Suppr超能文献

前列通窍胶囊对睾酮诱导的良性前列腺增生大鼠膀胱重量及膀胱组织中生长因子的影响

Effects of Qianlie Tongqiao Capsule on Bladder Weight and Growth Factors in Bladder Tissue of Rats with Testosterone-Induced Benign Prostatic Hyperplasia.

作者信息

Zhao Fan, Zhang Chun-He, Yan Jun-Feng, Li Yan-Feng, Yang Yi-Jian, Sun Di

机构信息

The Second Clinical Medical College, Zhejiang Chinese Medical University, Hangzhou 310053, China.

Yunnan Provincial Hospital of Traditional Chinese Medicine, Kunming 650021, China.

出版信息

Evid Based Complement Alternat Med. 2018 Nov 5;2018:5059267. doi: 10.1155/2018/5059267. eCollection 2018.

Abstract

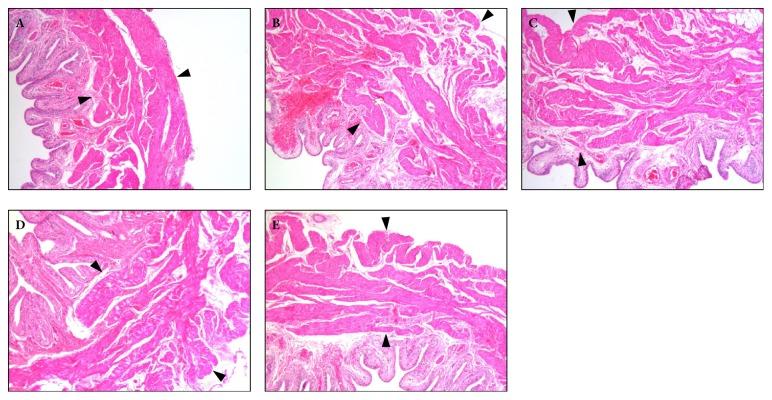
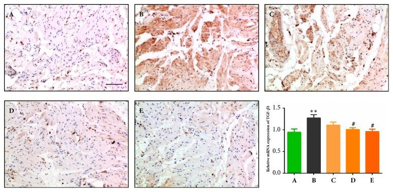
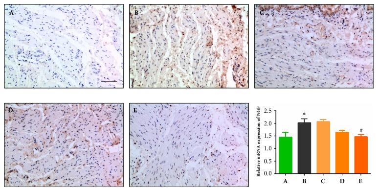
Qianlie Tongqiao Capsule (QTC) is clinically confirmed to be efficacious and safe in treating lower urinary tract syndromes and bladder dysfunction that are induced by benign prostatic hyperplasia (BPH). However, the functional mechanisms of QTC remain unclear. We aim to investigate the effects of QTC on both bladder weight and several growth factors in the bladder tissue of rats with testosterone-induced BPH. BPH in the rats was established through bilateral orchiectomy and subcutaneous administration of testosterone propionate (5 mg/kg) dissolved in corn oil. At the end of the study, all bladder tissues were collected and weighed, and a histological examination was conducted using H&E staining. Immunohistochemistry and quantitative reverse transcription-polymerase chain reaction (qRT-PCR) were applied to detect the expression of nerve growth factor (NGF), basic fibroblast growth factor (bFGF), and transformation growth factor-1 (TGF-1) in the bladder tissue. The expression of Bcl-2 and Bax in the bladder tissue was tested by Western Blot and qRT-PCR. We found that QTC, especially when administered in high-dosages, had a significant inhibitory effect on bladder weight gain and overexpression of NGF, bFGF, and TGF-1 in rats with BPH. In addition, QTC downregulated and upregulated protein and mRNA expression of Bcl-2 and Bax in the bladder after prostatic obstruction, respectively. Furthermore, QTC balanced the Bcl-2/Bax ratio. Overall, these results reveal possible functional mechanisms of QTC in treating BPH-caused bladder dysfunction, and further studies are needed.

摘要

前列通窍胶囊(QTC)在临床上已被证实对治疗由良性前列腺增生(BPH)引起的下尿路综合征和膀胱功能障碍有效且安全。然而,QTC的作用机制仍不清楚。我们旨在研究QTC对睾酮诱导的BPH大鼠膀胱组织重量和几种生长因子的影响。通过双侧睾丸切除术和皮下注射溶解于玉米油中的丙酸睾酮(5mg/kg)建立大鼠BPH模型。在研究结束时,收集所有膀胱组织并称重,使用苏木精-伊红(H&E)染色进行组织学检查。应用免疫组织化学和定量逆转录-聚合酶链反应(qRT-PCR)检测膀胱组织中神经生长因子(NGF)、碱性成纤维细胞生长因子(bFGF)和转化生长因子-1(TGF-1)的表达。通过蛋白质免疫印迹法(Western Blot)和qRT-PCR检测膀胱组织中Bcl-2和Bax的表达。我们发现,QTC,尤其是高剂量给药时,对BPH大鼠的膀胱重量增加以及NGF、bFGF和TGF-1的过表达具有显著抑制作用。此外,QTC分别下调和上调了前列腺梗阻后膀胱中Bcl-2和Bax的蛋白质和mRNA表达。此外,QTC平衡了Bcl-2/Bax比率。总体而言,这些结果揭示了QTC治疗BPH所致膀胱功能障碍的可能作用机制,还需要进一步研究。

https://cdn.ncbi.nlm.nih.gov/pmc/blobs/2c28/6241338/1f1873f43045/ECAM2018-5059267.001.jpg

文献AI研究员

20分钟写一篇综述,助力文献阅读效率提升50倍。

立即体验

用中文搜PubMed

大模型驱动的PubMed中文搜索引擎

马上搜索

文档翻译

学术文献翻译模型,支持多种主流文档格式。

立即体验