度是冠心病预后的一个强有力且仍存在争议的预测指标。冠状动脉计算机断层血管造影(CCTA)已成为一种能够对冠状动脉疾病(CAD)进行解剖可视化的非侵入性技术。CCTA 的新应用,如斑块特征分析和生理/功能评估,使得对原本低中度风险的原发性预防对象进行全面的诊断和预后评估成为可能。CCTA 可测量整体斑块负担、区分斑块亚型,并能以较好的可重复性识别高危斑块。该领域的研究也可能朝着个体化风险预测和个体化药物治疗的时代迈进。研究表明,他汀类药物可能延缓斑块进展并改变一些斑块特征。其他药物治疗对斑块改变的潜在影响也已被研究。尽管目前还不可能推荐常规进行连续扫描以监测药物干预的治疗效果,但作为风险改变的一部分,斑块调节似乎是一种可行的策略。在这篇综述中,我们总结了目前关于易损斑块和降脂治疗对 CAD 形态特征的影响的证据。我们还讨论了 CCTA 对冠状动脉粥样硬化进行特征分析、对无症状患者进行预后分层以及指导药物治疗的潜在能力。

https://cdn.ncbi.nlm.nih.gov/pmc/blobs/b51a/6165606/34fe42d879a3/BMRI2018-6528238.001.jpg

文献AI研究员

20分钟写一篇综述,助力文献阅读效率提升50倍。

立即体验

用中文搜PubMed

大模型驱动的PubMed中文搜索引擎

马上搜索

文档翻译

学术文献翻译模型,支持多种主流文档格式。

立即体验