Suppr超能文献

磷脂酰肌醇 PI(3,4)P 是顶端特征决定因子。

The phospholipid PI(3,4)P is an apical identity determinant.

机构信息

Institute of Cancer Sciences, University of Glasgow, Glasgow, G61 1BD, UK.

The CRUK Beatson Institute, Glasgow, G61 1BD, UK.

出版信息

Nat Commun. 2018 Nov 28;9(1):5041. doi: 10.1038/s41467-018-07464-8.

Abstract

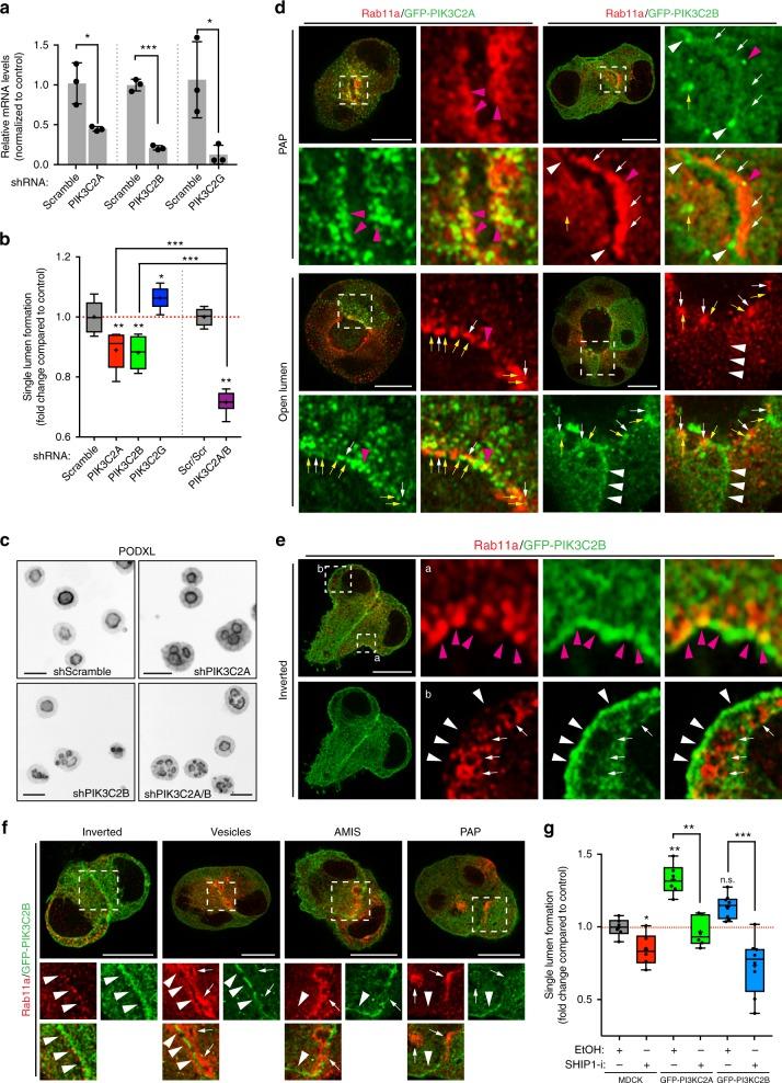
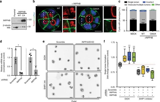
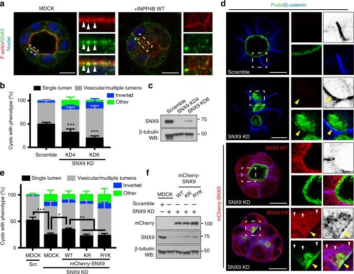
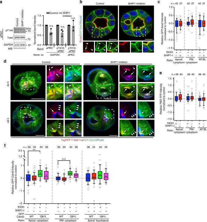
Apical-basal polarization is essential for epithelial tissue formation, segregating cortical domains to perform distinct physiological functions. Cortical lipid asymmetry has emerged as a determinant of cell polarization. We report a network of phosphatidylinositol phosphate (PIP)-modifying enzymes, some of which are transcriptionally induced upon embedding epithelial cells in extracellular matrix, and that are essential for apical-basal polarization. Unexpectedly, we find that PI(3,4)P localization and function is distinct from the basolateral determinant PI(3,4,5)P. PI(3,4)P localizes to the apical surface, and Rab11a-positive apical recycling endosomes. PI(3,4)P is produced by the 5-phosphatase SHIP1 and Class-II PI3-Kinases to recruit the endocytic regulatory protein SNX9 to basolateral domains that are being remodeled into apical surfaces. Perturbing PI(3,4)P levels results in defective polarization through subcortical retention of apically destined vesicles at apical membrane initiation sites. We conclude that PI(3,4)P is a determinant of apical membrane identity.

摘要

顶端-基底极性对于上皮组织的形成至关重要,它将皮质区域分隔开来,以执行不同的生理功能。皮质脂质的不对称性已成为细胞极化的决定因素。我们报告了一个磷酸肌醇磷酸(PIP)修饰酶的网络,其中一些酶在将上皮细胞嵌入细胞外基质时被转录诱导,并且对于顶端-基底极性是必需的。出乎意料的是,我们发现 PI(3,4)P 的定位和功能与基底外侧决定因子 PI(3,4,5)P 不同。PI(3,4)P 定位于质膜的顶端表面和 Rab11a 阳性的顶端再循环内体。PI(3,4)P 由 5-磷酸酶 SHIP1 和 II 类 PI3-Kinases 产生,以招募内吞调节蛋白 SNX9 到正在重塑为顶端表面的基底外侧区域。扰乱 PI(3,4)P 水平会导致在质膜起始位点处顶端定向囊泡在质膜下皮质的保留,从而导致极化缺陷。我们得出结论,PI(3,4)P 是顶端质膜特征的决定因素。

https://cdn.ncbi.nlm.nih.gov/pmc/blobs/6ee0/6262019/ad66f0e2a265/41467_2018_7464_Fig1_HTML.jpg

文献AI研究员

20分钟写一篇综述,助力文献阅读效率提升50倍。

立即体验

用中文搜PubMed

大模型驱动的PubMed中文搜索引擎

马上搜索

文档翻译

学术文献翻译模型,支持多种主流文档格式。

立即体验