Suppr超能文献

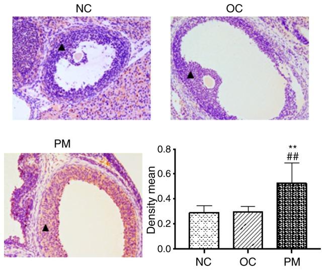
多囊卵巢综合征大鼠卵巢中 FKBP52 的表达。

Expression of FKBP52 in the ovaries of PCOS rats.

机构信息

Nanjing University of Chinese Medicine, Nanjing, Jiangsu 210029, P.R. China.

Affiliated Hospital of Nanjing University of Chinese Medicine, Nanjing, Jiangsu 210029, P.R. China.

出版信息

Int J Mol Med. 2019 Feb;43(2):868-878. doi: 10.3892/ijmm.2018.3998. Epub 2018 Nov 26.

Abstract

The present study aimed to examine the expression of FK‑506 binding protein 52 (FKBP52) in the ovary tissues of rats with polycystic ovarian syndrome (PCOS) and its action on mediating androgen receptor (AR) through the mitogen‑activated protein kinase (MAPK)/extracellular signal‑regulated kinase (ERK) pathway. PCOS model rats were established by dehydroepiandrosterone injection. Enzyme‑linked immunosorbent assay (ELISA) measured serum sex hormones. Hematoxylin and eosin (H&E) staining was used to examine histological changes of the ovarian tissues. The expression levels of FKBP52 were detected by immunohistochemical (IHC) staining, reverse transcription‑quantitative polymerase chain reaction (RT‑qPCR) analysis and western blotting (WB). In addition, RT‑qPCR analysis was used to detect the mRNA expression of AR, and WB was used to detect the protein expression levels of AR, ERK1/2 and phosphorylated (p‑)ERK1/2. In granulosa cell (GC) experiments, primary GCs were extracted and cultured. FKBP4 is the FKBP52‑encoding gene, therefore, adenovirus vectors Ad‑Oe‑FKBP4‑EGFP and Ad‑siRNA‑FKBP4‑EGFP were constructed to examine the association among the above factors using the RT‑qPCR and WB methods. In the animal experiment, the vaginal smear, H&E staining and ELISA results showed that the PCOS model was successfully established. The IHC staining revealed that the expression of FKBP52 in the GCs of the PCOS model group was higher than the remaining groups (P<0.01). The mRNA and expression levels of FKBP52 and AR in the PCOS model rats were significantly increased, when compared with levels in the other rats (P<0.05). The expression level of p‑ERK1/2 was also higher (P<0.05). In the GC experiment, following overexpression of the FKBP4 gene, the mRNA and expression levels of FKBP52 and AR were increased (P<0.05). The expression level of p‑ERK1/2 was also increased (P<0.05). Following FKBP4 gene silencing, the mRNA and expression levels of FKBP52 and AR were decreased (P<0.05). The expression level of ERK1/2 was also decreased (P<0.05). However, the expression level of p‑ERK1/2 was increased (P<0.05). In conclusion, the upregulation of co‑chaperone FKBP52 may mediate the activation of AR through the MAPK/ERK pathway.

摘要

本研究旨在探讨 FK-506 结合蛋白 52(FKBP52)在多囊卵巢综合征(PCOS)大鼠卵巢组织中的表达及其通过丝裂原活化蛋白激酶(MAPK)/细胞外信号调节激酶(ERK)通路介导雄激素受体(AR)的作用。通过脱氢表雄酮(DHEA)注射建立 PCOS 模型大鼠。酶联免疫吸附试验(ELISA)测量血清性激素。苏木精和伊红(H&E)染色用于检查卵巢组织的组织学变化。免疫组化(IHC)染色、逆转录定量聚合酶链反应(RT-qPCR)分析和蛋白质印迹(WB)检测 FKBP52 的表达水平。此外,RT-qPCR 分析用于检测 AR 的 mRNA 表达,WB 用于检测 AR、ERK1/2 和磷酸化(p)ERK1/2 的蛋白表达水平。在颗粒细胞(GC)实验中,提取并培养原代 GC。FKBP4 是 FKBP52 的编码基因,因此构建了腺病毒载体 Ad-Oe-FKBP4-EGFP 和 Ad-siRNA-FKBP4-EGFP,使用 RT-qPCR 和 WB 方法来检测上述因素之间的关联。在动物实验中,阴道涂片、H&E 染色和 ELISA 结果表明 PCOS 模型成功建立。免疫组化染色显示 PCOS 模型组 GC 中 FKBP52 的表达高于其他组(P<0.01)。与其他大鼠相比,PCOS 模型大鼠的 FKBP52 和 AR 的 mRNA 和表达水平显着增加(P<0.05)。p-ERK1/2 的表达水平也升高(P<0.05)。在 GC 实验中,过表达 FKBP4 基因后,FKBP52 和 AR 的 mRNA 和表达水平增加(P<0.05)。p-ERK1/2 的表达水平也增加(P<0.05)。沉默 FKBP4 基因后,FKBP52 和 AR 的 mRNA 和表达水平降低(P<0.05)。ERK1/2 的表达水平也降低(P<0.05)。然而,p-ERK1/2 的表达水平升高(P<0.05)。综上所述,共伴侣 FKBP52 的上调可能通过 MAPK/ERK 通路介导 AR 的激活。

https://cdn.ncbi.nlm.nih.gov/pmc/blobs/34c5/6317667/fd6ef44eae73/IJMM-43-02-0868-g01.jpg

文献AI研究员

20分钟写一篇综述,助力文献阅读效率提升50倍。

立即体验

用中文搜PubMed

大模型驱动的PubMed中文搜索引擎

马上搜索

文档翻译

学术文献翻译模型,支持多种主流文档格式。

立即体验