Suppr超能文献

中国人群中威尔逊病患者临床特征及脑磁共振成像变化的性别差异

Sex Differences in Clinical Characteristics and Brain MRI Change in Patients With Wilson's Disease in a Chinese Population.

作者信息

Li Xiaohu, Feng Zhiqiang, Tang Wei, Yu Xuen, Qian Yinfeng, Liu Bin, Li Xiaoshu, Yang Renmin, Yu Yongqiang

机构信息

Department of Radiology, The First Affiliated Hospital of Anhui Medical University, Hefei, China.

Department of Neurology, The Hospital Affiliated of Anhui College of TCM, Hefei, China.

出版信息

Front Physiol. 2018 Oct 9;9:1429. doi: 10.3389/fphys.2018.01429. eCollection 2018.

Abstract

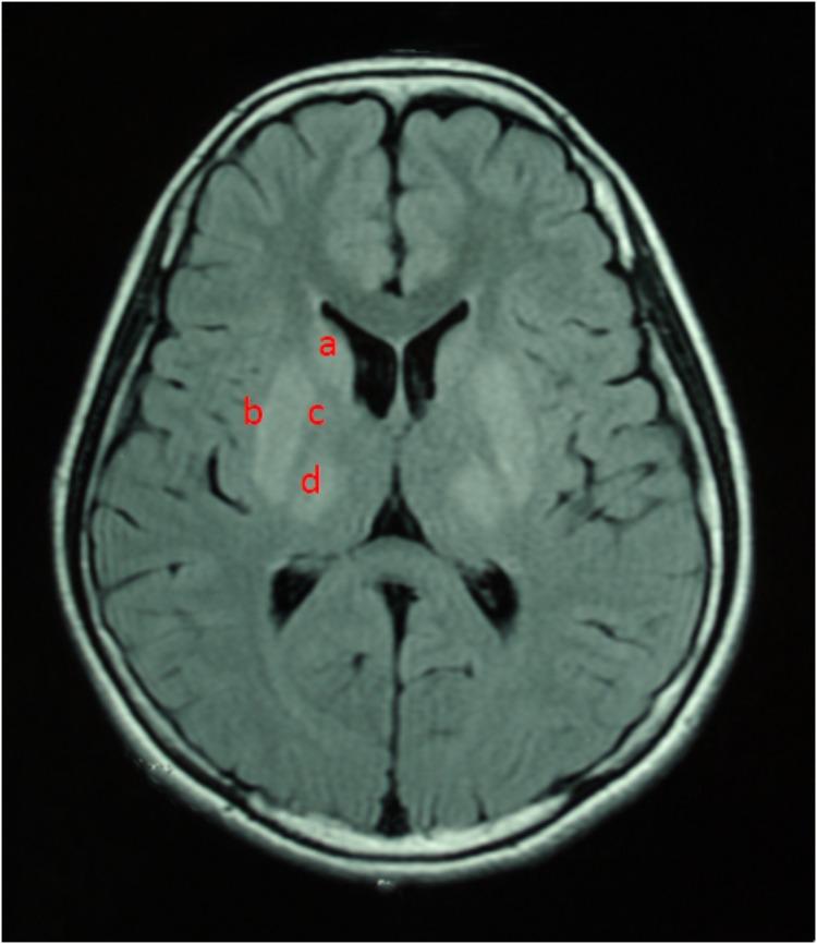
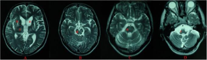
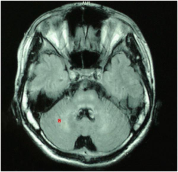
Wilson's disease (WD) is an inborn copper metabolism disease. Sex differences in clinical features of WD patients have been reported; however, the effect of sex on brain MRI is still unclear, especially for Chinese WD patients. Therefore, we aimed to examine sex differences in clinical correlates and brain MRI changes in WD patients in a Chinese Han population. 535 WD patients were enrolled and underwent MRI scanning. These patients were subdivided by the clinical symptoms, Kayser-Fleischer (K-F) rings, laboratory tests and sex. The mean age of onset and diagnosis, disease latency, localization of brain MRI lesions, and the level of copper metabolism were compared between male and female patients. The neuropsychiatric form (452 and 84.5%) was the most common subtype. Compared to female patients, male patients had a higher percentage in three clinical forms: neuropsychiatric form (263 and 58.2%), hepatic form (41 and 59.4%), and presymptomatic form (10 and 71.4%). In the neuropsychiatric form, male patients had the earlier age of onset and definitive diagnosis, and shorter time of disease latency than female patients. Putamen was the most common site for lesions in brain MRI of three groups. In the hepatic form, more male patients showed the ventricular widening than female patients (14/41 vs. 3/28; < 0.05). The level of serum ceruloplasmin and copper of WD patients with neuropsychiatric form was higher than that of male patients with hepatic or presymptomatic form. In women, however, patients of presymptomatic form have the highest level of the ceruloplasmin, and the level of serum copper in hepatic patients was highest. Our findings suggest sex differences in the percentage of three clinical forms. Meanwhile, the mean age of onset and diagnosis of female was higher than male, also happened in the disease latency. Only in the hepatic form, there was a sex difference in the ventricular widening.

摘要

威尔逊病(WD)是一种先天性铜代谢疾病。已有报道称WD患者的临床特征存在性别差异;然而,性别对脑部MRI的影响仍不明确,尤其是对于中国WD患者。因此,我们旨在研究中国汉族WD患者临床相关性和脑部MRI变化的性别差异。招募了535例WD患者并进行了MRI扫描。这些患者根据临床症状、凯泽-弗莱舍尔(K-F)环、实验室检查和性别进行了细分。比较了男性和女性患者的平均发病年龄和诊断年龄、疾病潜伏期、脑部MRI病变的定位以及铜代谢水平。神经精神型(452例,占84.5%)是最常见的亚型。与女性患者相比,男性患者在三种临床类型中的比例更高:神经精神型(263例,占58.2%)、肝型(41例,占59.4%)和症状前型(10例,占71.4%)。在神经精神型中,男性患者的发病年龄和确诊年龄更早,疾病潜伏期比女性患者短。壳核是三组脑部MRI中最常见的病变部位。在肝型中,男性患者出现脑室增宽的比例高于女性患者(14/41比3/28;<0.05)。神经精神型WD患者的血清铜蓝蛋白和铜水平高于肝型或症状前型男性患者。然而,在女性中,症状前型患者的铜蓝蛋白水平最高,肝型患者的血清铜水平最高。我们的研究结果表明三种临床类型的比例存在性别差异。同时,女性的平均发病年龄和诊断年龄高于男性,疾病潜伏期也是如此。仅在肝型中,脑室增宽存在性别差异。

https://cdn.ncbi.nlm.nih.gov/pmc/blobs/15d2/6189412/69d035b7d043/fphys-09-01429-g001.jpg

文献AI研究员

20分钟写一篇综述,助力文献阅读效率提升50倍。

立即体验

用中文搜PubMed

大模型驱动的PubMed中文搜索引擎

马上搜索

文档翻译

学术文献翻译模型,支持多种主流文档格式。

立即体验