Suppr超能文献

下背痛:脊髓上运动控制和本体感觉的潜在贡献。

Low Back Pain: The Potential Contribution of Supraspinal Motor Control and Proprioception.

机构信息

Integrative Spinal Research, Department of Chiropractic Medicine, University Hospital Balgrist, Zurich, Switzerland.

Alan Edwards Center for Research on Pain, McGill University, Montreal, Quebec, Canada.

出版信息

Neuroscientist. 2019 Dec;25(6):583-596. doi: 10.1177/1073858418809074. Epub 2018 Nov 2.

Abstract

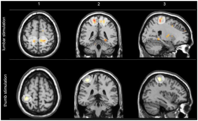
Motor control, which relies on constant communication between motor and sensory systems, is crucial for spine posture, stability and movement. Adaptions of motor control occur in low back pain (LBP) while different motor adaption strategies exist across individuals, probably to reduce LBP and risk of injury. However, in some individuals with LBP, adapted motor control strategies might have long-term consequences, such as increased spinal loading that has been linked with degeneration of intervertebral discs and other tissues, potentially maintaining recurrent or chronic LBP. Factors contributing to motor control adaptations in LBP have been extensively studied on the motor output side, but less attention has been paid to changes in sensory input, specifically proprioception. Furthermore, motor cortex reorganization has been linked with chronic and recurrent LBP, but underlying factors are poorly understood. Here, we review current research on behavioral and neural effects of motor control adaptions in LBP. We conclude that back pain-induced disrupted or reduced proprioceptive signaling likely plays a pivotal role in driving long-term changes in the top-down control of the motor system via motor sensory cortical reorganization. In the outlook of this review, we explore whether motor control adaptations are also important for other (musculoskeletal) pain conditions.

摘要

运动控制依赖于运动和感觉系统之间的持续通讯,对于脊柱姿势、稳定性和运动至关重要。在腰痛(LBP)中会发生运动控制的适应性改变,而不同的个体存在不同的运动适应策略,可能是为了减轻 LBP 和受伤的风险。然而,在一些腰痛的个体中,适应性的运动控制策略可能会产生长期后果,例如增加脊柱负荷,这与椎间盘和其他组织的退化有关,可能会维持反复发作或慢性腰痛。在腰痛的运动输出侧,已经对导致运动控制适应性改变的因素进行了广泛研究,但对感觉输入的变化,特别是本体感觉,关注较少。此外,运动皮层重组与慢性和复发性腰痛有关,但潜在的因素尚不清楚。在这里,我们回顾了有关腰痛患者运动控制适应性的行为和神经效应的现有研究。我们得出结论,腰痛引起的本体感觉信号中断或减少可能通过运动-感觉皮层重组,在驱动运动系统的自上而下控制的长期变化中起着关键作用。在本综述的展望部分,我们探讨了运动控制适应性对于其他(肌肉骨骼)疼痛情况是否也很重要。

https://cdn.ncbi.nlm.nih.gov/pmc/blobs/7b25/6900582/e21f369131fe/10.1177_1073858418809074-fig1.jpg

文献AI研究员

20分钟写一篇综述,助力文献阅读效率提升50倍。

立即体验

用中文搜PubMed

大模型驱动的PubMed中文搜索引擎

马上搜索

文档翻译

学术文献翻译模型,支持多种主流文档格式。

立即体验