Suppr超能文献

芒果苷通过减少氧化应激和激活磷脂酰肌醇-3-激酶/蛋白激酶 B/哺乳动物雷帕霉素靶蛋白(PI3K/Akt/mTOR)信号通路增强异氟醚在新生大鼠缺氧性脑损伤中的神经保护作用。

Mangiferin Potentiates Neuroprotection by Isoflurane in Neonatal Hypoxic Brain Injury by Reducing Oxidative Stress and Activation of Phosphatidylinositol-3-Kinase/Akt/Mammalian Target of Rapamycin (PI3K/Akt/mTOR) Signaling.

机构信息

Department of Pediatrics, Provincial Hospital Affiliated to Shandong University, Jinan, Shandong, China (mainland).

Department of Pediatrics, Shandong Provincial Third Hospital, Jinan, Shandong, China (mainland).

出版信息

Med Sci Monit. 2018 Oct 19;24:7459-7468. doi: 10.12659/MSM.908142.

Abstract

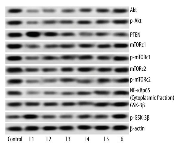
BACKGROUND Hypoxic-ischemic brain injury in the perinatal period is a main cause of perinatal mortality and neurologic complications in neonates and children. Recent studies have focused on the neuroprotective effect of anesthetic drugs. The volatile anesthetic isoflurane has been shown to exert neuroprotective effects in cerebral ischemia. Mangiferin is a natural polyphenol with various pharmacological properties, including antioxidant and ant-tumor effects. This study aimed to determine whether mangiferin potentiates the neuroprotective effects of isoflurane and also if mangiferin when administered alone exerts neuroprotective effects following hypoxic-ischemic brain injury. MATERIAL AND METHODS Sprague-Dawley rats were subjected to cerebral hypoxic ischemia on postnatal day 10 (P10). Mangiferin (50, 100, or 200 mg/kg b.w.) was intragastrically administered from P3 to P12 and 1 h prior to insult on the day of ischemic induction. At 3 h after hypoxia-ischemia (HI) insult, separate groups of rat pups were exposed to isoflurane (1.5%) for 6 h. Following 48 h of HI, the rats were sacrificed and brain tissues were used for analysis. RESULTS Mangiferin treatment attenuated neuronal apoptosis and reduced cerebral infarct volume. The expression of cleaved caspase-3 and apoptotic cascade proteins were regulated. The levels of reactive oxygen species (ROS) and malondialdehyde were reduced by mangiferin and/or isoflurane exposure. The levels of antioxidant glutathione were considerably raised under HI injury, which was modulated by mangiferin and isoflurane exposure. The PI3K/Akt signaling pathway, which was downregulated following HI insult, was activated by mangiferin and/or isoflurane. CONCLUSIONS This study reveals the potent neuroprotective efficacy of mangiferin against HI-induced brain injury via effectively modulating apoptotic pathways, ROS levels, and PI3K/Akt cascades while potentiating protective effects of isoflurane.

摘要

背景

围生期缺氧缺血性脑损伤是围生期新生儿和儿童死亡及神经并发症的主要原因。近期研究集中于麻醉药物的神经保护作用。挥发性麻醉剂异氟烷已被证明在脑缺血中具有神经保护作用。芒果苷是一种具有多种药理作用的天然多酚,包括抗氧化和抗肿瘤作用。本研究旨在确定芒果苷是否增强异氟烷的神经保护作用,以及芒果苷单独给药是否在缺氧缺血性脑损伤后具有神经保护作用。

材料和方法

在出生后第 10 天(P10)对 Sprague-Dawley 大鼠进行脑缺氧缺血。从 P3 至 P12 每天给予芒果苷(50、100 或 200mg/kg b.w.),并在缺血诱导当天损伤前 1 小时给予。缺氧缺血(HI)损伤后 3 小时,单独的大鼠亚组接受异氟烷(1.5%)6 小时。在 HI 后 48 小时,处死大鼠并使用脑组织进行分析。

结果

芒果苷治疗可减轻神经元凋亡并减少脑梗死体积。调节了半胱天冬酶-3 和凋亡级联蛋白的表达。芒果苷和/或异氟烷暴露可降低活性氧(ROS)和丙二醛的水平。HI 损伤下谷胱甘肽的水平显著升高,而芒果苷和异氟烷暴露可调节其水平。PI3K/Akt 信号通路在 HI 损伤后下调,被芒果苷和/或异氟烷激活。

结论

本研究表明,芒果苷通过有效调节凋亡途径、ROS 水平和 PI3K/Akt 级联,增强异氟烷的保护作用,对 HI 诱导的脑损伤具有强大的神经保护作用。

https://cdn.ncbi.nlm.nih.gov/pmc/blobs/590f/6354638/73577d23fdfa/medscimonit-24-7459-g001.jpg

文献AI研究员

20分钟写一篇综述,助力文献阅读效率提升50倍。

立即体验

用中文搜PubMed

大模型驱动的PubMed中文搜索引擎

马上搜索

文档翻译

学术文献翻译模型,支持多种主流文档格式。

立即体验